
今年的新冠疫情,
大概是有史以来最“高科技”的一次抗疫战斗:
科学家第一次用基因检测的方法,最快定位了病毒,
5G和大数据,随时可以精准追踪病毒的流动,
算法辅助医生看CT片,
10分钟的诊断时间变2秒,
机器人送药、送饭、做消杀,
线上诊疗让患者无需与医生面对面……
“互联网+”的风*吹潮**了好几年,
终于全面吹到了医疗行业。

现在国内疫情逐渐平息,
很多人好奇,这些“黑科技”究竟是什么?
疫情过后,它们会彻底改变我们的生活吗?
抑或只是个昙花一现的噱头?
一条采访了奋战在“医疗AI”一线的5个人,
有程序员、工程师、主任医师、社区医生……
他们亲历了这场“AI抗疫”的战斗,
同时也提醒我们,
智慧医疗最后还是为人服务的:
“科技应该让人离人更近
而不是让人离机器更近。”
编辑 罗广彦 石鸣


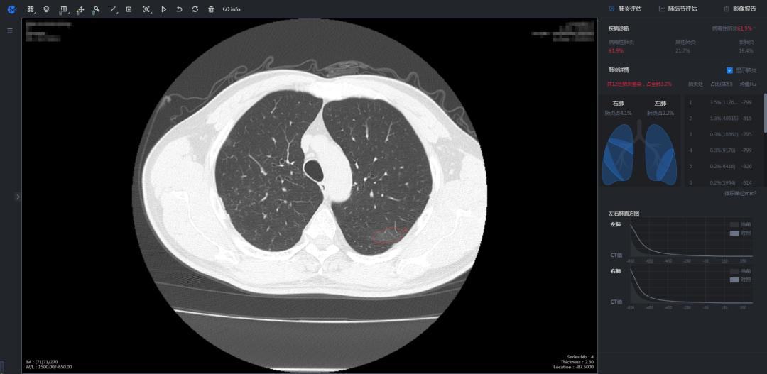
医生肉眼阅片要5-15分钟,我们的AI只要2秒
魏东 腾讯天衍实验室 研究员
我是2018年9月加入腾讯天衍实验室的,主攻医疗AI影像分析的算法研制。简单地说,就是让计算机看数以千计的图像,并告诉它哪些图像中的器官是正常,哪些是有问题的,问题在哪里。经过足够多的学习之后,它自己就能判断图像中的器官是否正常。
这个技术2017年以来就在飞速发展,用于诊断心血管疾病、眼部疾病和肺炎等等。
新冠肺炎疫情爆发后,我们实验室一直在关注疫情的发展,但苦于无用武之地。直到2月5日,湖北省宣布把CT结果也纳入诊断标准,疑似病例只要拍CT有新冠肺炎肺部病变的特征,就能获得确诊。

腾讯AI诊断输出图
我们当时都隔离在家放假,听到这个消息,大家马上在线上组织了一个团队,开始研制新冠肺炎CT影像的AI诊断模型。因为不能面对面沟通,而且时间很紧,我们压力还是很大的。
一开始遇到的最大问题就是数据不够,AI就像一个学生,要让它精确地识别疾病,就需要看很多肺部图像才能学会判断能力。我们当时从全国各地的合作医院取得了一些新冠肺炎的数据,但还是不够。
所以我们决定,先让AI学习其他肺炎的数据,看了可能有上千例。在它见过这些肺炎数据之后,就有一个整体的肺炎知识积累,知道哪些是得了肺炎的肺部图像,哪些不是。

我们在算法上再进行调整,给AI一点“提示”,告诉它新冠肺炎跟它见过的肺炎图像不同的地方。这样它就能在图像中捕捉到新冠肺炎的特征,对病人作出诊断。
因为疫情紧急,我们这次进度非常赶,10天左右就调试好算法,2月21日就已经在武汉日海方舱医院部署好了。
投入使用后,医护人员给的反馈都非常理想,因为阅片不用那么累了。当时医生阅读、分析CT影像的压力非常大,临床诊断标准改变以后,每日新增确诊病例暴涨将近十倍,每位患者做一次胸部CT,会产生300张影像,每次医生肉眼阅片要耗费5-15分钟。
已经确诊的治疗期患者,每5天也要做一次CT检查,当时整个湖北省累计超过6万例确诊患者。
AI最快两秒钟就能判断出这个人是否得了肺炎,他得的肺炎是不是新冠肺炎。如果AI判断这个人是新冠肺炎,它还会在CT影像中圈出标示出病灶,告诉医生它判断的依据,标示的过程最多需要一分钟。

