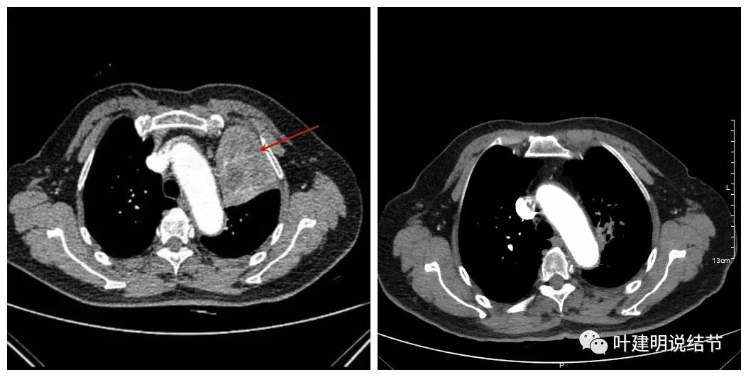
我们之前分享了一例高龄左上肺中央型鳞癌的患者处理治疗策略的分析,经过沟通后选择新辅助免疫加化疗2周期后复查胸部CT再确定手术抑或继续保守治疗的方案。那么,确定了总体思路后,要具体到免疫治疗与化疗方案的选用。免疫治疗药有国产的,也有进口的,化疗方案也有不同药物与铂类的配合。经典的应该是白蛋白紫杉醇加顺铂或卡铂,免疫药物可以用K药或O药,但总体价格较高,医保能纳入的是非鳞癌的病人。最后我们选用了国产的特瑞普利单抗240毫克,D1+多西他赛80毫克,D1+奈达铂80毫克,D1,并辅助以止吐制酸及对症处理,每3周重复一次,共用2周期。副反应较轻。于第2周期化疗完成后约3周回院复查胸部CT增强,发现图像如下:









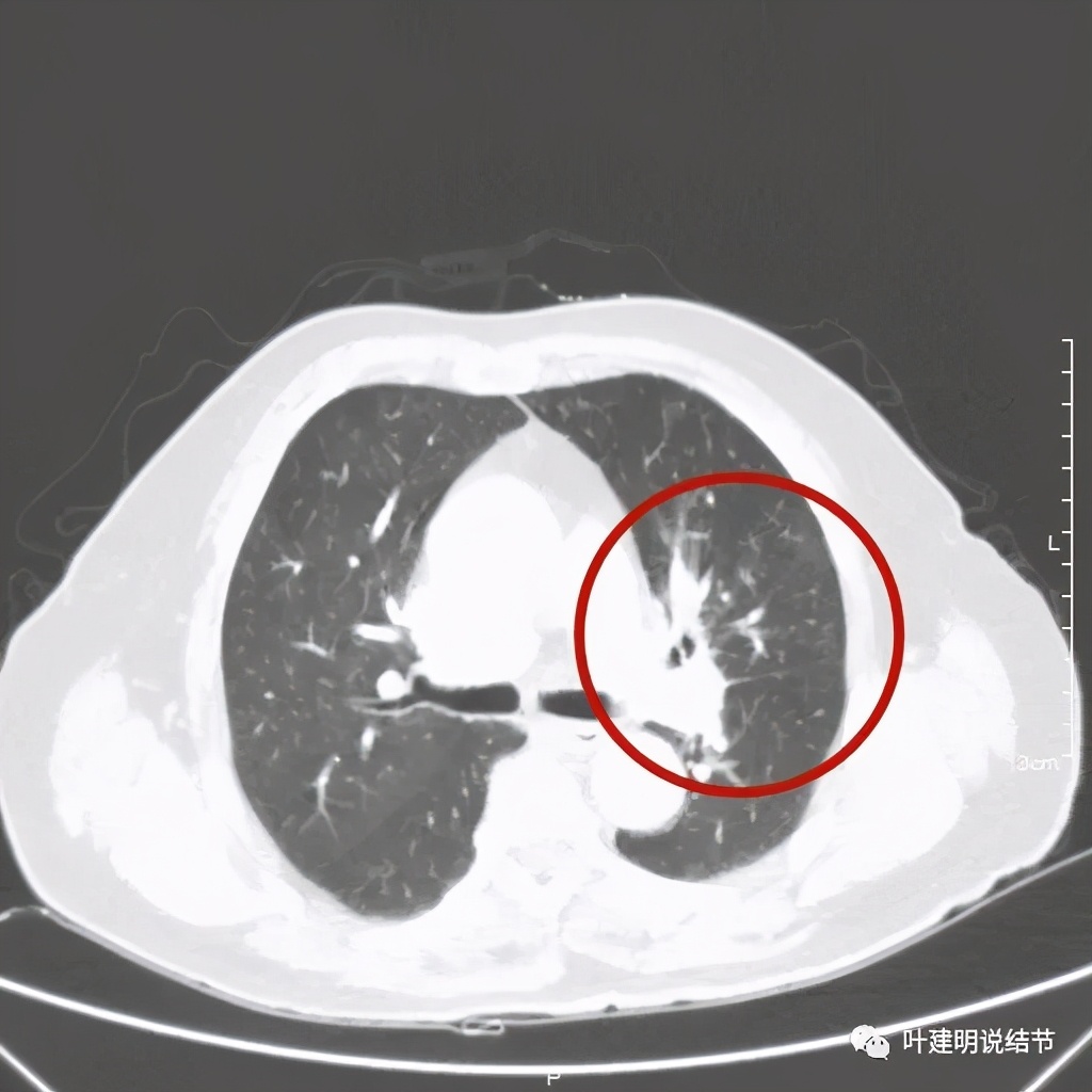
肺窗见原左上叶巨大占位已经明显缩小,甚至几乎不见了!而且上图示左上叶支气管清晰可见,内壁变光滑。纵隔窗增强又是如何的呢?



