今天分享工作中遇到的几例肺部少见肺部恶性肿瘤性病变。其实肺内病变单恶性肿瘤可以说是五花八门的,我们磨玻璃结节形态的早期癌症只是很特殊的一种懒癌,磨玻璃结节早癌只是肺部恶性肿瘤的冰山一角。本次科普重在让大家提高见识看看,日常生活中遇到的那些相对少见的肺部恶性肿瘤,请勿对号入座,提醒磨玻璃结节患者无需紧张。提醒大家早体检、早发现、早诊断才是硬道理。
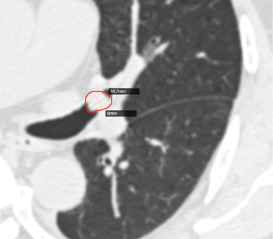
2022年6月20日上班遇到的病例(1):小鳞癌
薛先生 59岁,刺激性咳嗽一周。

左肺上叶主支气管结节,局部管腔狭窄、阻塞

病灶大小约10mm×8mm

多平面重建各方位显示病灶对支气管受压受阻情况
分析:肺鳞癌是来源于支气管上皮的一种恶性上皮性肿瘤,可表现角化和/或细胞间桥特征,约占原发性肺癌的40%-50%。肺鳞癌的大部分是中央型肺癌,病灶大分部起源于较大的支气管,这个影像学在早期,如果不仔细很难发现,或者说 早期极其难发现 。我们通常见到的肺鳞癌都是病灶或者肿块比较大的时候才能发现。大部分人是在出现不间断的刺激性咳嗽时做胸部CT发现。
友情提醒:
1. 出现刺激性咳嗽 的时候也是相对典型的一个特点,如果有上述症状需要做个胸部CT排除一下。
2.很多人在胸部CT扫描时候会出现肺不张,造成肺不张的原因很多,感染和肿瘤都可以,往往很多人是在主支气管开口出现这一个小肿瘤造成的阻塞性肺不张。
3.支气管镜检对中央型肺癌相对好检出。
4.肺鳞癌最常见,只是发现早期的的不多。
2022年6月20日上班遇到的病例(2):肺印戒细胞癌( 罕见)
女性 57岁 间断性咳嗽半年,消炎治疗后效果不佳,近期加重。

实性肿块,病灶位于右肺中叶内侧段

远端可见混杂磨玻璃样改变
分析:印戒细胞癌(SRCC)源于黏膜固有层未分化干细胞,是黏液分泌腺癌亚型,常发生于胃肠道, 肺部发病罕见。

穿刺活检+免疫组化结果
肺原发性 SRCC为肺腺癌亚型之一,但较其他类型肺腺癌预后更差,患者5年生存率不足30%,本病 CT表现以周围型多见,病灶呈边界清晰的圆形或类圆形肿物,直径多较大,且可见分叶及 短毛刺征象,可分布于各个肺叶,部分合并肺叶不张或胸腔积液。与肺黏液 腺 癌 相 比,CT平扫SRCC病灶密度偏 低,增强后可见未强化区,多呈中度强化,提示肿瘤恶性程度较高。肺原发性SRCC 最终诊断依靠病理及免疫组织化学检查,免疫组织化学染色常表现为 TTF-1、CK7及 NapsinA 阳性,CK20及 CDX-2阴性。
本例是我们某大医院肿瘤科医生的家属,在找我之前其实已经做了穿刺活检,病理结果已经出来,找巫医生主要做肿瘤的分期,检查结果仅右上肺门支气管引流区一枚淋巴结转移。
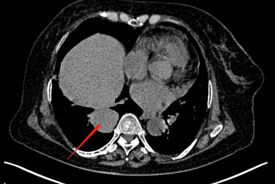
2022年6月20日上班遇到的病例(3):肺单发大转移瘤
女性 78岁 胸闷1年余,近期加重。

实性软组织结节,边界光整

病灶最大径超过4cm

纵隔窗提示为软组织密度
分析:实性软组织病变,之前分析得比较少,多发边界光整的实性小结节,以外周带分布的,类圆形小结节要谨防转移瘤。这例很为少见,单纯的CT诊断还是有一定的难度,良性很多疾病也可以是类似表现,由于病灶较大,我们进行了全身范围的检查排除其他部位来源的病变。

前上纵隔内不规则软组织肿块,相邻新包及升主动脉间隙分界不清,胸腺起源的恶性肿瘤可能性大。为了进一步证实,我们做了PET/CT。


胸腺区病灶和肺内结节FDG代谢均呈轻度摄取增高,属于“同源”性肿瘤,结合病灶形态及代谢程度,考虑为胸腺起源的恶性肿瘤伴肺内单发转移。
这些病例对大家来说都非常罕见,分享给爱学习,喜欢深度探讨肺部疾病的朋友及粉丝朋友,有问题请留言。
我是巫医生!关注我,每天大量亲诊病例和您分享。如果能帮助到您,有肿瘤相关问题,可以在评论区留言。