如何辨识肠梗阻,我们一起来学习!
异常肠气分布
异常的肠气分布可以分为两大类,功能性肠梗阻和机械性肠梗阻。
功能性肠梗阻 是一种主要类型,通常是由于一些局部炎症或刺激,使一段或以上肠襻失去传递蠕动波的能力,因此导致受累肠襻近端的肠道发生功能性“肠梗阻”。
有两个类型的功能性肠梗阻。
局限性肠梗阻(也称哨兵襻), 仅影响一两个肠襻(通常是小肠)。
弥漫性动力性肠梗阻 影响大肠及小肠的所有肠襻,通常胃部也受累。
机械性肠梗阻 是异常肠气分布的另一种主要类型,通常存在一种物理的、器质性的、梗阻性的病变阻碍肠内容物通过梗阻节段的小肠或大肠。
有两个类型机械性肠梗阻: 小肠梗阻(SBO);大肠梗阻(LBO)。
肠道的法则
肠 道对机械性肠梗阻以或多或少可预测的方式做出反应。
梗阻近端的肠襻很快扩张,肠腔内充满空气和(或)液体。 完全性小肠梗阻可在数小时内发生这种情况。
肠道将继续蠕动试 图推动肠道内容物通过梗阻肠段(功能性肠梗阻除外)。随着肠内容物的排出,梗阻远端肠襻将最终塌陷或无气体填充。
在机械性肠梗阻中,扩张最严重的肠襻往往是在肠梗阻发生前静息直径最大的肠襻 (如盲肠),或 紧邻梗阻点近端的肠襻。
大多数机械性肠梗阻的患者将出现某种形式的腹痛、腹胀、便秘。 近端小肠梗阻的患者,在病程早期出现呕吐等症状,而在远端小肠梗阻的患者,在病程晚期出现呕吐等症状。
长期梗阻可导致肠腔内压力持续增高,压迫受累肠道血管,导致肠壁坏死和穿孔。
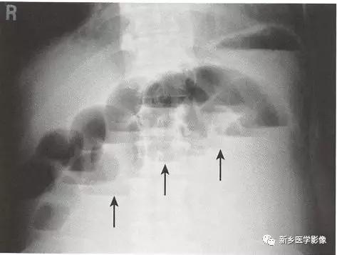
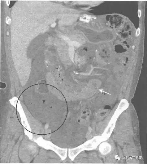
局限性功能性肠梗阻:哨兵襻
1、病理生理学: 毗邻脏器的炎症常会导致一个或几个肠襻的局灶性刺激,如胰腺炎可能影响左上腹的肠襻,憩室炎可能影响左下腹的肠襻。受累的肠襻几乎都是小肠,由于它们往往可提示潜在病因,从而被称为 哨兵襻 。
由于局灶性刺激使这些肠管失去正常功能及蠕动能力,从而导致肠腔扩张。由于功能性肠梗阻达不到机械性肠梗阻的梗阻程度,一些气体仍然可以继续通过失去功能的梗阻肠管。直肠或乙状结肠通常可见气体影。
2、局限性肠梗阻的原因: 扩张的肠襻常位于发生炎症或炎症刺激相邻腹部脏器的同一解剖区域,但并不全是如此。
局限性肠梗阻及其最常见原因

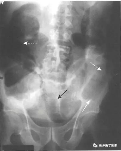
3、局限性肠梗阻关键影像学特征
-
在传统X线片,可见一个或两个持续扩张的小肠肠襻。 持续是指多种体位(仰卧、俯卧、直立)或 多个时间点的腹部多次系列检查均提示同一肠襻扩张。
-
扩张是指小肠肠管直径持续大于2.5cm,功能性肠梗阻小肠扩张程度常常比机械性肠梗阻轻。 大肠作为哨兵襻则较为少见,但一些特殊情况下也可以发生,如阑尾炎时盲肠扩张。
-
在哨兵襻内通常可见气-液平面。
-
在局限性肠梗阻中,直肠及乙状结肠往往可见气体影。

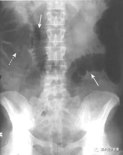
4、诊断误区:鉴别局限性肠梗阻与早期小肠梗阻
-
局限性肠梗阻可能类似于早期的机械性小肠梗阻,即两者均可见几个扩张的小肠肠襻,同时结肠内 可见气体影。
-
所谓早期是指患者出现肠梗阻症状仅1~2天。 若患者出现梗阻症状1周及以上,则影像学看不到早期梗阻征象。
解决方案: 结合临床和实验室检查以及腹部CT检查,探索梗阻原因,以鉴别局限性肠梗阻与早期小肠梗阻。
弥漫性功能性肠梗阻:麻痹性肠梗阻
1、病理生理学: 在弥漫性麻痹性肠梗阻中,整个肠道处于不蠕动或蠕动减低的状态,吞下的空气和产生的液体充满所有小肠及大肠。弥漫性麻痹性肠梗阻几乎都是在腹部或盆腔手术中对肠道操作造成的结果。
2、弥漫性麻痹性肠梗阻的原因: 手术后和电解质紊乱。
3、弥漫性麻痹性肠梗阻关键影像学特征
-
整个肠道包括小肠及大肠均可见肠腔充气、扩张。 胃也可见扩张。
-
由于肠道缺乏蠕动以及持续分泌肠液,因此,肠腔内可见较多长气-液平面。
-
由于这不是机械性梗阻,直肠或乙状结肠内应该可见气体影。
-
肠鸣音常消失或减弱。