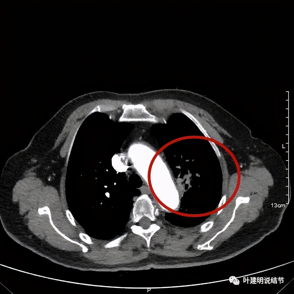
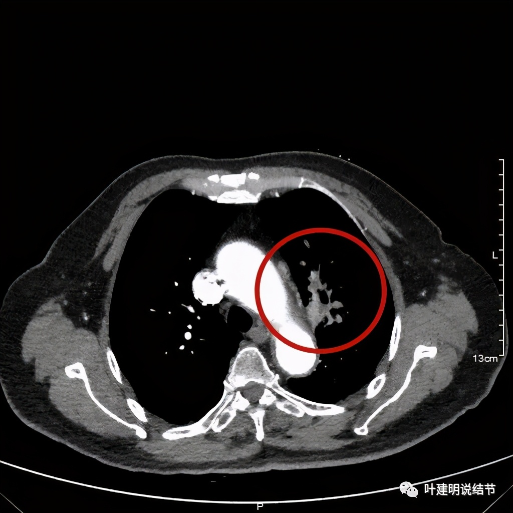
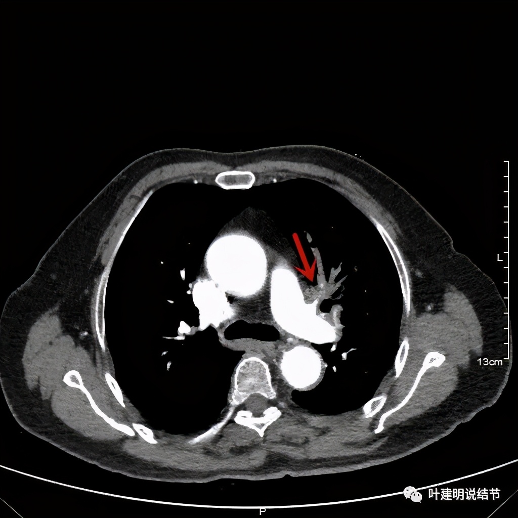
左上肺基本已经不见肿瘤,只在主动脉旁少许软组织影

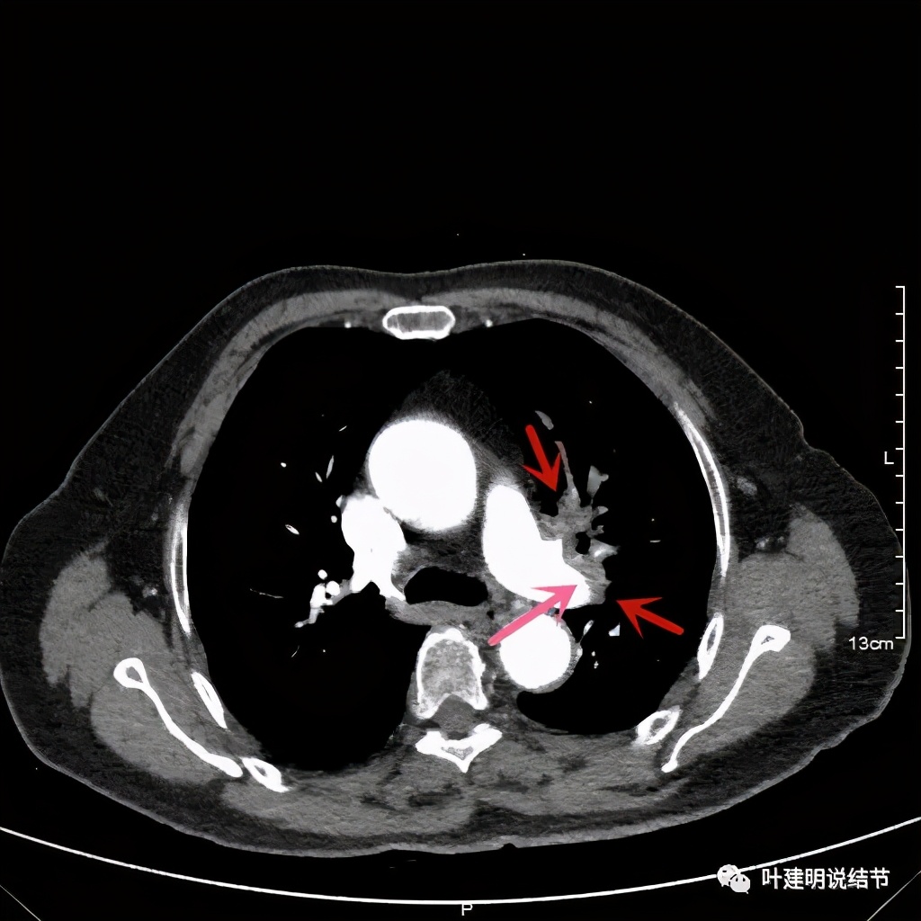
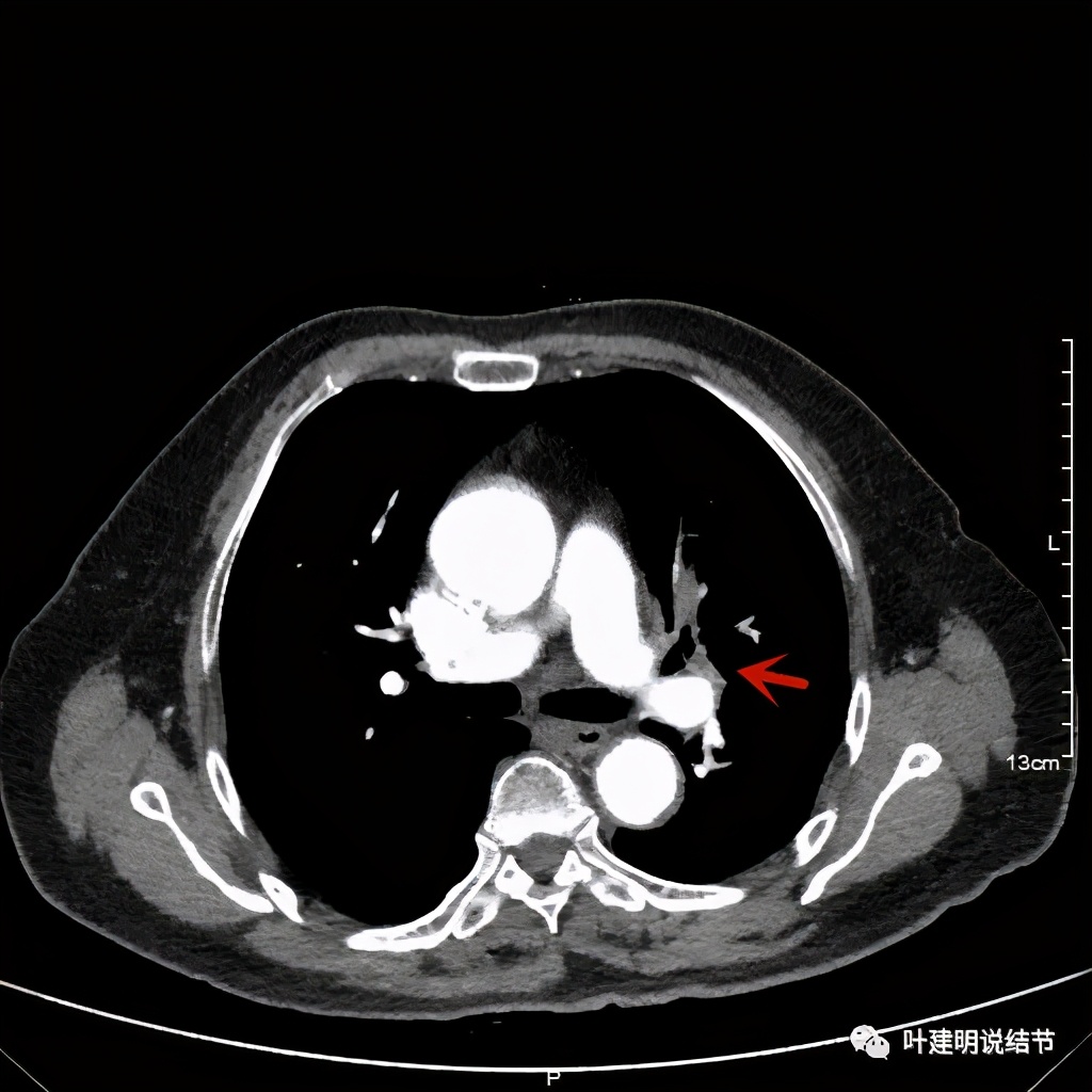
