腹主动脉瘤是一种困扰老年社会的血管外科疾病,其发病隐匿,经常直到破裂前才出现症状,主要是腹部或腰背部的疼痛,可以伴有昏厥,而一旦破裂许多患者没有机会到达医院。历史上一些名人因此病而失去生命,最著名的有爱因斯坦、戴高乐和李四光。但在他们那个年代,血管外科还没有得到发展,人工血管也没有,当年爱因斯坦的主治医生,只能拿包裹糖果的玻璃纸包在动脉瘤外面。爱因斯坦很幸运,又生存了7年,其他人就没那么幸运了。

图1.破裂的腹主动脉瘤
后来出现了手术置换腹主动脉的技术,但主动脉是人体内最粗的动脉,这么粗的血管出了问题,人体自身没有合适的替代材料,曾经有人用同种异体的主动脉作为置换材料,但无法满足临床需求,直到人工血管的出现,使这种手术得以推广。但开刀手术创伤较大,术中出血较多,恢复较慢。而且腹主动脉瘤经常破裂之前没有症状,一旦破裂后,即便到达医院,接受外科治疗,死亡率也高达80%。其手术需要医院有强大的综合能力,国内一般只有大医院有能力开展。
从二十世纪八、九十年*开代**始,腔内覆膜支架植入作为腹主动脉瘤的治疗方案逐渐在全世界推广。这一技术是用支架把人工血管支撑在动脉瘤两端的正常血管段,在动脉瘤内重建正常口径的血流通道。这种技术可以把带人造血管的支架压缩在一个圆珠笔杆粗细的管道内,通过大腿根的股动脉,送入体内,在预定位置张开支架。由于术中不需要广泛解剖,可以采用局麻经过腹股沟切口或直接穿刺完成治疗。由于其微创,安全的特点和不高的技术门槛,目前腔内技术已经在一些基层医院得以推广。在更多患者受益的同时,这一技术的特有的并发症累积的数量也逐渐积累、增加,其中最主要的是内漏问题。所谓内漏就是指有持续性血流进入动脉瘤囊内,会导致瘤腔不缩小,甚至继续扩张,部分患者还可以破裂。

图2.腔内治疗独特的并发症——内漏
腹主动脉瘤腔内隔绝术和开放手术相比,都是重建了血流通道,但是靠支架外撑的力量将人工血管固定在瘤体两端相对正常的血管,而且没有结扎腰动脉和肠系膜下动脉以及骶正中动脉等分支,其独特的并发症的产生和两端固定方式以及术中省略了分支的结扎有关,其中II型内漏就是肠系膜下动脉或腰动脉这些分支血流逆流进入瘤腔。
对II型内漏的处理目前国内都是采用腔内的方式,比如,经过肠系膜上动脉-结肠中动脉-边缘弓-Riolan氏弓-左结肠动脉-肠系膜下动脉,这条路非常迂曲,漫长,到达肠系膜下动脉起始部就可以填塞弹簧圈。去年底,曾经有个病例,由于器材长度不够,而眼睁睁看着,处理不了。

图3.经过漫长的通路到达肠系膜下动脉起始部进行栓塞

图4.由于路径扭曲,器械长度不足以到达肠系膜下动脉起始部
对这个困扰血管外科界的问题,有文献报告腹主动脉瘤腔内治疗后II型内漏的发生率可以高达25-30%,因此有大量的患者需要进一步的治疗。对此我们一直在积极寻找结决的办法,经过长期的积累和思考,血管外科张学民、张韬、李伟浩团队拟定出了几套不同以往的方案。既然腔内不好处理,我们有没有可能从腔外处理呢?几年前,我院妇科做腹腔镜的过程中曾经在血管外科的配合下处理过一个髂内动脉瘤。在多次科室交流过程中,我们确认肠系膜下动脉是可以通过腔镜显露结扎的,那么腰动脉行不行呢?在这方面,泌尿外科经常做后腹膜的腔镜手术,经过交流,我们认为技术上显露腹主动脉后壁的腰动脉是行得通的。
正好最近一例腔内治疗的腹主动脉瘤术后瘤体还在继续增大,我们组织了包括影像、介入、泌尿、普通外科的多科室联合会诊,影像科和介入科的帮助下,我们仔细分析了各个腰动脉和肠系膜下动脉的空间位置关系,术前和泌尿科经过反复的技术细节的讨论,为患者制定了腔镜下的肠系膜下动脉和腰动脉以及骶正中动脉结扎术的方案。
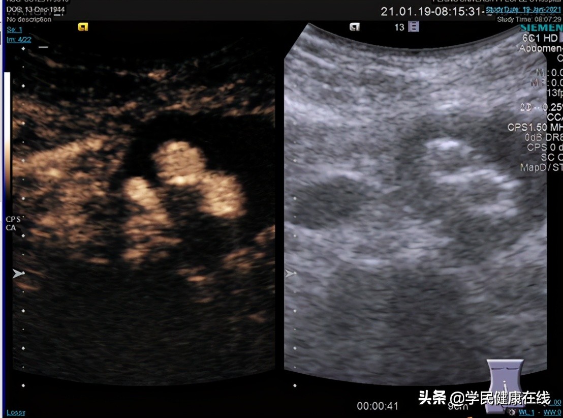
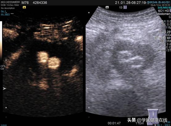
2021年1月22日,在手麻科和泌尿外科叶雄俊、刘军医生的帮助下,我们两个科室合作完成了全国首例腹腔镜下EVAR术后II型内漏的处理,术中根据术前的影像分析,很快定位到肠系膜下动脉和两对腰动脉,一根骶正中动脉,分别夹闭切断。术前充分的准备,术中没有意外发生,手术顺利完成。术后复查超声造影,证实已无造影剂漏入瘤囊。

图5. 术前超声造影,可见后壁有造影剂进入

图6. 术后造影,已无明显造影剂进入瘤囊

图7.参与手术的部分团队成员
这例手术的成功开展,打开了一扇窗,从一种全新的角度,给这种困扰患者和医生的腔内手术并发症指出了根治性的方向,是一种开拓性的应用,未来还会在此基础上衍生出各种影像和手术技术造福患者。

张学民主任 专家门诊时间:每周一下午
擅长:主动脉瘤主动脉夹层和下肢动脉疾病的诊断和治疗,内脏血管疾病和疑难病例的诊断治疗,血管瘤和血管畸形的治疗,肿瘤侵犯血管的手术治疗