AI的判断不能直接作为医疗诊断的依据,但是可以为医生提供参考,大大提高了诊断效率。
有些医生刚用的时候,担心AI的准确率。但根据我们的研究,我们的AI模型比浅资历的医生诊断准确率高。而且随着病例数据越来越多,我们会不断训练、调整算法,让它的准确率不断上升。
在湖北的时候,我们遇到一个疑似新冠肺炎的患者,这个病人的CT影像显示,他肺部病灶很大,看起来很像新冠肺炎,基层医院的医生都说,这应该就是了。但有个比较资深的医生觉得不是。
然后我们的算法判断也说,这个病例不是新冠肺炎。最后诊断出来,这个病人是肺水肿。所以说我们模型的鉴别能力还是挺强的。
用AI看CT结果,应该说是智慧医疗目前发展最成熟的部分。因为这部分具有很客观的衡量指标,越是客观、越少人为因素参与其中的工作,算法就能表现得比人工更好。

之前消毒机器人卖不动,这次疫情却火上央视
殷超 钛米机器人 技术市场经理
2018年是智慧医疗站上风口的一年,那时候我觉得,智慧医疗肯定要有机器人吧,于是就决定加入钛米机器人了。我们主要生产的机器人种类有:消毒机器人、物资配送机器人和导引机器人。
我们公司很早就发现新冠肺炎疫情爆发了,因为我们有很多医院客户在武汉,每个客户都有销售负责跟进。
1月中旬,销售们发现,本来这个医院只买了一台消毒机器人,专门用在手术室,结果却经常有别的科室来借机器人用,感染科要借来消毒,ICU又要借来消毒。我们马上就意识这次疫情很严重。

钛米机器人在新冠抗疫一线工作
在1月20日,钛米就已经配置好工程师队伍,准备调集机器人直接送往武汉。但在这个时间点,又是春运,又是疫情,物流交通反而成了最让我们头疼的问题。我们去联系物流公司,他们根本不接你的单。
机器人制造非常依赖上游的供应商,如果你要出货的话,一定需要原材料源源不断地供应。有一种原材料供应不上,最后这个机器人就不完整,没法运作。机器人组装好之后,还要将机器人运往武汉,这些都需要顺畅的物流交通。
这种情况下,我们当时就将仓库里的原材料全部拉出来,确认目前我们能组装多少机器人。然后自己组织车辆和人手,规划货物和工程师的运输线路,将机器人押运过去。我们将第一批10台消毒机器人送到武汉协和医院的时候,是1月21日凌晨两点。

消毒机器人在工作
送到医院之后,剩下的工作就很简单了。我们的工程师会开始扫地图,就是让机器人识别周围的环境。像我们人类到一个陌生的地方,要先熟悉环境,我要看一眼周围,知道桌子在这,板凳在那,下次走路我就会避开。
机器人也是一样,它会把所有的空间走一遍,然后自主学习,知道这是个桌子,这个桌子在消毒的时候,需要重点照顾。在扫完地图之后,工程师就可以离开,让机器人自己消毒。
有人可能觉得,这种机器人有什么特别的?我家的扫地机器人都能做到。但在医院里,对安全和清洁的要求,比酒店、餐厅,或是工厂的标准都要高得多。
比如说,在手术室里用机器人消毒。我们的手机进了手术室,哪怕满格的信号,电话都打不出去。机器人在里面,如果用传统的GPS导航和传统的避障算法,就很容易发生碰撞,那就要出大问题。所以医疗机器人会有独特的算法,保证它们的平稳性与避障能力。