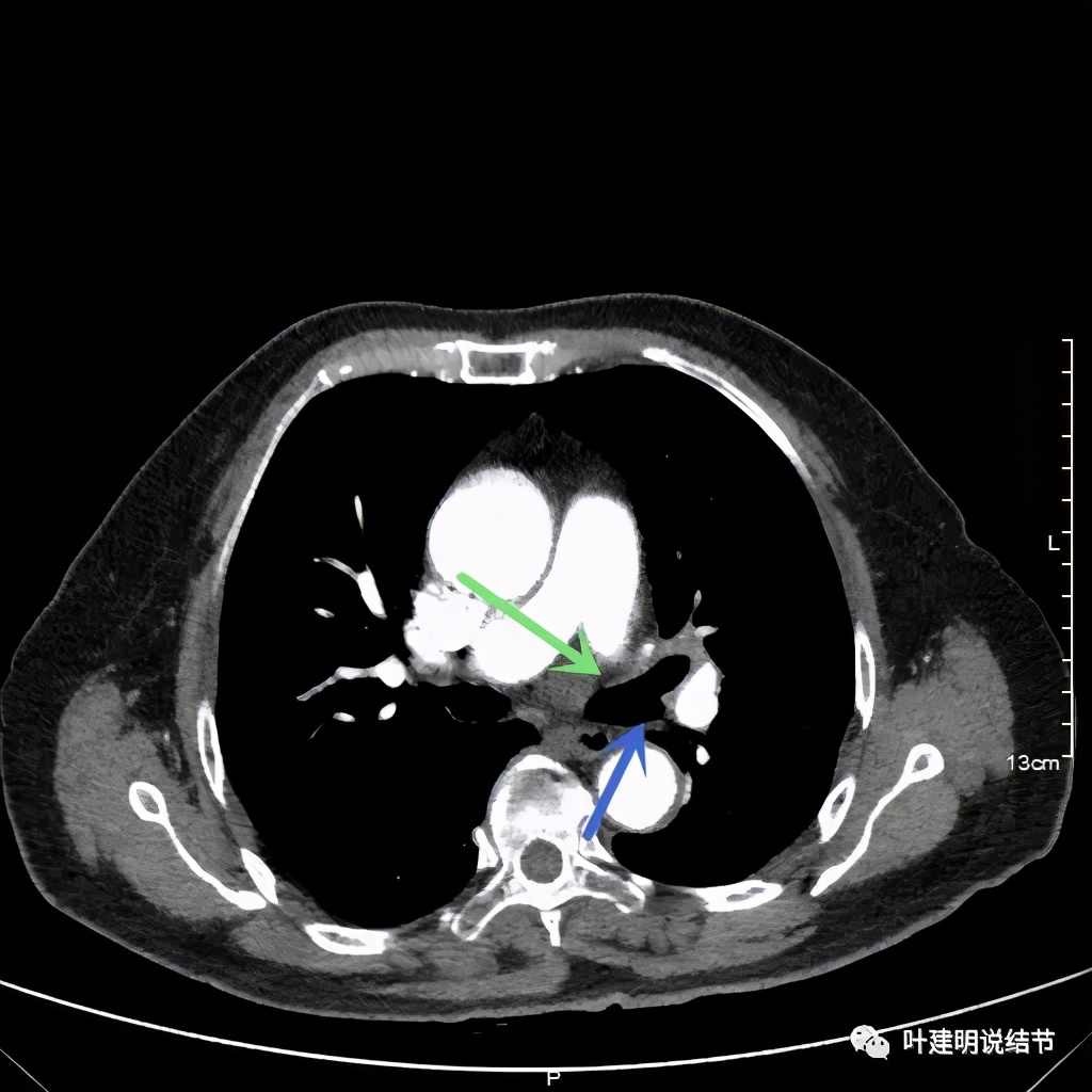
上图示主动脉弓水平仍见软组织影

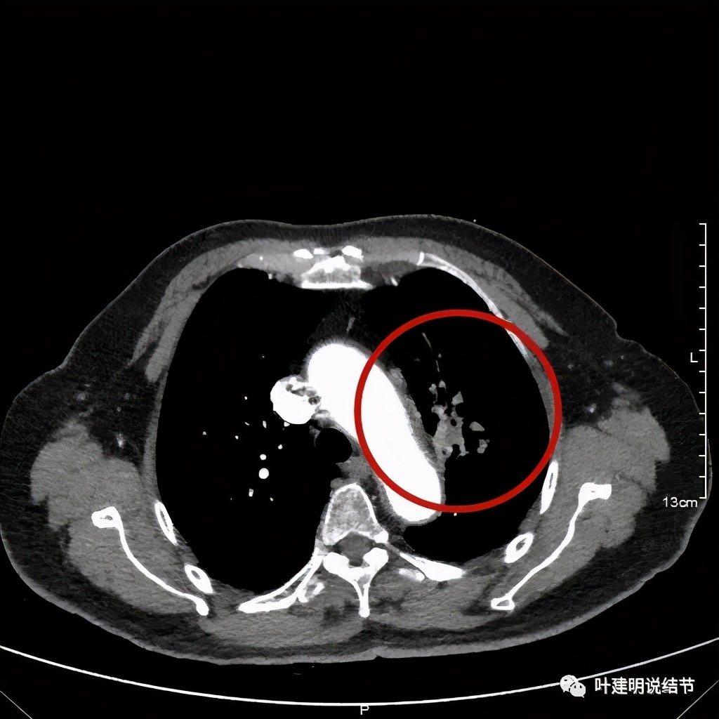
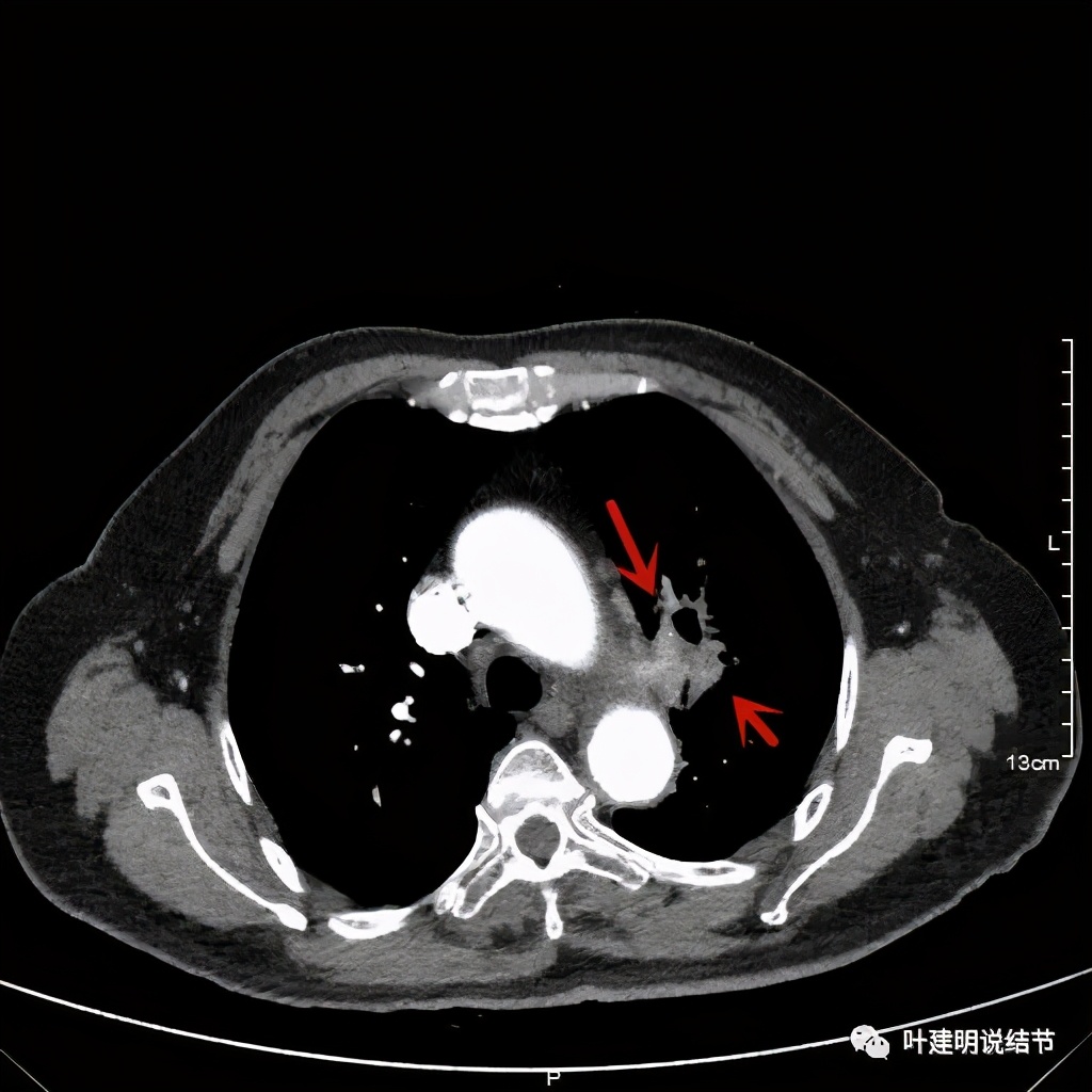
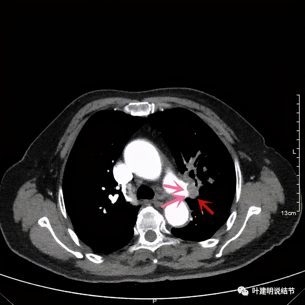
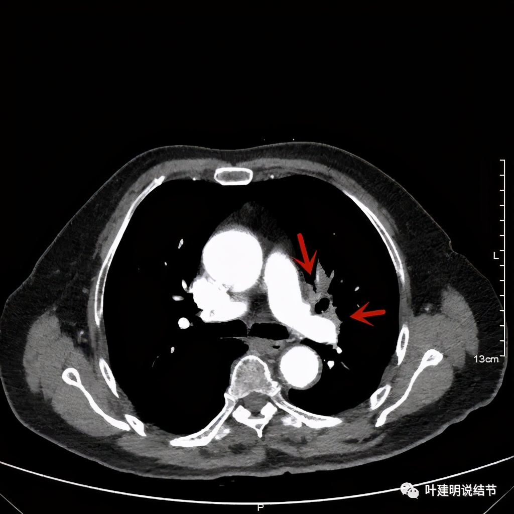
