病理报告在疾病诊断中发挥着至关重要的作用但这么重要的报告为什么不能立等可取?别急今天用镜头为大家一探究竟
制作切片7步骤, 锁住患病“真凶”

经手术从人体取出的组织叫标本,取出后送到病理科进行检查。
在河南省人民医院,平均每天,病理科会接受600余份标本。
对标本进行信息核对后,工作人员要做的第一件事是对标本进行固定。
固定

标本会被浸泡在福尔马林中,浸泡时长根据组织大小,6~48小时不等。
标本的固定至关重要,合格的固定才能保证组织没有自溶,保证组织的结构正常和细胞的完整性。
取材

固定完成后,工作人员会对标本精挑细选取材,切取大小15~20毫米、厚度2~3毫米的组织块,并放入相应编号的带孔的标本盒内。
脱水

随后,标本盒会被集中放入全自动化脱水机中进行脱水,这个过程大概要耗时十几个小时。
包埋

完成脱水后,病理技术员将对标本进行包埋。
标本被放入模具中,灌注液体石蜡,盖好盖子放在冷冻台上冷却。
切片

经过半小时的冷冻后,液体石蜡会变成蜡块。工作人员会把蜡块切成厚度为2~3微米的切片。
工作人员平均每天要制作完成约2400个蜡块。

切下的蜡片放到温水中慢慢展开,随后被贴附在玻璃片上。
此时的切片是没有颜色的,也被成为“白片”。
染色

“白片”经过烘干后,被放入全自动染色机进行染色。
经过10多个染色缸的染色后,细胞浆会变成玫瑰红色,细胞核变成蓝紫色。
封片


最后一步——封片。在全自动封片机内,鲜艳的组织被盖上一块透明玻璃片。


至此,病例标本已成为精美的病理切片。
从标本制作成切片,整个过程颇有点“科幻”的味道,往往需要48个小时以上。

病例切片制作完成后,会被放入数字切片扫描系统仪中,扫描生成电子影像。
显微镜下大“乾坤”, 病理医师探“真凶”
合格的病理切片是病理诊断的基础,也是病理医师做出准确诊断的重要保证。

诊断医师将切片放在显微镜下,抽丝剥茧、去伪存真,在蛛丝马迹中揪出幕后“真凶”。

现在,诊断医师已经可以通过电脑线上阅片,工作效率进一步提升。诊断医师平均每天的阅片量达300~400张。

一份完整的诊断报告必须经过二线甚至三线医生审核,同时经过双人双级医生签发。
一轮又一轮复杂的流程层层把关,至少也要3到4天。
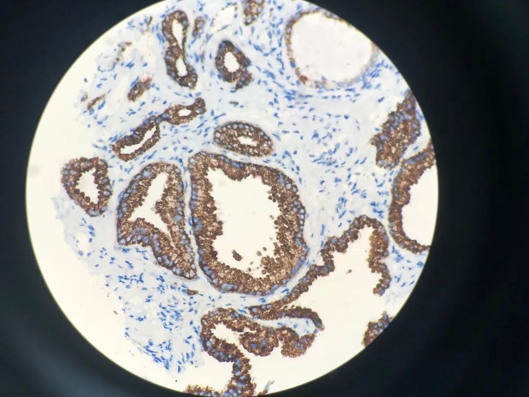
如果遇到疑难病例,还需要运用免疫组化染色、PCR技术等更先进的科技手段,再结合病理医师的临床经验才能做出准确判断。
这个过程还要在原基础上再延长2~4个工作日。
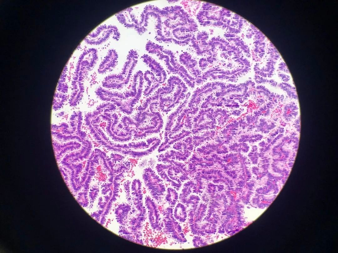
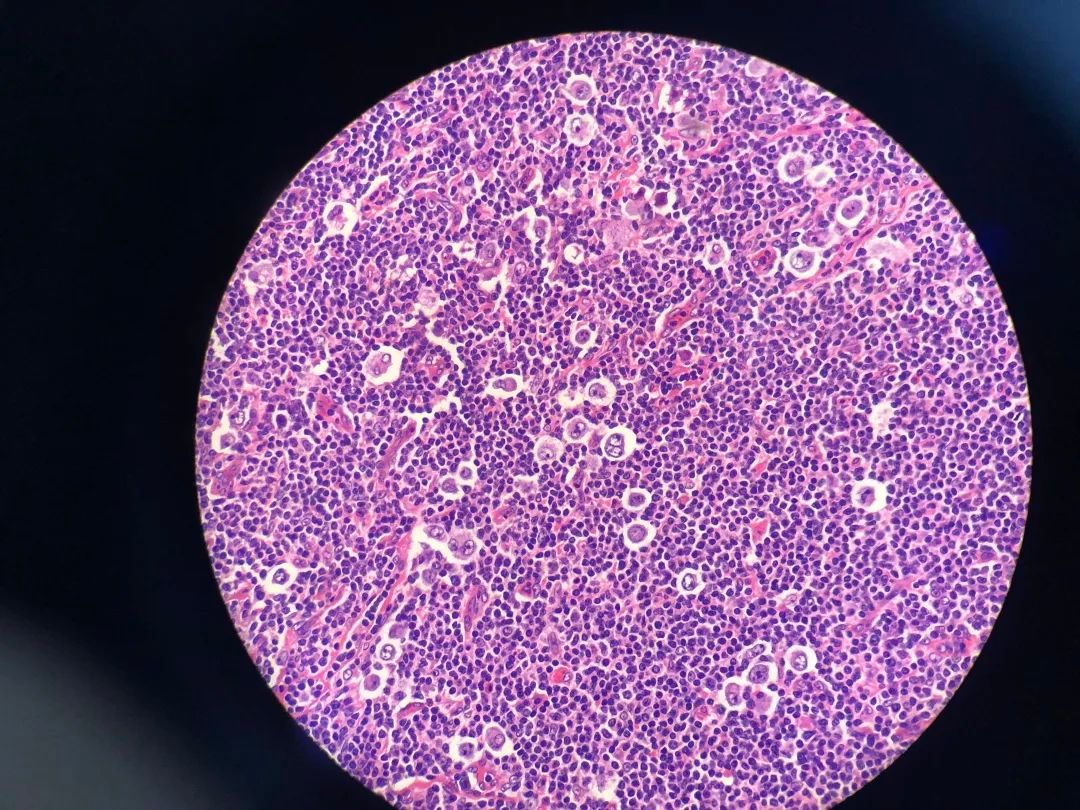
现在大家应该明白了病理检查为什么不能实现“立等可取”这一整套周密严谨的程序虽然复杂又耗时但一切都是为了精准查明病因守护患者健康 最后,一起来看点轻松的吧你知道显微镜下人体组织是什么样吗?通过这组高清图片共同欣赏这独一无二的“生命秘密”。

来源:河南省人民医院