一、实验器材及试剂
1、实验器材
名称厂家型号
脱水机武汉俊杰电子有限公司 JJ-12J
包埋机武汉俊杰电子有限公司JB-P5
病理切片机上海徕卡仪器有限公司RM2016
冻台武汉俊杰电子有限公司JB-L5
组织摊片机浙江省金华市科迪仪器设备有限公司KD-P
烤箱天津市莱玻瑞仪器设备有限公司GFL-230
载玻片Servicebio
正置光学显微镜日本尼康Nikon Eclipse E100
成像系统日本尼康Nikon DS-U3
2、主要实验试剂
试剂名称厂家货号
无水乙醇国药集团化学试剂有限公司100092683
二甲苯国药集团化学试剂有限公司10023418
EVG染液套装ServicebioG1042
中性树胶国药集团化学试剂有限公司10004160
二、实验步骤
1、石蜡切片脱蜡至水:依次将切片放入二甲苯Ⅰ20min-二甲苯Ⅱ20min-无水乙醇Ⅰ5min-
无水乙醇Ⅱ5min-75%酒精5min,自来水洗。
2、EVG染色:酒精苏木素:三氯化铁:碘液5:2:2混合成EVG染液,切片入EVG染
液染30 min,自来水冲洗。
3、背景分化:三氯化铁分化液稍分化一下,自来水洗一下,如此反复操作,在显微镜下
控制分化程度,至弹力纤维呈紫黑色,背景呈灰白色近无色。
4、复染VG:将饱和苦味酸与酸性品红9:1混合成VG染液,染1-3min,快速水洗,无水
乙醇三缸快速脱水。
5、透明封片:干净的二甲苯透明1-5min,中性树胶封片。
6、显微镜镜检,图像采集分析。
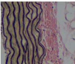
三、结果判读:
弹性纤维呈紫黑色,胶原纤维为红色,背景为黄色。
四、注意事项:
1、分化时,至弹性纤维呈紫黑色的细丝状即可,不可过度分化,弹性纤维褪色,若分化不足,则VG复染后效果不佳;
郑核生物优势货源:麦克林全国授权经销商、TCI、阿拉丁、Abcam、CST、三鹰、索莱宝、SIGMA、alfa、ACROS、WAKO、岸田化学、等试剂;病理实验的专业助手,病理切片,HE染色,免疫组化,特殊染色,病理大切片专业的设备,有资质的人员为大家提供动物组织脱水,包埋,制片,染色等病理科研技术服务!多组织包埋、切片、he染色、全景扫描
病理分析、masson染色、免疫组化、WB
免疫荧光、RT-PCR、透射电镜、ELISA
扫描电镜、生化检测收费标准私信,真是实验结果,公司正规运营资质可验查,为病理实验提供有效保障。;优势产品:Roche、BD、santa、R&D、博士德、博奥森、联科、华美、南京建成、Thremo、Millipore、Axygen、NEST、四季青、gibco、百灵威、ELK、abways、BI、bioword、affinity、bioss、欣博盛、PAN、同仁、康为、汇力、天根等;
