随着对新型冠状病毒肺炎认识的不断深入,专家认为除了呼吸道传染,通过接触也可以传染,比如通过揉眼可能被传染。
因此,通过咳嗽飞沫、也很可能通过结膜发生传染。而且通过临床一些非正式途径也有人发现新型冠状病毒肺炎感染后可以出现结膜炎,或者可能先出现结膜炎,再出现肺炎。
因此,现在大家对结膜炎非常警惕,不仅普通非医学人士对此草木皆兵,眼科医生也因为从没有遇到此类病例而有些不安。
那么如果我们发现自己眼睛红了,怎么办?
今天由中南大学爱尔眼科学院博士生导师,北京爱尔英智眼科医院CEO李绍伟教授,给大家解答疑问。

以下文章来源于李绍伟眼科 ,作者李绍伟
发现自己眼睛红了,怎么办?
不方便去医院,可以网上咨询医生得到指导。因为很多原因和疾病都可导致“眼睛红”。要鉴别清楚,不要延误治疗。如果排除了其他疾病,那就应该到发热门诊排除新型冠状病毒感染。
有哪些眼部疾病会导致眼睛红?
1.细菌性结膜炎
如昨天所说,最常见的是细菌性结膜炎,这个很好鉴别,多是单眼发病,也可以传到对侧眼。
典型表现:眼红、畏光、流泪,晨起双眼大量分泌物,可以“糊住”眼睛。分泌物多呈黄白色。
处理方法:这种情况可以到药店购买抗生素眼水频繁点眼即可,可以半小时一次,一两天就可以控制。不能控制的,或者有其他症状的,需要到医院就诊。常用药物包括:氧氟沙星或左氧氟沙星、莫西沙星、妥布霉素眼水,晚上可以用红霉素眼膏等抗生素眼膏。但是不要热敷,要注意清洁眼部,不要用毛巾,可以用纸巾,并防止交叉感染。
2.过敏性结膜炎
这个多发生在春季,大量花粉可导致过敏,冬季比较少;如果家居装修,一些油漆等可能导致过敏;或者接触某种化妆品等,也可能过敏。
过敏主要表现:眼部结膜和皮肤红肿,局部瘙痒,不影响视力。
处理方法:这种情况冷敷,脱离过敏原,点无防腐剂的人工泪液,妥布霉素低塞米松眼水,抗过敏的眼水等即可控制。
3.腺病毒性结膜炎
有许多类型的腺病毒和其他病毒都可感染结膜,引起结膜充血、眼红、流泪畏光,再就是大量粘液水样流泪。医生检查可见结膜滤泡,甚至角膜点状浸润。此时会导致视物模糊。病毒感染可能合并发热感冒症状,耳前淋巴结肿大等。普通腺病毒性结膜炎没有特效治疗方法,但是危害不大,一般2周自愈,无需担心。
只有此类结膜炎比较难与新型冠状病毒结膜炎相鉴别。不过腺病毒感染绝大部分是在夏季发生,冬季少见。如果发生此类症状,建议去发热门诊排查。
4.结膜下出血
这也是一个非常常见“红眼”原因。