上图桔色箭头示左肺动脉分支处仍被软组织(原肿瘤所在)包绕,粉色箭头示肺动脉仍与肿瘤处关系密切

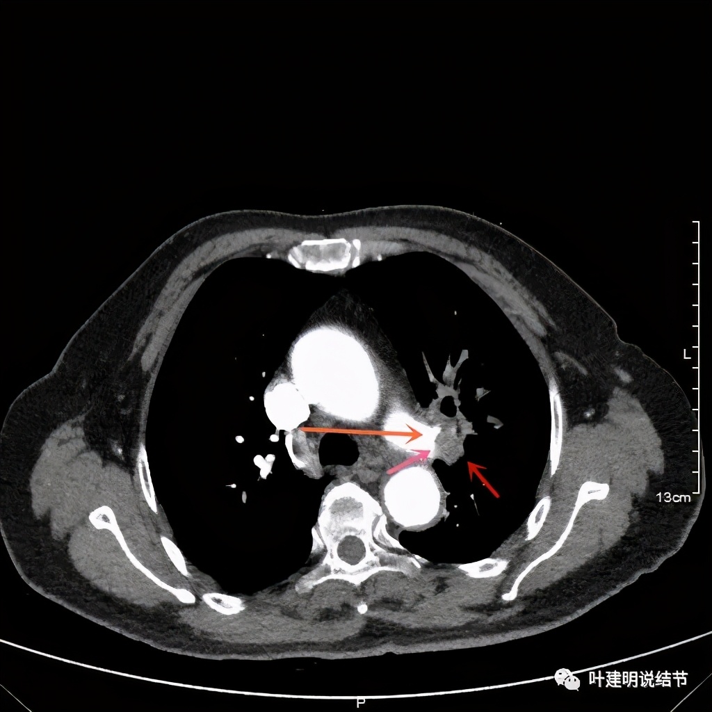
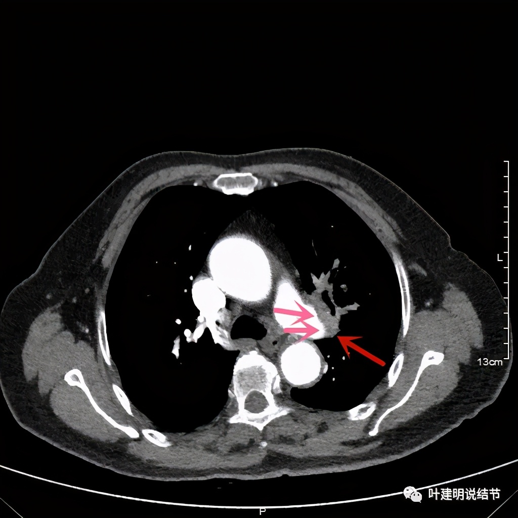
上图也示桔色箭头示左肺动脉分支处仍被软组织(原肿瘤所在)包绕,粉色箭头示肺动脉仍与肿瘤处关系密切

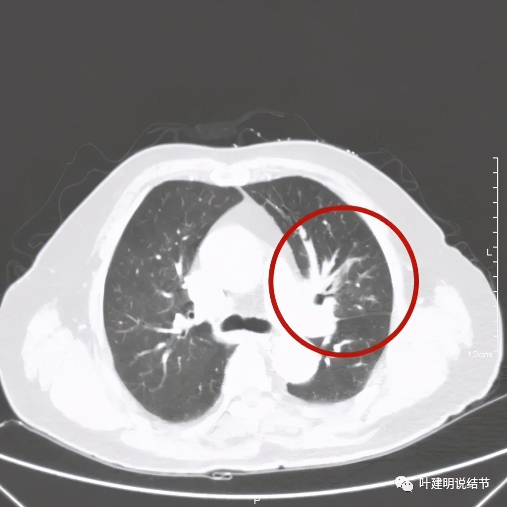