在方舱医院的物资配送机器人
在疫情之前,医院其实更喜欢买我们的物资配送机器人。因为他们之前觉得消毒用人工消毒或是紫外线消毒就行了,为什么要花大钱去买消毒机器人?但这次他们发现这两种消毒方式都没法彻底,而且人工消毒,会面临暴露的危险。
我们的消毒机器人在设计之初,就是按照人机分离的设计理念去做的。不需要人在现场,机器人自己就可以把该消毒的地方消毒好了之后,人再进去。
那时候武汉的疫情特别严重,医院消毒特别频繁,本来一台消毒机器人只用消毒4楼的手术室,现在不仅要消毒整层楼,还要把这栋楼都消毒一遍,有时候还要搬到隔壁楼去用。除了消毒医院,也会给医护人员的办公室和宿舍消毒。
当时他们医护人员的家属中有个小朋友,画画的时候就把我们的消毒机器人“大白”画了进去,因为他觉得我们的机器人在守护他们的安全。我们看到之后都很感动,觉得自己的工作是有意义的。

小朋友画的钛米机器人“大白”
我们的线上诊疗,服务了武汉十分之一的重症患者
郝南 NCP(新冠)生命支援网络发起人
“NCP(新冠)生命支援网络”是一个线上诊疗的项目,我是1月22日晚上起心动念想做的。那时候收到信息说武汉医院已经不够用了,医生也不够用了。但你不可能让生病的人不去医院啊,那生了病、却看不上病的人怎么办?
我之前在北大医院当过7年医生,1月23日,我就在北大校友群里发行动倡议,最后招到了400多个医务工作者,包括医生、护士和医学生。我还联系了合作多年的一个心理关怀团队,招收了一些志愿者当“小天使”,给线上问诊的人提供心理关怀辅导。
我们和其他线上诊疗平台很不一样,在它们那里,病人打进来问诊完了之后就结束了。我们希望能够做到诊疗与关怀并重,所以我们把微信群分级别,搞的是和现实医院一样的三线。

分门别类地处理患者信息
一线就相当于门诊。你进到这里来之前,会先有志愿者跟你打招呼,让你填表格,问你哪里不舒服,有什么症状,是否严重。根据你填表的情况,判断你应该去哪个科室,等于是一个分诊台。
在一线的门诊群,医生会在微信上为病人答疑解惑。区别就是这些患者问完了以后不走,留在群里,他有什么新的问题,可以继续问,保持和大夫的联系,而不是不停地换不同人看诊。
如果病人病情变重了,或者我们发现他的问题没法解决,我们就会把它转到二线。二线群里的医生都是更高级别的大夫,这些资深的医生会在线上持续关注病人的状况。
如果是病得很重,有生命危险的病人,我们就把他转到三线的群里去。三线就相当于重症监护室,在这个群里,都是几个医生围着一个病人转。

随着患者的增加,不断招募和储备医生
这样的设置如果放在线下,会需要很大的空间,而且服务到的人不会很多。在线下,就算病人能进到医院里,也看不到医生几眼。
这是线上诊疗最大的优势:它能够最大化医疗资源的利用。线上的大夫可以远程看十几个病房,在不同的群里同时关注很多病人的状况。
我们最核心的几个大夫经常一边去户外出诊,一边在我们的二、三线病房指导危重患者的抢救,这样并没有超出他们的负荷。让我们用不多的资源,服务到最多的人。
那时候大部分来咨询的人,咨询的都是新冠肺炎,但也有咨询其他病的,所以我们配备了各个科室的大夫。

NCP生命支援制作的物资无接触发放流程
我当过医生,我知道医生在线上看病时是很不耐烦的。线上诊疗隔着屏幕,视频画质也不好,有时候,就算从医生那里得到了专业意见,病人还是会体验不好,甚至心理崩溃。
所以我们有专门的社工志愿者提供陪伴和关怀,在线对一些个案进行一对一的心理辅导。我遇到一个个案,他父母都在这次疫情去世了,他自己也患了新冠肺炎,我就一直跟进他的状况,对他进行心理辅导。
从我开始做这个项目,到方舱医院在2月5日到位之前,这中间10天左右的时间,是我们工作最紧张的时候。我们大概估算了一下,我们直接或间接地服务过武汉市当时差不多十分之一的重症患者。