结膜下出血很常见,往往出现在剧烈咳嗽、呕吐、举重物、潜水、戴隐形眼镜后、划伤等情况下。也可发生在高血压、糖尿病、动脉硬化、口服抗凝药物、血液病、严重的结膜炎等情况下,有时候也找不到特殊原因。
处理方法:偶尔出现,没有外伤等原因一般不用治疗,2周左右自然吸收。如果反复发生结膜下出血,必须排除高血压和凝血障碍等问题。如果长期口服抗凝药物,可能是剂量偏大,需要到内科就诊。另外眼局部肿瘤等也要排除。另外据报道,反复发生结膜下出血的人,脑溢血的发生率较正常高3%左右。
李绍伟教授还提醒大家
还有一些容易忽视的病因也可以造成眼红,不一定都是结膜炎。
1.闭角型青光眼
在冬季比较好发,这个疾病必须重视,而且必须急症到医院就诊处理,否则会有很多并发症。
什么是闭角型青光眼?
眼睛内我们的睫状上皮细胞会不断产生房水营养眼睛,这些房水又会不断的经过瞳孔进入前房,再从房角的小梁网排出。这样不断动态循环,保持正常的眼压(10-21mmHg)。
闭角型青光眼就是各种原因导致的前房角狭窄或关闭,造成房水只产生而流出减少或不流出,最后导致眼内压升高,压迫眼内神经缺血,最后失明的疾病。
闭角型青光眼急性发作的症状是什么?
1.眼痛,头痛,严重者会出现呕吐。
2.眼红,视物模糊,看电灯会有彩虹样光芒。
如何处理?
必须尽快到医院就医,医生会根据情况采取药物或激光或手术治疗。
什么人容易发生闭角型青光眼?
1.年轻时远视眼,或者视力特别好的,比如1.5,甚至2.0 视力的。
2.老花眼比较早的,比如40岁左右就有比较明显老花眼的。
3.有白内障的。
以上情况都比较容易伴有先天性眼轴偏短,眼前节拥挤,随着年龄增长,晶体逐渐变厚,就容易挤压房角变浅或关闭,造成青光眼发作。尤其是休息不好,熬夜等等比较容易激发。
2.虹膜睫状体炎
这是一类免疫性疾病,通俗讲就是瞳孔周围发炎了。与类风湿关节炎相似,是一种比较难以根除的疾病。发作时眼红、畏光、视力下降。炎症不及时控制,还可以导致瞳孔闭锁,继发青光眼。
该病病因很多,有类风湿、病毒感染、异物刺激、甚至肿瘤或者艾滋病都可以导致虹膜睫状体炎。出现此类情况,也要及时就诊。
3.干眼症
由于经常玩手机等电子产品,使得用眼时间长,眨眼次数减少,泪液蒸发增加,往往导致干眼症。再加上冬季暖气的蒸发,环境干燥,干眼症发病率更高。有干眼症时就会出现眼红、异物感、流泪,严重的往往晨起眼睛干涩严重。
怎么处理?
1.多休息,少看手机和电脑。
2.补水:点无防腐剂的人工泪液,某些日本的所谓网红药水等大部分有防腐剂,不能长期用。另外要保持环境湿润,空气加湿器很有帮助。
4.其他严重干眼症
由于药物过敏造成的Stevens-johnson综合征、红斑狼疮、还有类天疱疮、移植物抗宿主(骨髓移植后)等,都可能造成严重的干眼症,眼部会有疤痕、睑球粘连,甚至角膜溃疡等。这需要到医院专业治疗。
5.巩膜炎
有些免疫性疾病,比如巩膜炎也可以造成眼红,不过一般是单眼发病。有压痛,没有分泌物。

这种情况也要到医院就诊,医生指导用药。一般是局部激素和免疫*制剂抑**。
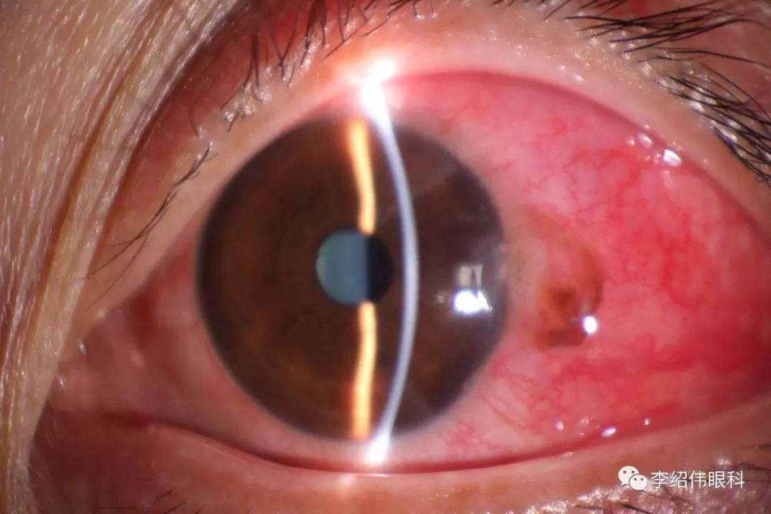
6.BKC,就是睑缘炎相关的角结膜炎
这种病是因为眼睑结膜根部发炎,造成的结膜角膜免疫性反应,不及时治疗会造成角膜疤痕甚至穿孔。以青少年较多见,容易忽视。
检查可以见到结膜根部分泌物,球结膜充血,角膜有细小浸润和新生血管。

如何治疗?
包括每日清洁睑缘,局部用抗生素和激素眼水等,需要到医院指导治疗。
总之,红眼病有多种原因,包括各种炎症、外伤、眼部疾病等,有些疾病需要及时就诊,延误会导致较严重并发症。
但并不是只要出现红眼症状就一定是感染了新型冠状病毒,因此出现红眼症状后,不要紧张,要及时就诊或咨询眼科医生,明确诊断,绝大部分可以得到很好的治疗。