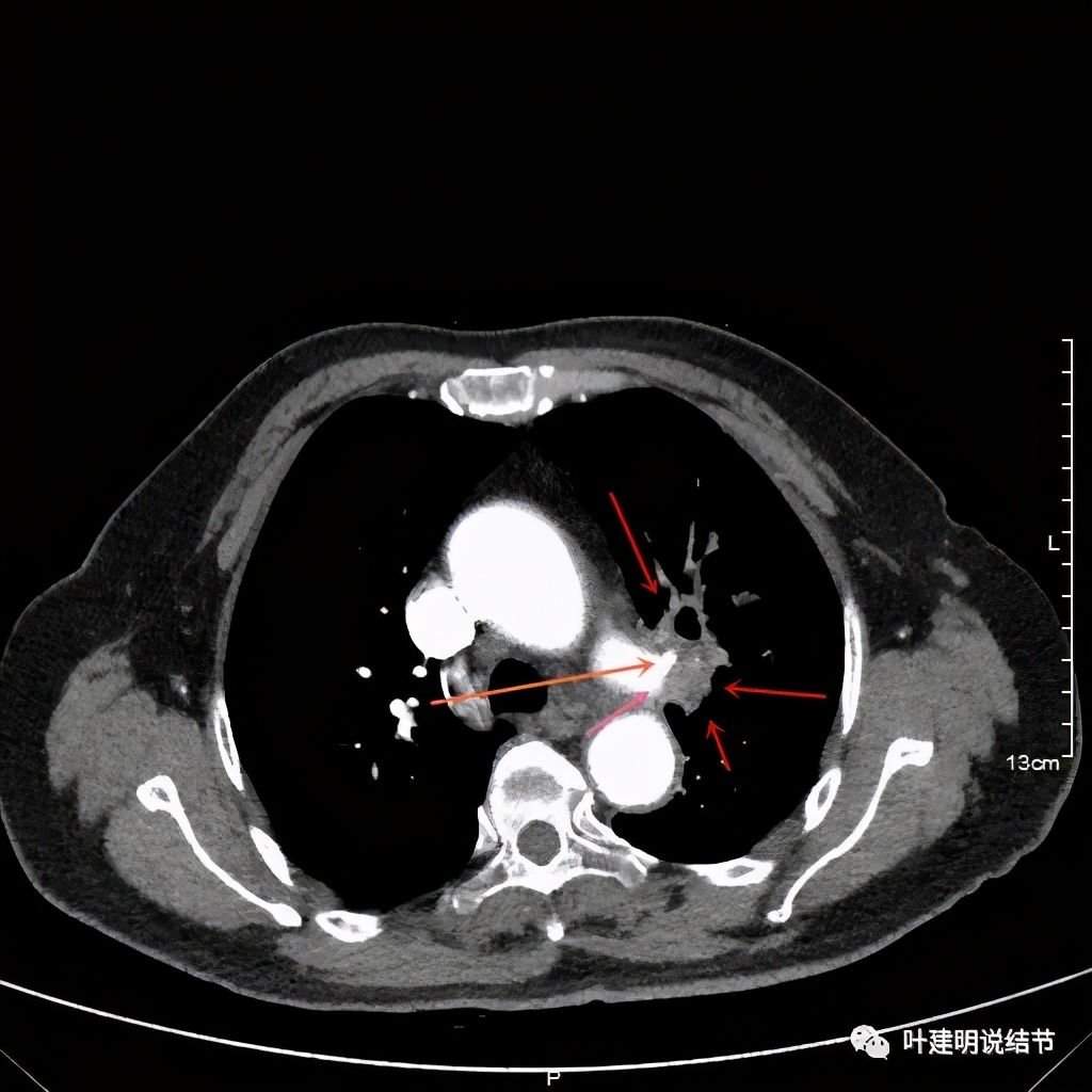
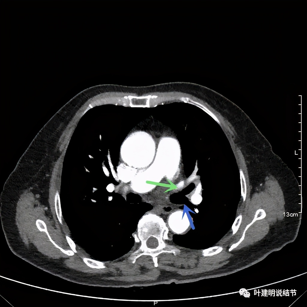
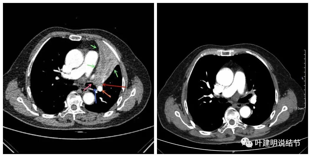
上图示肿瘤部位仍与肺动脉关系密切,似乎未能脱开,红色示肿瘤处

上图示肿瘤部位仍与肺动脉关系密切,似乎未能脱开,红色示肿瘤处





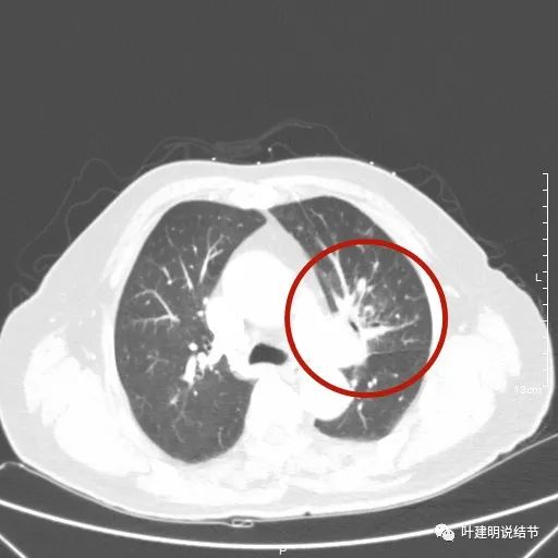
