葉子口腔科普
提到X光片,大多数人都会和辐射画上等号。在牙科中,如果医生要求孩子拍X光片,家长也会有不少疑惑:
“拍X光片安全吗?”
“X光片会对孩子的发育有影响吗?”
……
为此,我们参考美国儿童牙科协会给出的建议,来谈谈孩子到底能不能拍牙科X光片。

为什么医生要求孩子拍牙片?
因为X光片是一种有价值的诊断工具,可以帮助医生检查“肉眼”所看不到的情况,比如:
● 观察孩子牙齿的萌出情况
● 观察牙床内的牙齿数量、大小和位置
● 发现是否有牙齿缺失或者长出多余的牙齿
● 观察口腔和牙齿是否有损伤
● 确定牙齿或口腔是否受感染
● 为正畸和其他治疗做准备
● 识别骨骼疾病
● 诊断相互接触牙齿间的龋齿
比如,这颗牙齿表面看着好好的,但拍X光片一看,却发现牙齿蛀了。可见,拍X光片是何其重要。


美国儿童牙科协会对于孩子拍牙片的建议
医生要求孩子拍X光片,是根据儿童的发育和口腔健康来决定的。
如果孩子的口腔里有很多蛀牙,补过多次牙或属于患蛀牙的高风险人群,美国儿童牙科协会建议每六个月照一次X光。这样能够帮助检查牙齿间形成的龋洞。
同时,孩子是否需要拍X光片,也取决于儿童刷牙、用牙线的方法以及儿童的饮食情况。
有些儿童可能不需要频繁拍X光片。但是如果有需要,却没有及时拍X光片的,口腔问题可能会因此变得更严重。

各种不同的X光片,有什么区别?
根据治疗目的,牙医会选择拍摄以下五种X光片:
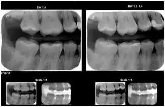
1 咬翼片(也叫龋齿检测X光片)
这种X光片用来观察无法直接看到的牙齿间的部位。

2 根尖片
这种X光片用来观察相邻一颗、两颗或三颗牙齿的整个牙冠和牙根。X光片中也会显示支撑牙齿的骨骼结构。牙医可以通过根尖片,观察乳牙下方的继承恒牙,同时也可以用根尖片找出脓肿,发现牙周疾病。

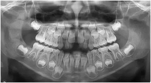
3 全景X光片
这种X光片用来观察一张胶片上的所有牙列。
X光片中显示上下颌(上下牙床)、颞下颌关节(耳朵前方的关节位)和上牙鼻窦。

如果孩子面部受伤、有正畸需求或者牙列有缺陷,通常需要拍全景X光片。全景X光片不同于其他类型的X光片,它不需要在孩子的嘴巴内放入胶片。
这种X光片对容易作呕或嘴巴比较小的孩子会有帮助。全景X光片的照射时间需要12-18秒左右,在这期间,孩子必须保持坐下或站立不动。
4 咬合片
这种X光片是用来观察胶片上多数上下牙的。

如果诊所没有环口X光片照射机或是儿童在照射咬翼片、根尖片比较困难时,可以选择拍摄咬合片。
5 正畸X光片
(又叫侧位X光片或头影测量片)
这种X光片显示头颅侧面,用来评估颌骨生长和头骨间关系。帮助正畸医生做出精确的诊断,制定出一份治疗方案。


牙科X光片到底有没有辐射?
辐射,是肯定有的。但是,根据研究者们的研究并制出的辐射剂量图:
- 牙齿的X光有5μSv(微西弗)

2.正常人平均一天受到的背景辐射量为10 μSv

3.和他人睡 0.05 μSv

4.吃一根香蕉 0.1 μSv

5.已知能对致癌率产生影响的最低剂量为10万 μSv

从以上信息我们可以得出结论:
- 拍摄牙科X光所受到的辐射量,无论是相对于日常生活还是相对于其他医学影像学检查来
说,都是比较小的。
不过,牙科X光也有许多不同的种类,口腔全景和CBCT的辐射量相对根尖片、咬翼片的
辐射量肯定要相对大点,但是总体来说,都是对人体安全的辐射剂量。
2.能对致癌率产生影响的最低剂量为10万 μSv(微西弗)。
简单地做一条算术题,10万微西弗相当于要照2万次小牙片才能达到这个量!而且,对于
患癌率的影响是需要长期的积累才会出现明显效果。
如果短时间内,一次性接受大量的放射剂量那才要命呢。(比如100万微西弗就可以致
命)
但是也有这样的文献,比如,史密斯-宾德曼医生及同事在《美国医学协会杂志》上曾发
表的文章说:10-20%的接受了常用放射剂量的脑CT扫描的儿童,日后患脑癌或白血病的
几率会增加2倍。
所以,过度医疗产生的过量辐射量可能会对人体有危害,但也不能过度放大危害而讳疾忌
医。

孩子拍牙科X光片,安全吗?
虽然拍牙科X光片会有辐射,但是,孩子能接触到的辐射量是非常小的。只要采取标准的安全防御措施,现今的照X光设备完全能够预防不必要的辐射,让X射线束聚焦在口腔内特定部位。
同时,在孩子拍X光片时,让孩子穿上铅制围裙或防护服,确保防护服覆盖住孩子的颈,达到保护甲状腺的目的。当然,防护服也应该覆盖大腿,保护生殖器官。

图片 | 网络
来源
| http://www.simplestepsdental.com/SS/ihtSSPrint/r.WSIHW000/st.31840/t.31888/pr.3/c.307829.htm
译者 | 烫成一锅粥marsha
编审&排版 | 牙医麻麻Debbie
分享 让更多的家长了解拍片
投稿、合作、加入:yzkqkp@qq.com