很多人体检做腹部彩超或CT检查肝脏,结果提示:肝脏囊肿。然后拿着报告单跑来问:医生医生,肝囊肿是什么?会不会是肿瘤哦?要不要手术?今天,刘医生就带大家全面认识一下肝囊肿。

一、什么是肝囊肿?
肝囊肿是非常常见的肝脏良性病变,类似于发生于体表的水泡。分为寄生虫性和非寄生虫性肝囊肿。后者又可以分为先天性、创伤性、炎症性和肿瘤性囊肿。平时我们大部分人的肝囊肿多数为先天性的肝囊肿,它又可以分为单发性和多发性两种,后者又称之为多囊肝。

二、肝囊肿都有哪些特点?
单发性的肝囊肿以20-50岁年龄组比较多见,男女发生率大约为1:4。囊肿发生于肝右叶居多。囊肿小的直径仅数毫米,大的含液量可以大于500ml,从而占据整个肝叶。先天性的肝囊肿生长缓慢,小的囊肿不引起任何的症状,常常都是我们在体检中发现。囊肿增大到一定程度,则可因压迫邻近脏器而出现食后饱胀,恶心、呕吐、右上腹隐痛不适等症状。体格检查可能触及右上腹肿块和肝肿大。肿块和肝脏相连,表面光滑,无明显压痛而可以随呼吸上下移动。

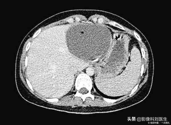
三、肝囊肿如何诊断?
1、B超检查。超声检查是诊断肝囊肿的首选方法。主要表现为肝实质内出现单个或多个圆形或类圆形的无回声区,壁薄,边缘光整,彩色多普勒检查病灶内部没有血流信号。

2、CT检查。CT平扫一般显示为肝实质内圆形的低密度影,边缘锐利,境界清楚,囊内密度均匀,一般CT值约0-20HU。增强扫描后病灶没有明显强化,在周围强化的肝实质的衬托下,囊肿边界更加清晰。

3、磁共振(MRI)检查。磁共振表现为T1呈低信号影,T2呈高信号影,边界清晰,增强没有明显强化。
四、发现肝囊肿如何处理?
对于小的肝囊肿并且没有任何症状的,不需要做特殊处理。而对于大而出现了症状的,应该给予适当的治疗。比较常用的方法有:在B超引导下囊肿穿刺抽液术。囊肿“开窗术”或者“去顶术”。而囊肿切除术则适用于位于肝脏边缘位置,带蒂突向腹腔的囊肿。总而言之,对于较大的肝囊肿的处理方式,需要根据具体情况具体分析,建议到医院咨询专科医生,选择最佳的治疗方法。

总结:体检发现肝囊肿,不必过度惊慌和紧张,如果比较小同时自己也没有任何症状,则不需要特殊处理,定期随访复查就行。对于比较大且有症状的,及时找专科医生对症处理。
有疑问欢迎下方留言,大家共同探讨。
我是影像科刘医生,专注分享医学、健康方面相关知识,如果您觉得文章不错,欢迎转发、点赞或加个关注,我会定期更新医学健康方面相关知识,共同进步。
(部分图片来源于网络)