大家好,我是一名从业多年的临床医生。随着B超、CT等常规检查的普及,不少人检查结果会提示有“肝脏囊肿”,有的人看到这个东西,心里不免会咯噔一下。这会不会是不好的东西,毕竟文字的魅力是非常大的,非常容易“望文生义”,由囊肿联想到“肿瘤”。那么肝囊肿到底是不是坏现象?会不会是癌变的征兆?有没有什么药可以消除?今天我就来为大家一一解答。

先来认识一下什么是“肝囊肿”!
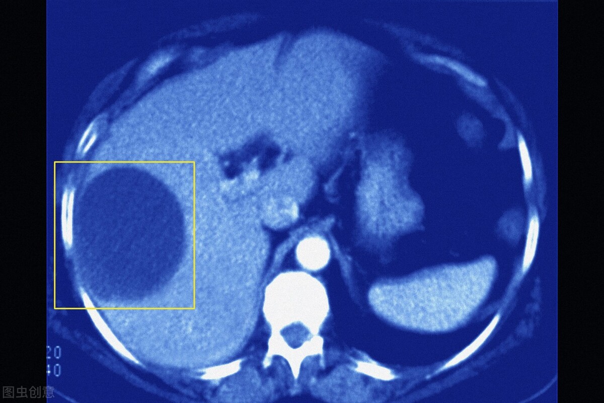
●所谓的囊肿,其实在我们临床大夫看来就是一种囊性肿物(长在肝脏的囊泡状病变)。说白了就是外层有一层囊腔包裹,中间是液体,就是这么简单,我们人体很多脏器都会有这种囊性病变,如肾囊肿、肝囊肿、卵巢囊肿等。不少人刚拿到检查报告单看到“囊肿”的字眼吓呆了,有的还以为是最近新长出来的。其实很多人都是从小就有了,因为肝囊肿中“先天性囊肿”是最常见的。
●肝囊肿是临床上常见的肝脏良性疾病,囊肿既可以是单发的,也可以是多发的,大多在肝内分散分布,大小不一,这个囊肿里面主要是清亮、无色或淡黄色液体。如果是小囊肿可长期或终生无症状。其临床表现随囊肿位置、大小、数目以及有无压迫邻近器官和有关并发症而异。如果说囊肿持续增大或者说压迫了邻近器官那就可出现餐后饱胀、食欲减退、恶心和呕吐;腹痛;腹部肿块;黄疸等表现。

肝囊肿,我更推荐B超检查!
●经过多年的临床实践发现,其实超声是诊断肝囊肿最简便易行的方法, 可作为肝囊肿的诊断依据, 确诊率超过95%。它已有效应用于肝囊肿的筛查, 甚至还可用于胎儿先天性肝囊肿的诊断。有大量的临床实验表明,典型的单纯性囊肿超声图像表现为内部为无回声或仅有少量低水平回声, 囊壁薄, 边缘光滑、整齐, 后壁回声增强。注意了,若囊肿合并感染或出血, 则囊内可出现弥漫性中、低水平回声, 有时底部可有分层现象, 囊壁也可增厚边缘不规则。
●虽说CT、磁共振等影像学检查方法也可显示肝囊肿的结构, 但相比之下, 其实还是超声来得更简单方便、费用低, 也容易被老百姓接受。此外, 超声对肝囊肿的敏感性也很高, 可显示肝内小至2 mm的囊肿,超声还可在对肝囊肿进行定性评价的基础上, 精确地估算囊肿的大小、形态及位置等, 从而对囊肿进行分级,故而这就是我推荐B超检查的理由。

发现有肝囊肿,该如何科学应对?
●在临床上一般囊肿直径<5cm的无症状的患者,是不需特殊治疗。只需要定期比如隔个半年一年复查一下即可,很多人不放心多年复查下来其实大小还是差不多,这其实也就体现了它是“良性病变”的特点,否则如果是恶性的那生长速度往往是非常之快的。那么对于直径5-10cm的单发囊肿,需视病情而定,毕竟直径>5cm长在肚子里也算比较大了,有些人这时候会合并上腹部慢性疼痛及上腹部压迫症状,这种情况的话可考虑手术,但是对于无任何症状者,我还是不建议去处理,继续观察即可。注意了,对于囊肿直径大于10cm,而且有上腹部压迫症状,可在腹部触及包块,这就是手术治疗的指征了。
●此外,如果伴有囊内出血,并发感染或者怀疑肿瘤性囊肿时也应该考虑手术。有的人一听要手术又犯嘀咕了,能不能不手术只吃药就把囊肿消掉呢?我告诉大家,并没有。对于囊肿的处理,手术是肝囊肿的传统治疗方法, 如开腹囊肿开窗术、腹腔镜肝囊肿开窗术、囊肿引流术及囊肿切除术。像近些年兴起的超声引导下经皮肝囊肿穿刺硬化治疗也非常不错,它的原理其实非常简单,就是应用硬化剂使囊壁上皮细胞蛋白凝固变性, 细胞破坏, 不再分泌囊液, 并产生局部的无菌性炎症使囊壁粘连, 纤维组织增生, 从而导致囊腔闭合、囊肿消失。当然了,具体选择哪种方式,还得主治医师根据你囊肿的具体情况具体分析。

综合总结
B超发现肝囊肿,不要害怕,更不要病急乱投医,这不是什么大毛病,也不是什么癌变的征兆,它就是临床上常见的肝脏良性疾病,总结起来就是这么几个特点:①肝囊肿大多是先天性的 ②肝囊肿一般不会恶变③大多数肝囊肿无症状④诊断主要靠B超⑤多数肝囊肿不需治疗⑥特殊情况需及时处理。

作者寄语:本文是笔者综合数小时时间参考国内外文献资料结合自己临床经验综合总结而成,不加入专栏收费,无偿、免费地让大家阅读。愿对那些受到谣言误导、没有医学知识、没有健康保健观念的群体有所帮助。头条是一个开放的平台,每个人都可以互相学习,互相探讨,如有不同观点可在评论区谈谈自己的看法。如果觉得学到了有帮助,不要吝啬,献个爱心,点个赞,转发一下帮助更多人,感谢支持。#埋头加班苦了肝#