
我院收治了一例急性脑梗患者,静脉溶栓治疗后,次日复查头颅 CT 发现左侧基底节区出血。进一步检查发现,患者存在脑小血管病(CSVD),增加了溶栓后出血转化(HT)的风险。
病例回顾
66 岁男性,急性起病。患者于 1 小时 45 分钟前突发言语不清,口角歪斜,伴右侧肢体无力、活动障碍,无头晕头痛、恶心呕吐,无肢体抽搐,遂就诊于我院急诊。
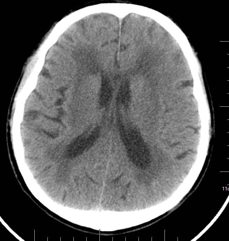
既往有高血压病史,血压控制不详。急诊头颅 CT:颅内多发缺血腔梗灶。

两侧半卵圆中心、右侧基底节区多发缺血腔梗灶
考虑患者此次发病为急性脑梗塞,且目前处于静脉溶栓时间窗内,完善相关检查,排除溶栓禁忌后,予静脉标准剂量阿替普酶溶栓治疗。
随即完善头颈部 CTA + CTP 检查:颅内外血管多发斑块形成伴管腔轻度狭窄,无血管内治疗指征。严密监测 24 小时,期间患者无新发症状出现,血压正常。

右侧颈外动脉起始段管壁局部软斑,伴管腔轻度狭窄,两侧颈内动脉 C4-7 段管壁多发钙化小斑块,伴管腔轻度狭窄;右侧半卵圆形中心及右侧侧脑室旁缺血灌注异常,存在缺血半暗带
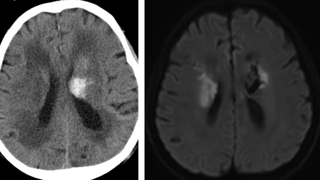
次日复查头颅 CT 提示左侧基底节区出血!
进一步完善头颅 MRI + MRA:左侧脑室旁脑出血伴双侧脑室后角积血;双侧脑室旁及半卵圆中心急性梗死;右侧半卵圆中心及右侧基底节区软化灶,脑白质脱髓鞘改变;头颅 MRA 示颅内动脉硬化改变,未见明显狭窄闭塞。

寻找出血转化的原因
患者无静脉溶栓禁忌症,溶栓过程及溶栓后患者无头痛、恶心呕吐、肢体偏瘫加重等新发症状出现,血压控制可,24 小时内未使用任何抗栓药物,且患者各种实验室检查未见明显异常值。
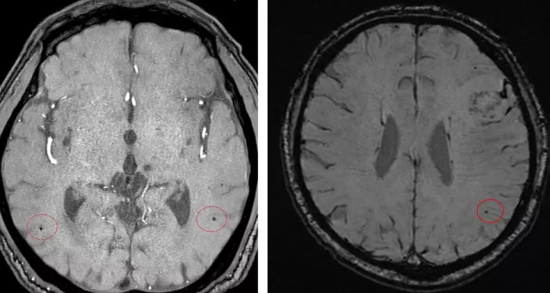
因此,考虑可能是其他原因增加了患者溶栓后出血转化的风险。随后进一步发现:患者多模 MR 上提示存在典型的脑小血管病影像学征象。
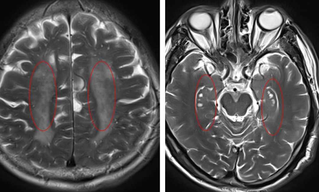
脑白质病变(左)血管周围间隙(右)

腔隙性脑梗死

脑微出血
脑小血管病(CSVD):是一种脑微循环受损并导致脑深部白质和灰质的血流低灌注,从而引起临床、认知、影像学及病理表现的一系列综合征,是老年人中普遍存在的一种神经系统疾病 [1]。

CSVD 影像表现
在 MRI 影像学上 CSVD 主要表现为:新发小的皮质下梗死、可能血管起源的腔隙、可能血管起源的白质病变 (white-matter hyperintensities,WMHs)、血管周围间隙(peripheral vascular space,PVS)、微出血(cerebral microbleeds,CMBs)和脑萎缩六大征象 [8-9]。

