
过去的岁月已经在高龄的患者脸上刻下了深深的痕迹,然而,这并不能阻挡他们对美好生活的追求。就在他们已经接受了现实,放弃了对完美笑容的梦想之际,湘潭康贝口腔的吴兴医生走进了他们的世界,用自己的医术和坚定信念,带给他们前所未有的希望与光明。

这是一场不屈的斗争。吴兴医生从一开始就了解,这些高龄患者身体状况虚弱,许多人拥有的自然牙齿已经不足以支撑种植牙的手术。但是他并没有放弃,相反,他抛开了传统的束缚,开启了一条充满挑战的新路径。
吴兴医生的首要任务是评估患者整体健康状况,确保手术的安全性。他与每一位患者面对面交流,用他温暖的话语和平和的态度,安抚他们心中的恐惧和疑虑。他将自己视作患者的朋友和家人,为他们提供全方位的关怀和支持。

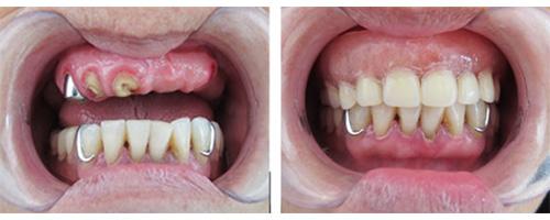
种植牙手术是一项精密而复杂的过程。吴兴医生不仅仅是一位医生,更是一名艺术家。他精心设计每一颗种植牙,确保它们与患者的自然牙齿完美融合。他在手术中运用先进的技术和设备,精确无误地将人工牙齿植入患者的颌骨中,并保证手术的成功率。
但这并不是结束。种植牙手术之后,吴兴医生并没有忙于赶下一位患者。相反,他与每一位高龄患者保持着密切的联系,帮助他们应对术后的不适和需求。他不知疲倦地解答他们的问题,关心他们的生活质量,确保他们能够尽快适应新牙齿的使用。

不仅如此,吴兴医生还积极参与社区的牙齿保健宣传活动,为老年人普及口腔保健知识,提醒他们关注口腔健康,以防患牙齿问题。
湘潭康贝口腔的吴兴医生是一位伟大的医生,他用自己的奉献和才华,让高龄患者重新获得了自信和快乐。他的故事温暖人心,激励我们对美好生活的追求。无论年龄如何,只要心中有梦想,就能迎接一次奇迹的降临。
