#寻找真知派# #心脑血管疾病的预防# #血管造影#
现今脑血管造影(DSA)作为脑血管检查的“金标准”,已经越来越多的应用于脑血管疾病的检查、诊断和治疗。
一般县级以上的中心医院都在开展脑血管造影这项技术。脑血管造影确实解决了很多脑动脉狭窄、脑动脉瘤、脑动静脉畸形、脑动静脉漏等这些以前很棘手的疾病。
随之而来的就是脑血管造影的并发症,也是逐渐的增多。空气栓塞就是脑血管造影的一种罕见的并发症。

什么是空气栓塞?
空气栓塞是由于血管与气体想通,血管内压力低于气体压力所致。去进入血管,顺着血流导致相应的器官组织缺血。
空气栓塞多见于肺栓塞,空气进入静脉血管后,顺着血流回流至肺,断了肺的血液供应而出现肺栓塞。

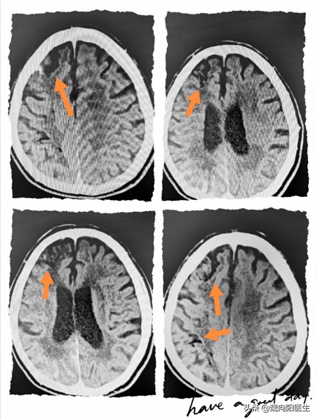
头CT提示:但是右侧 MCA 分布区可见大量散在、低密度病灶,推测为空气栓塞。
脑血管造影一般空气栓塞多见于脑部,一般空气经过动脉导管进入到颈动脉系统或椎动脉系统,进而导致颅内的脑血管血流淤滞;空气阻断了脑细胞与血液的接触,而出现脑细胞的缺血,严重者会出现脑梗死。
发现颅内空气栓塞应该怎么办?
在脑血管造影的过程中,要严密观察患者的症状和体征,如果出现肢体偏瘫、感觉麻木、失语、凝视、癫痫发作等神经功能缺损症状时,一定要及时的检查是否出现血管空气栓塞或血栓形成。

- 如果造影术中发现颅内动脉空气栓塞,建议尽早的导管抽吸空气,减少血管内的空气。
- 必要时可用微导丝轻微的搅动血管,让血液和空气混合,尽可能的让血液进入到空气栓塞的血管部位,减少脑细胞缺血症状。
预防空气栓塞
- 为了预防空气栓塞的可能,在脑血管造影过程中,一定要注意输液管路的空气排空。
- 造影之前和造影过程中一定要时刻检查输液管路和动脉导管是否有破损情况。
- 动脉打药和推进导管是注意检查动脉打药和推进导管室,一定要拧紧外阀!
了解更多,关注魏向阳医生……
(此处已添加医疗卡片,请到*今条头日**客户端查看)