今天我们继续系统学习急诊腹部CT,教材来源University of Virginia Health Sciences Center Department of Radiology。教程适宜住院医师学习,对于高资历的医生可以进行基础知识复习。
学习目的:
一、认识腹部轴位CT断层解剖
二、认识脾、肝、胰腺、肾脏、肠道、膀胱等脏器挫裂伤的CT影像表现。
三、认识腹部常见腹部炎性病变的表现。(胆囊炎、胰腺炎、阑尾炎、结肠炎)
四、认识肾结石的影像表现。
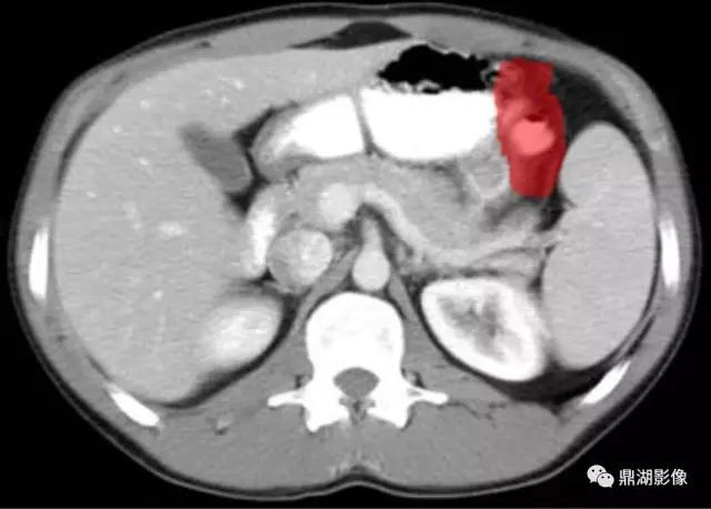
脾区(Splenic Flexure)

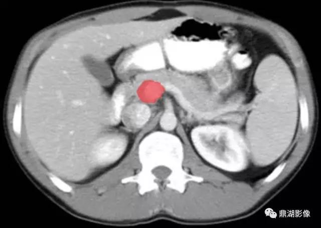
脾静脉(Splenic Vein)

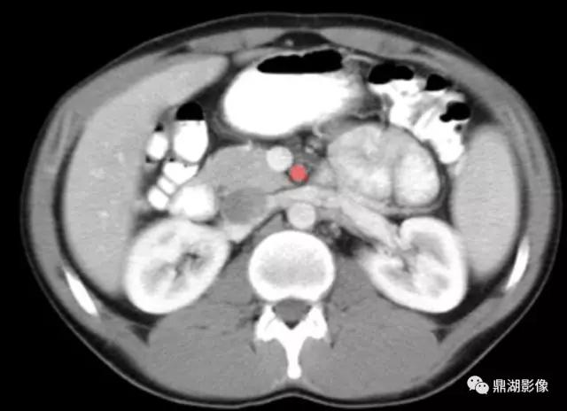
肠系膜上静脉(Superior Mesenteric Vein)

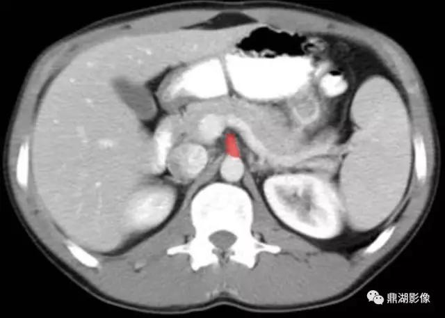
膈肌脚(Curs of Diaphragm)


下腔(Inferior Vena Cava)

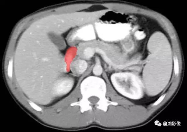
十二指肠(Second Portion of the Duodenum)

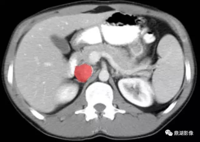
肠系膜上动脉(Superior Mesenteric Artery)
肝曲(Hepatic Flexure)

肠系膜上动脉(Superior Mesenteric Artery)

肠系膜上静脉(Superior Mesenteric Vein)
作者:A. Tanner Shilling, M.D., Spencer B. Gay, M.D., Ronald J. Wurth, M.D.
【版权声明】本平台属公益学习平台,转载系出于传递更多学习信息之目的,且已标明作者和出处,如不希望被传播的老师可与我们联系删除