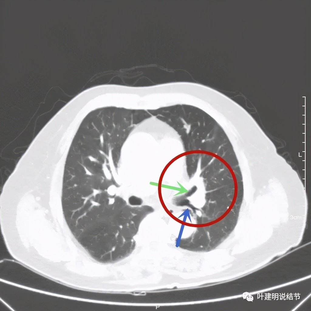
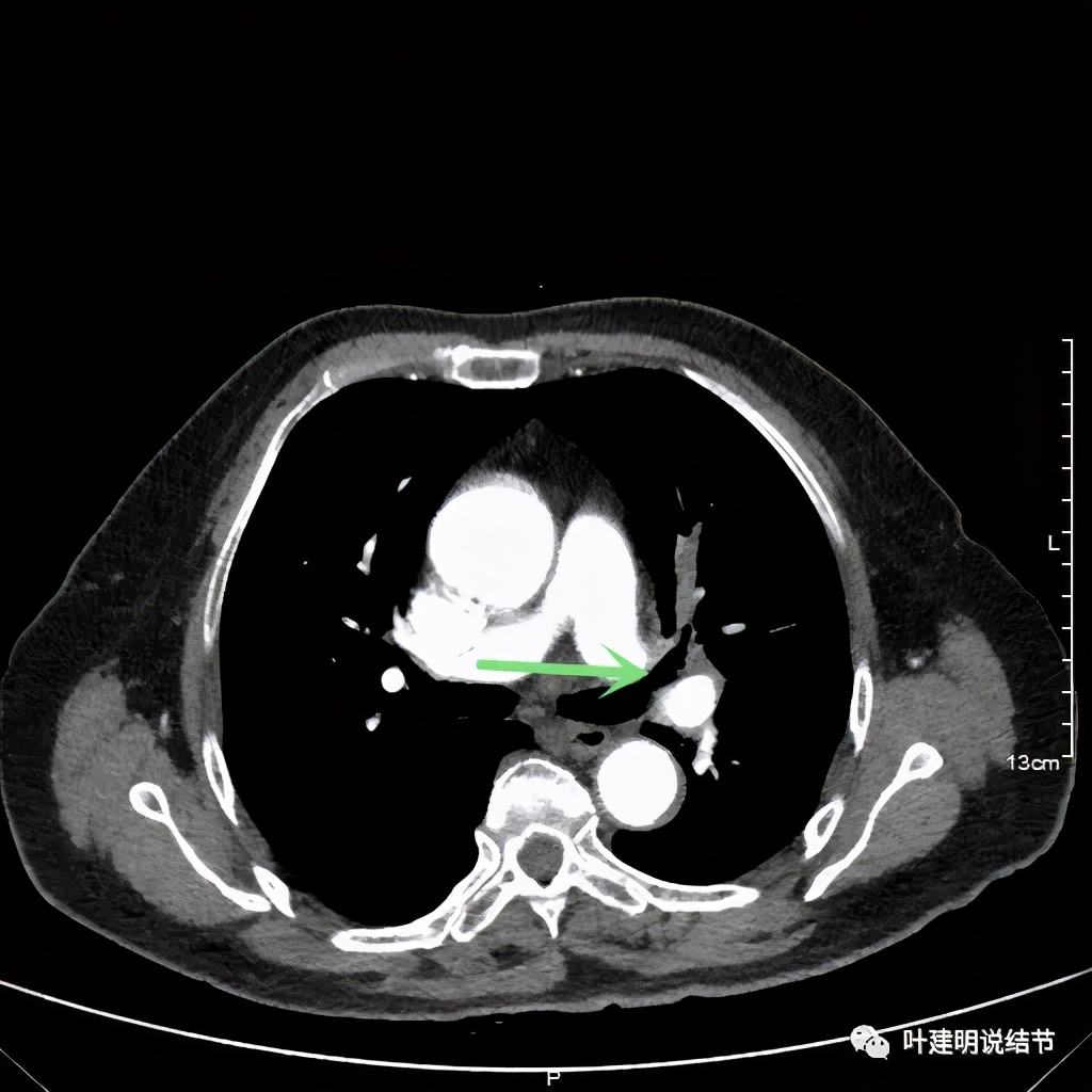
上图示左上叶开口已经显露出来


上图绿色示左上叶支气管,蓝色示下叶支气管开口处

上图示汇总区


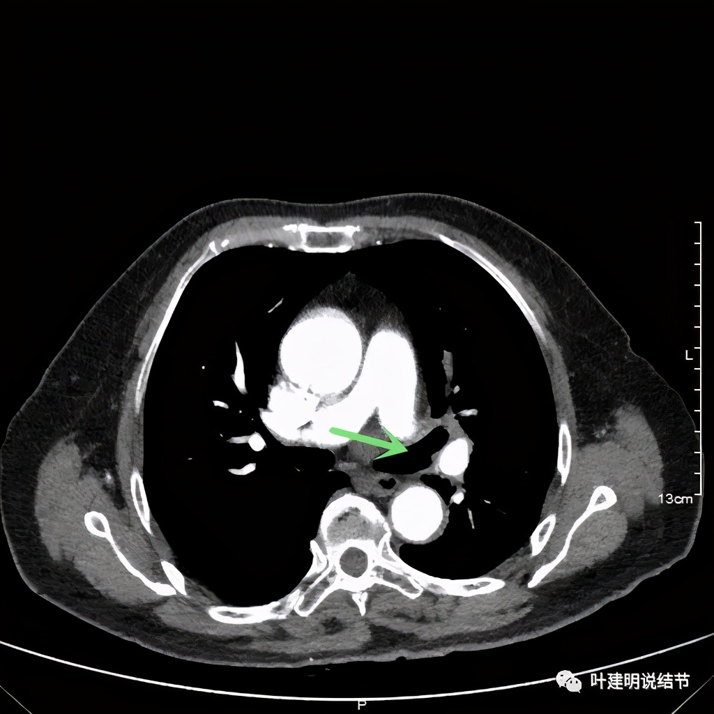
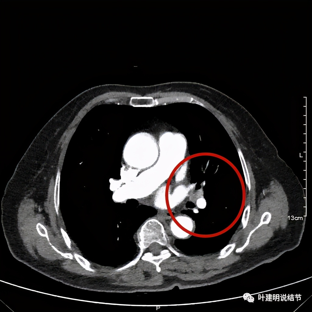
上图示原病灶处,现在不是明显的占位影像了