获得救助的患者家属发来感谢的消息
以我们现在的科技水平,其实完全可以让医生的工作更轻松,对接足够的社工资源,让医患关系更多地变成人和人之间的关系,而不是仅仅止于人和机器的交流。
老百姓很简单,对智慧医疗只有三个要求:有帮助,好操作,有配套服务
潘向东 上海市“十佳家庭医生”
我是长宁区虹桥街道的社区医生。很多人会觉得,你不就是坐社区医院里开药的吗?实际上,看门诊只是我其中一项工作,我还要负责辖区内基本的公共卫生管理,比如追踪高血压、糖尿病这种慢性病患者状况,防控传染病等等。
1月28日我们就接到命令要提前开工,防控疫情。那个时候湖北的疫情已经爆发了,上海从大年夜开始就组织医疗队支援湖北,我们社区要防止后院失火,还要保证日常工作的正常开展,满足社区内慢性病患者的健康需求。
我所在的社区,有1600个糖尿病患者。我们每个月都要对这些病人进行随访,监测他们的血糖。每三个月还要做一次糖化血红蛋白的测量,根据他们的病况调整用药。

测量血糖
这次新冠肺炎来了以后,很多老人因为怕感染,都不敢出门了。以前他可能每个礼拜都会到我这边来一次,我每次就会像敲木鱼一样,不停和他说糖尿病的注意事项,一直给他敲好,血糖基本上就都很稳定。
现在全乱掉了,老人本来就困在家里没法运动,饮食可能也不太注意。我们医生又没办法远程监测,他们现在的血糖水平就控制得好差。
我之*考前**虑过引进一些便携式的测血糖设备。当时接触的是一种像贴纸一样的仪器。贴上去以后,14天内你不管洗澡也好、游泳也好、健身也好,它都不会受影响,你可以拿扫描仪实时监测自己的血糖情况。
我自己感受了一次,觉得这种便携式设备最大的影响就是会改变你的生活方式。因为戴着这个仪器,我脑子里随时随地会想到自己的血糖。那段时间,我喝完一杯咖啡,也会用扫描仪测一下,看看我的血糖波动是多少。我那时候发现,自己夜间的血糖会有会比较明显的波动,我就会真的开始注意自己晚饭的饮食。

便携式贴纸,可以随时监测血糖数值
但我后来发现,很多患者不想使用这种智能化的便携式设备。一方面,这些患者大部分是老人,他们都比较保守,觉得这些设备还很陌生,而且还需要他们自己花钱购买,他们感觉不到直观的好处,就会拒绝使用或者中途弃用。
另一方面,这些便携式设备的数据,按照法律规定,目前还只能给社区医生当诊断参考,不能作为诊断标准。
其实老百姓很简单,想要普及智慧医疗的设备,满足三个条件就行了:第一要对我要有帮助,第二要好操作,第三要有配套的医疗服务。
我觉得,如果监测血糖的便携式设备可以自上至下得到普及的话,社区医生对慢性病患者的管理会更有效。

现在,每个患者我都是线下人工去追踪关注,一个一个上门随访,确认他有没有问题,要花很多无用功。随着老龄化的发展,我们需要关注和管理的慢性病患者越来越多,完全靠医务人员人力去一个个覆盖,其实是不现实的。
未来,如果采用智能设备,患者的数据可以远程上传,医生这边统一监控,有异常的患者先由机器筛一轮,推送给我,我一个人可以管100个人,成本很低,效率也会更高。有需求的患者就能更及时地得到医疗帮助。


智慧医疗不是突然冒出来的“黑科技”,它已经蛰伏了几十年。
上个世纪五十年代,人工智能刚刚被发明出来不久,就被应用在医疗领域。但是直到2006年,神经网络深度学习的算法被发明出来以后,AI的学习能力才开始发生质的飞跃。十年后,Alpha Go打败李世石,人工智能的议题在全球大热,医疗AI又一次成为焦点。
2016年这一年,被称为国内“AI医疗投资元年”。27家企业在这一年融资,其中16家企业融资金额在千万元以上。2017、2018年,国内AI医疗行业公布的融资事件近30起,在医疗影像诊断领域的融资总额达到1.42亿美元,根据毕马威的数据,这个融资规模相当于同期该行业全球投资的四分之一。
然而,2018年以来,许多医疗AI企业的产品在实际应用中都碰上了落地变现的难题,“只烧钱不赚钱”,到2019年底,医疗AI已经步入寒冬,等待洗牌。
2020年初爆发的新冠肺炎疫情,被认为加速了这个洗牌过程。