4、诊断误区:认识弥漫性麻痹性肠梗阻
-
患者通常不会因为弥漫性麻痹性肠梗阻来急诊就诊,除非他们是腹部或妇科手术后1~2天,或具有严重电解质紊乱(例如低钾血症)。
-
很多患者的腹部X线会因为假性肠梗阻或吞气症被误诊为弥漫性麻痹性肠梗阻。
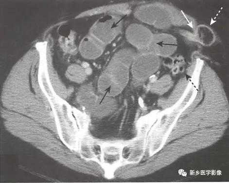
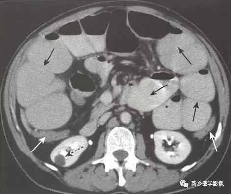
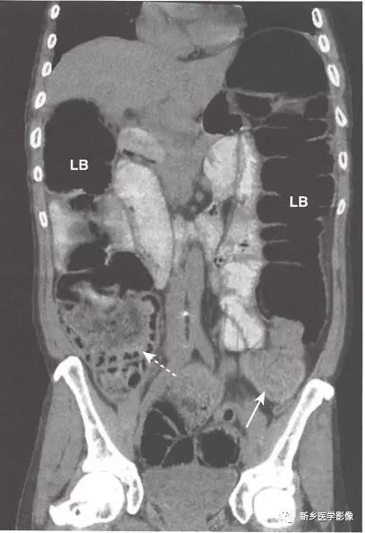
机械性肠梗阻:小肠梗阻(SBO)
1、病理生理学: 存在一种小肠内部或外部的病变阻塞肠腔。随着时间推移,由于连续吞下的气体和持续由胃、胰腺、胆道系统和小肠产生的肠液充满肠腔,小肠肠腔将从梗阻点向近端肠道逆行性逐渐扩张。
为了克服梗阻,肠道将持续蠕动或增加。这可导致高亢、活跃的肠鸣音。随着时间推移,蠕动波将推动梗阻远端的小肠和结肠内容物向前移动。如果是完全性肠梗阻,在出现症状足够长时间后,直肠或乙状结肠内通常见不到气体影。
机械性小肠梗阻

机械性小肠梗阻原因

2、机械性小肠梗阻关键的影像学特征
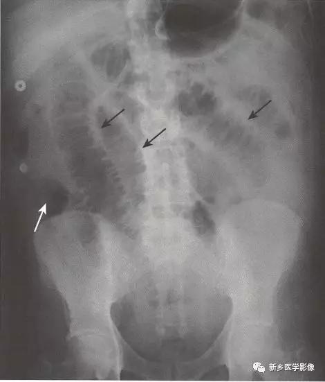
传统X线平片上,梗阻点近端可见多个扩张的小肠肠襻(>2.5cm)。
当肠 腔开始扩张,小肠肠襻逐一 堆积,形成阶梯状外观,一般由左上腹开始,随着疾病进展逐步向右下腹(黑色实线箭头)发展,具体范围及程度取决于小肠梗阻点有多远。

一般来说,若是近端小肠梗阻(例如近端空肠),则扩张的小肠肠襻数量较少;若是远端小肠梗阻(例如回盲瓣处),则扩张的小肠肠襻数量较多。
-
在直立位或侧卧位片上,在梗阻近端小肠通常可见多个气-液平面。
-
如果时间足够长,梗阻远端的肠道内容物可完全排出,则在结肠尤其是直肠内只有很少或完全见不到气体影。
在机械性小肠梗阻中,相对于塌陷的大肠,小肠往往表现为不成比例的显著扩张。

3、诊断误区:鉴别部分性小肠梗阻与( 局限性)功能性肠梗阻
间歇性(也称为部分性或不完全性)机械性小肠梗阻中一些气体可间断通过梗阻点,因此即使在预计大肠已排出所有气体较长时间后,大肠内仍可见气体影,从而可能误导诊断。不完全或部分性小肠梗阻往往发生于术后粘连的患者。

-
口服或不口服对比剂的CT检查可用来鉴别部分性小肠梗阻与其他原因导致的哨兵襻。

CT是确定机械性小肠梗阻部位及原因的 最敏感的检查 。
有否口服对比剂CT均可用来针对肠梗阻进行检查,对于未口服对比剂CT,可利用肠道内已有液体作为对 比。 口服对比剂(含钡或碘)有助于确诊肠襻扩张,并在近端扩张肠管和远端塌陷肠管间发现移行点,但是也可能会掩盖静脉注射对比剂后的重要发现。
静脉对比剂增强CT可用来发现缺血 、绞窄等肠梗阻并发症。
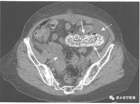
4、小肠梗阻的CT表现如下
-
梗阻近端可见小肠肠襻扩张且腔内充满液体(直径>2.5cm )。
-
识别移行点,即肠道管径由扩张到正常的地方,提示梗阻部位。 如果在移行点未看到明确肿块或其他梗阻原因,则几乎可以肯定为粘连所致。