可见效果相当的好,如果我们把差不多同样层面的放到一起对比,更能显示化疗加免疫的惊人效果:



我样的治疗效果,显然超出了我们之前的预期,那么接下来拟选择行手术治疗,初定左上叶袖式肺叶切除加淋巴结清扫,但因为肺门区仍有软组织影,与肺动脉的关系仍密切,肿瘤与肺动脉间能否游离开来还是未知数,但至少得努力争取,鉴于患者年纪虽大,肺功能指标尚可,血气分析也基本正常,所以与患方沟通后确定行手术探查,但也也说明有万一全肺切除的可能(虽然这种可能性较小)。
欲知手术情况及后续情况如何,且看后续公众号文章。
小贴士: 特瑞普利单抗简介:
2018年12月17日,国家药品监督管理局有条件批准首个国产PD-1单抗——特瑞普利单抗注射液(商品名:拓益)上市。是由苏州众合生物医药股份有限公司研制开发的抗PD-1受体的全人源单克隆抗体,可通过封闭T淋巴细胞的PD-1,阻断其与肿瘤细胞表面PD-L1结合,解除肿瘤细胞对免疫细胞的免疫抑制,使免疫细胞重新发挥抗肿瘤细胞免疫作用而*伤杀**肿瘤细胞。
(此处已添加医疗卡片,请到*今条头日**客户端查看)