人类可能错过的东西,AI不会
在这次新冠肺炎疫情中,阿里达摩院研发的AI+CT影像诊断技术,平均识别不到 20 秒,准确率达 96%。
影领科技、推想科技、深睿医疗等公司,也都纷纷推出了针对新冠肺炎的CT影像AI筛查产品。武汉市中心医院使用了数坤科技的AI辅助诊断系统,能够快速读取胸片,2到3秒内识别炎性病灶,医院影像科主任王翔说,这一系统“为医生提升了50%的工作效率”。
事实上,AI医学影像,被公认是目前最成熟,也是最有可能率先实现商业化的医疗AI产品。几千份病例的数据,就可以开发出一套准确率相对较高的诊断产品。
2019年,国内从事医疗AI的企业有140多家,其中将近120家都在做医学影像业务,约100家企业在做肺结节影像产品。
疫情爆发前,国内影像医生资源已经处于严重短缺中:每年全国放射科门诊量的年增长率是30%,但是影像科医生的数量年增长率仅为4.1%。

根据乐晴智库的数据,中国每年的影像误诊人数约为5700万。此外,患者拍片常年需排队预约。
疫情突然爆发,给一线的影像医生带来两个巨大的挑战:一是阅片量激增,大量都是高强度的重复性体力劳动,二是基层医院设备不足,医生经验和素质参差不齐。这两点都会导致误诊和漏诊。
武汉市金银潭医院放射科主任樊艳青说:“我时刻提醒自己,告诉自己不要流泪,因为眼睛要用来看海量的CT和X光片子。”
按照疫情最严重时的状况,湖北省每天新增1万多名疑似患者,他们的CT片总计超过数百万张。与此同时,还有几万名确诊患者的复查需求,据估计,一线的阅片医生们每天的工作量达到500万张。

机器人分析X射线脑层析成像
AI可以解决医生们的燃眉之急。
中国工程院院士潘云鹤说,目前用于分析胸片的AI模型,对肺癌的检测率达到了98%以上,远远高于人工。
浙江大学邵逸夫医院用AI分析角膜炎图像,准确率已经超过80%,比参与测试96%的医生都更加精准。
3月16日,微软研究院、美国国立卫生研究院与白宫科学技术办公室等机构联合发布了COVID-19开放获取数据库,人们开始用AI挖掘学术论文之间的联系。
AI会比训练有素的学者更快地理解论文内容,追踪目前疫情最关键的问题的一些答案:新冠病毒是怎么传播的?我们对它的起源和进化了解多少?我们要如何制造疫苗与特效药?
美国联邦的首席技术官迈克尔·克拉希欧斯对媒体说:人类可能错过的东西,AI不会。
当AI误诊时,我们怎么办?
尽管AI诊断的准确率很高,达到了96%,甚至99%,但是仍然存在1%或者4%的失误。
统计学上的一个数字,落到个人头上就是一座山。一旦发生,谁来为这个失误负责?

2018年7月3日《日本经济新闻》报道,由于AI存在误诊的可能,日本厚生劳动省把AI医疗设备定位为辅助医生进行诊断的设备,规定诊断的最终责任,由医生承担。
《英国医学杂志》(BMJ) 的研究人员最近警告说,“许多研究和媒体声称人工智能在解释医学图像方面达到与人类专家一样的水平,甚至比专家还好,但实际上 AI 的质量很差,而且被夸大了,这对患者的安全构成了风险。”
伦敦帝国理工学院的研究人员发现,在一项AI临床诊断准确率的研究中,350名中国白内障患者参与实验,有一些人是AI诊断,有一些人是专家诊断。AI诊断的平均时间比专家的诊断速度快,但是准确率为87%,而专家医生的准确率达到99%。
AI就像一个孩子,需要成长,它的表现,与它能够获取的“食物”的质量有关,那就是数据。