-
梗阻远端的小肠或结肠肠腔塌陷。

-
小肠粪便征。 小肠梗阻移行点近端的肠道内聚集肠道碎片和液体,形成类似粪便的外观,是小肠梗阻的征象。

-
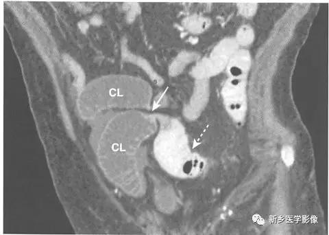
闭襻性肠梗阻指同一肠襻的两个点在同一位置发生梗阻,闭襻通常形成U形或C形的扩张肠襻。 大多数的闭襻性肠梗阻由粘连所致。 小肠的闭襻性肠梗阻发生肠绞窄的风险更高。 大肠的闭襻性肠梗阻被称为肠扭转。

-
绞窄。 肠缺血可通过增强CT中肠壁环形增厚且肠壁强化减低来诊断,通常合并肠系膜水肿及腹腔积液。

机械性肠梗阻:大肠梗阻(LBO)
1、病理生理学: 存在一种结肠内部或外部的病变阻塞肠腔。随着时间推移,结肠将从梗阻点逆行扩张,即使梗阻最远端位于乙,状结肠,盲肠也通常在扩张的结肠中直径最大。
大肠正常具有吸收水的功能,所以在梗阻的结肠中很少见到或没有气-液平面。随着时间推移,持续的蠕动波将推动梗阻远端的结肠内容物向前移动至排出。在机械性大肠梗阻中,在直肠中通常很少见到或没有气体影。
机械性大肠梗阻的原因

2、机械性大肠梗阻的关键的影像学特征
-
梗阻近端结肠扩张。
由于大肠肠襻数目有限,且不互相重叠(如小肠肠襻),所以有时可以通过观察最后含气的结肠肠段来确定梗阻部位。

不论肠梗阻部位在何处,盲肠往往是结肠的扩张最严重的肠段,当盲肠直径达到15cm以上时,须警惕盲肠破裂的风险。
-
小肠不扩张(除非回盲瓣功能不全)。
-
因为直肠常常位于梗阻部位以远,所以直肠内包含很少气体或没有气体。
-
由于大肠具有重新吸收水的功能,大肠内通常没有或很少气-液平面。
3、诊断误区:大肠梗阻如何“模仿”小肠梗阻
只要回盲瓣可以阻止气体逆行进入小肠( 即回盲瓣功能完整),结肠将在回盲瓣和结肠梗阻部位间继续扩张,而小肠不扩张。
-
但如果结肠内压力过高导致回盲瓣开放(即回盲瓣功能不全),气体将从扩张的大肠逆行进入小肠,就像空气从气球逸出一样。
-
此时,相对于塌陷的大肠,小肠显示出不成比例的扩张,即可类似机械性小肠梗阻。

解决方案: 进行腹部CT扫描,它可以显示梗阻的部位在结肠,而不是小肠。
怀疑大肠梗阻的患者禁止口服钡餐,因为钡餐中的水分会在梗阻的大肠中被重新吸收,增加结肠中钡剂的黏度,可能导致嵌顿。
4、在CT上辨识大肠梗阻
-
CT可用来确定梗阻原因、评估是否存在腹腔游离气体以及明确相关并发症,如肝脏或淋巴结转移等。
-
在梗阻部位近端大肠肠腔扩张,在梗阻部位远端肠腔直径恢复正常。
-
梗阻处通常是结肠癌造成,在CT上表现为软组织肿块,累及大肠的疝也很容易在CT上显示。

结肠扭转
结肠扭转是一种特殊类型的大肠梗阻,其特征性的影像特点总结。


急性假性肠梗阻(奥格尔维综合征)
奥格尔维综合征(急性假性肠梗阻)通常发生在已经住院或长期卧床休息的老年患者中。
抗胆碱能的药物,如抗抑郁药、吩噻嗪类药物、抗帕金森病药物及*品毒**等,可能导致或加剧该情况。
该综合征特征为 肠道蠕动消失 ,因此有时可表现为类似大肠梗阻的全结肠明显扩张。

与机械性肠梗阻不同,在CT或钡灌肠检查中并未见到梗阻性病灶。 与弥漫性肠梗阻不同,患者常有更明显腹胀,将近-半奥格尔维综合征患者具有正常或活跃的肠鸣音。
仰卧位腹部X线显示明显肠管扩张,且几乎总是局限于结肠。
治疗方法是 利用药物刺激结肠收缩 ,如新斯的明等。
来源丨新乡医学影像
【版权声明】本平台属公益学习平台,转载系出于传递更多学习信息之目的,且已标明作者和出处,如不希望被传播的老师可与我们联系删除