研究表明,腔隙性梗死占全部缺血性卒中病因的 42.3%, 80 岁以上老年人群脑白质高信号(WMH)检出率高达 94%,脑微出血(CMB)检出率高达 36%[2]。
随着神经影像学的发展,越来越多的急性缺血性卒中(AIS)患者影像学上检出白质病变、微出血等脑小血管病征象,且大多数患者无明显的临床症状,容易被临床医生所忽视。
CSVD 与溶栓后出血转化的关系
CSVD 不仅与老年卒中患者的结局预后密切相关,其在中青年缺血性卒中患者的发病过程中也起到至关重要的作用。
对于同时合并 CSVD 的 AIS 患者,静脉溶栓的安全性及有效性成为近年来研究的热点。目前研究最多的为脑白质病变及脑微出血对 AIS 患者的影响。
WMHs 对溶栓后出血转化的影响
WMHs 对 AIS 静脉溶栓的影响经历了一个发展阶段。
最初研究提示:WMHs 与溶栓患者症状性脑出血(symptomatic intracerebral hemorrhage,sICH)及改良兰金评分(mRS)无相关性。
Demchuk 等研究 [10] 指出在 rt-PA 治疗组中,患有广泛性 WMHs 患者的 sICH 的绝对风险为 14.3%。然而,这种风险在治疗组和安慰剂组患者中没有统计学差异。rt-PA 和安慰剂组之间出现 sICH 的风险没有显著差异。同时该研究也指出,溶栓患者合并重度 WMHs 与短期不良预后无明显相关性!
而随后有大量研究提示:WMHs 是溶栓患者 sICH 及 3 个月预后不良的独立危险因素且 WMHs 的量化能更好反映对溶栓患者的影响。
一项纳入 11 项研究 [11],包括 7194 例接受静脉 rt-PA 治疗的 AIS 患者的 Meta 分析,与头颅 CT 筛查无 WMHs 的患者相比,存在 WMHs 患者静脉溶栓后 sICH 的风险更高(OR:1.55; 95%CI:1.17~2.06,p = 0.002)。
在患有重度 WMHs 的溶栓患者中,sICH 风险更高(OR:2.53; 95%CI:1.92~3.34,p <0.0001)。
对这些研究的汇总分析表明,WMHs 组卒中后 3~6 个月预后不良的几率显著升高(OR:2.02; 95%CI:1.54~2.65,p <0.0001),调整混杂因素后,WMHs 仍然是预后不良的独立预测因子。
CMBs 对溶栓后出血转化的影响
CMBs 对静脉溶栓后 HT 的影响,国内外相关研究众多且结果存在差异。
一项的 Meta 分析表明 [12],CMBs 存在与静脉溶栓后任何 ICH 或 sICH 的发生无明显相关性。而另一部分研究将 CMBs 进行量化分析,发现 CMBs 的数量增加与发生任何 ICH、sICH 的风险之间存在显著关系。
一项研究 [13] 显示,对于存在 CMBs 患者,AIS 溶栓治疗后功能预后较差的风险增加,需要进一步研究来确定风险是否超过再灌注治疗的预期效益。
因此,2018AHA/ASA 急性缺血性卒中早期治疗指南 [14] 指出,既往 MRI 显示有少量(1~10 个)微出血者,如果其他方面都适合溶栓,静脉阿替普酶是合理的;既往 MR 显示有大量(>10 个)CMBs 者,静脉阿替普酶出现 sICH 的风险升高,溶栓获益不确定。
CSVD 的总体负荷评分量表
目前的研究数据大多仅关注某一种 CSVD 表现对于 AIS 静脉溶栓结局的影响,并未综合评估 CSVD 作为一个整体对 AIS 静脉溶栓治疗的影响。
鉴于患者可能同时存在 2、3 种甚至更多亚型的 CSVD,Staals[15] 等人提出了 CSVD 的总体负荷评分量表,来进一步整体评估 CSVD 的全脑负担。
有研究表明 [16],CSVD 总体负荷是 AIS 静脉溶栓后预后不良的影响因素,CSVD 总体负荷评分是临床实践中可行的评分并能提供有用的临床信息。
目前,缺乏研究 CSVD 总体负荷与静脉溶栓后 HT 的关系的数据,我们最近的研究提示:CSVD 总体负荷严重程度与 AIS 患者溶栓后 HT 密切相关,合并重度 CSVD 的患者出血转化率高,是溶栓后 HT 的独立危险因素。这为我们以后的研究提供了方向,需要在未来的研究中进一步探索。
总结
合并重度脑白质病变的患者更容易导致溶栓后 ICH 甚至 sICH 以及患者不良预后的发生。
脑微出血的严重程度与溶栓后 sICH 及短期神经功能不良预后有关。
将 CSVD 的总体负担进行一定的量化,评估其全脑的严重程度可能更有助于 AIS 患者的危险分层,最大程度预测溶栓后 HT 和评估临床预后。但目前相关研究较少,CSVD 总体负荷与静脉溶栓的关系有待在以后的研究中进一步明确。
作者:苏州大学附属第一医院 方琪 刘雪云
策划 | 陈文筱
首发 | 神经时间
【版权声明】本平台属公益学习平台,转载系出于传递更多学习信息之目的,且已标明作者和出处,如不希望被传播的老师可与我们联系删除