我们生成和共享数据的速度在迅速增加,据IDC(国际数据公司)的预测,到2020年,全世界医疗数据总量将达到40万亿GB,是2010年的30倍。
但是,这其中有80%的数据,是非结构化数据。它们藏在医院的病例资料里,藏在海量的影像片子中,没有被适当地量化,也就不能被AI提取、识别和处理。
2020年初,诺华制药的首席执行官Vas Narasimhan解释了数据如何成为医疗AI的研发痛点:“我们学到的第一件事是,拥有出色的数据来实际建立机器学习的重要性。我们不得不花费大部分时间来整理数据集,然后才能运行这个算法。”他认为,我们低估了现有的高质量数据有多么少,整理和链接数据的难度有多高。
在国内,目前医疗保健行业的数据处于分散状态。医院是医疗数据的最大生产机构,但是现实中,没有哪家医院愿意无偿把医疗数据共享出来。另一方面,这些数据也涉及到患者隐私。
国内的AI医疗创业公司需要病人的数据来训练AI、让AI学习时,只能挨家和各个医院去谈,这样就产生了很多“灰色地带”。
中华医学会放射学分会主任刘士远曾建议,如果能以政府出面牵头,在一个省的范围内建一个大的数据中心,将该省所有医院的数据汇总使用,未来可能将更加合法有效地推动医疗AI的发展。

医疗是人和人的关系,不是人和机器的关系
这次AI抗疫,另外两个亮眼的应用是医疗机器人和线上诊疗。
在上海儿童医学中心,机器人“小白”上岗,在防护资源不足的情况下,减少医生和患者面对面沟通的频率,降低了医患交叉感染风险。
火神山、雷神山医院,也都用上了智能递送机器人,能够根据医院的需求,递送化验单、药品,给患者送饭。
扫地机器人,长得完全不像人也没问题。但是用在医院里的机器人,除了它正常履行功能之外,我们似乎总是期待它能更多地模拟人的外形,像人的样子。

这与患者的心理有关。中国陆军军医大学的研究人员,近期进行了一项“患者对人工智能医疗的认知及信任度”调查,发现对人工智能应用于临床医疗,患者接受度和信任度最高的是医疗后勤环节,其次为医患接触较少的医疗辅助环节。
在做手术等医疗核心环节,人工智能介入的工作越多,占据角色越重,患者接受度和信任度越低。

在生死攸关的时候,我们还是倾向于信任我们的同类,而不是看起来有些冰冷的AI。
复旦大学附属华山医院内分泌科副主任医师吴晞告诉我们,他们科室现在就在用AI分析糖尿病视网病变的图像。他认为,AI完全有能力取代人类医生下诊断。这是由医学的本质决定的。
“不同医生根据某些症状一定能得出相同的诊断,除非有些症状被忽略了。既然人和人能做出一样的诊断,人和AI做不是一样的吗?AI会更灵敏仔细,犯错的概率更小。”
今年2月,《自然》杂志报道了一种最新的抽血机器人。抽血总成功率为87%,对于静脉清晰的受试者来说,成功率为97%。这个结果,可以说优于大部分人类护士。

摄影:Miriam Dörr
“我们以后的工作,可能就是和AI合作,不是去研究怎么战胜疾病,而是去搞清楚什么是病,什么是病人,什么是健康。”
疫情期间,线上诊疗的几个大平台,流量都呈爆发式增长:平安好医生在疫情期平台访问量11亿人次,新增用户日均访问量是平时的9倍,新用户注册量增长了10倍。
春雨医生在开通新冠肺炎义诊后,武汉及其周边地区患者提问量跟之前相比增长了10倍。丁香园的在线问诊平台,单日问诊量的增幅超过300%。
在线上平台上回应这些患者的,是一个个活生生的人。平安好医生的自有医疗团队,截止到2019年12月31日,是1409人。丁香园的APP上,疫情期间在线的活跃医生超过1.5万人。

NCP生命网络的发起人郝南说,关怀有时候比医疗帮助本身更重要。美国首个研究肺结核的实验室的创办者、医学家爱德华·特鲁多留下了一句至今为医学界尊崇的名言:“有时治愈,常常关怀,总是安慰”。
医疗AI的发展,也许未来将让我们更加靠近医学的本质:促进人和人之间的关系,而不是人和机器之间的关系。让我们拭目以待。