#抗击肺癌#今天上班,来了一个病人,是因为胸闷伴脸部肿胀一个月,诊断为晚期肺癌,相关的胸部CT是这样的

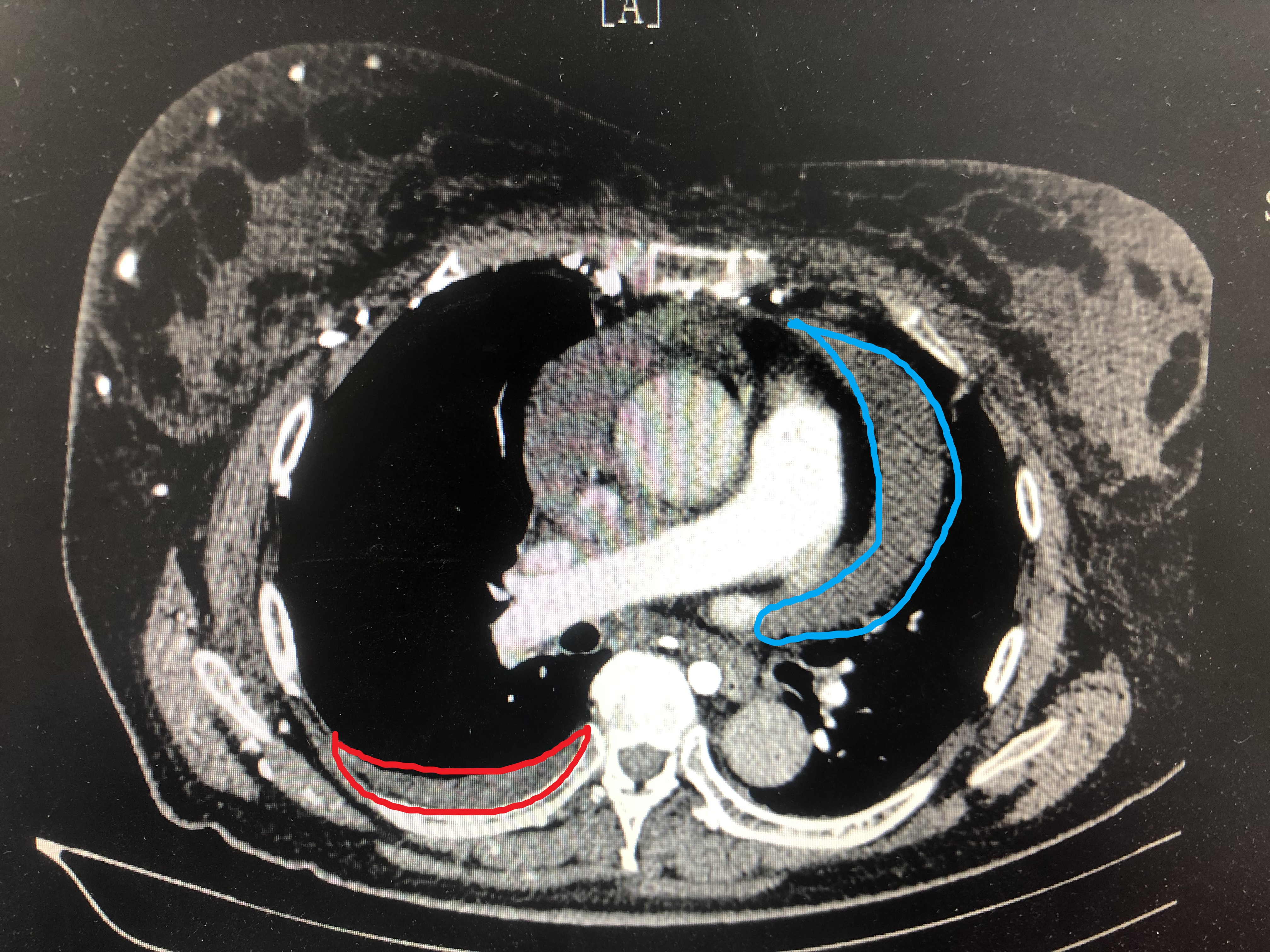
右上肺病灶(红色区域),纵隔淋巴肿(蓝色区域)已经压迫上腔静脉,所以病人会出现脸部肿胀。

蓝色区域为肺癌转移到心包腔引起的心包积液,红色区域为肺癌转移到胸膜腔引起的胸腔积液
其实挺为这个病人惋惜的,发现就已经是晚期肺癌了,失去了最佳的治疗时间,所以今天我就想和大家聊聊,医生是怎么对肺癌进行分期的。
对于肺癌的分期,我们有一套严格的国际标准,内容过于专业,在这里我们可以简单的理解肺癌分为早期、中期和晚期。
早期肺癌就是病灶只局限在发病的肺叶,直径小于3cm,没有转移迹象。像这样的病例是可以通过手术达到很好的治疗效果。

早期肺癌常见的类型就是单发的病灶
中期肺癌就是病灶比较大,或者出现了局部的扩散,包括扩散到同一个肺叶内或者在同侧的纵隔淋巴结也找到了癌细胞,这样的病例也可以通过手术达到较好的治疗效果。

中期肺癌的一些常见类型
晚期就是癌细胞广泛的扩散到身体的其他部位,比如不同侧的肺叶,对侧的纵隔淋巴结,甚至是心包腔、胸膜腔、脑、骨骼、肝脏等,这样的病例就失去了手术机会,只能通过放化疗等治疗来延长生存期。

晚期肺癌的常见转移部位
最后,想啰嗦一句,肺癌之所以可怕,是因为早期起病非常隐匿,等出现相应的临床症状时,大部分病例分期就比较晚了。如何做到肺癌的早发现、早诊断、早治疗呢?体检是最简单便捷的方式,所以一定要定期体检,尤其是具有高危因素的人群,如年龄大于40岁、有吸烟、肺部慢性疾病、有癌症家族史,体检时应选择低剂量胸部CT平扫,可以发现非常早期的肺部病变,为您的健康保驾护航!