近日,烟台海港医院骨外一科团队在科室主任、主任医师孙波的带领下,成功实施了我院首例PFBN手术。术中采取微创小切口,出血量少,仅用1小时完成手术。



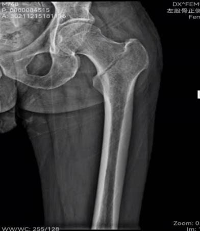
患者,48岁,有脑梗死后遗症且左侧肢体偏瘫,在家走路时不慎摔倒致左髋关节疼痛、活动受限入院。入院后查左侧髋关节X线片示:左股骨粗隆间骨折。骨外一科医疗团队在孙波主任主持下行病例讨论,并制定手术方案,决定行左股骨粗隆间骨折闭合复位内固定术(PFBN)。
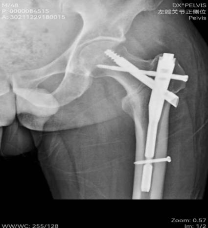
通过医护加强多模式镇痛及快速康复技术,术后第2天,患者即可下地站立,在医护人员的帮助下,患者下地部分负重行走;术后13天顺利出院,患者及家属对医护人员表示由衷的感谢。术后复查X线片:骨折对位及内固定位置良好。

医疗器械的发展,引领骨科技术的发展。PFBN是基于骨科大师张英泽院士三角稳定架构的原创专利和北京大学张殿英教授提出的杠杆平衡重建理论基础上,共同研发而成,为股骨转子间骨折的治疗开辟了一条新的道路,具有划时代的意义。在烟台市卫健委和区卫健局的大力支持下,“张英泽院士骨科技术推广基地”已于2022年1月正式落户烟台海港医院。张院士每月来我院进行一次查房、坐诊、指导疑难手术、协助科研教学以及推广运用团队的管理理论和科研成果,今后将进一步助推海港医院骨科专业技术水平再上新台阶。