背景
牙齿拥挤不齐想正畸,下颚有俩垂直智齿得先拔除, 04月17日在闵行牙防所拔掉了一颗,费用901.03¥,自费8.7¥。 04月27日在徐汇六院挂号检查要,1300¥+验血400¥,不算药物拍片,放弃。 这么折腾也是想对比一下这些医院的体验,看到不少网友花费就小几百,不知咋定价的。 想去徐汇区牙防所体验一下的,奈何挂不上号,就选了这个附近较近的医院。 徐汇区牙防所公众号每周六上午八点放号,直接卡死,未来一周的号直接都没了。
概述
今天(05月05日)8:15左右 直接到现场挂号,等几分钟叫到我就过去拔掉了,全程可能不到20分钟。 挂号10¥,拔牙费用400¥,拍片费40¥(我没拍,用医保必须付这一项,自费可免)
院址
地址: 闵行区虹桥镇 某 医院
资料
身份证、医保卡、医保册(上海市基本医疗保险 - 门急诊就医记录册)

门急诊就医记录册
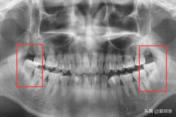
X片

下颚俩垂直阻生智齿

下颚俩垂直阻生智齿
流程
疫情期间牙防所或医院都得先预约,这家我在公众号(好牙)上预约了但是没人联系,昨天打了电话说我如果8:30之前到可以现场挂号安排,晚了的话没有号只能另外预约了。
8:15左右到达,疫情期间需要出示随申码,测体温,门口有贴海报要求随申码、轨迹码等
然后就到前台咨询,挂号,填写一个防疫相关的单子,在口腔科门口等叫号。这次体验感觉态度都挺好的,没遇到让你不爽的,在前台告知说已经拍过片子了,可以不拍的吧,小姐姐说可以的,但是也要收费的,规定拔牙必须拍片子的,自费的话可以不收这个费用。然后指导去挂号,前面就三个人,挺快的,挂号费10元

口腔科咨询台
医疗服务挂号费:1¥,医疗服务诊疗费:9¥,共计:10¥,全医保。

挂号费10¥
等叫号期间,看了下墙上的价目表。

门诊价目表
等了四五分钟吧,小姐姐叫我过去拔牙了,助手和医生态度都挺好的,医生看起来年龄不太年轻,有白头发了,估计得有个六十左右,不过这让我更安心。
进去后,我跟医生说,片子拍过了,拿照片给医生看了,另外也说不需要开药了,上次开的药还剩很多,医生说可以的,态度蛮好的,也没有鄙视我 [笑哭] [捂脸] [尴尬]

拔牙床
开了俩手术申请单,让我去缴费,总共 400+40 = 440¥,全医保,0自费。

阻生牙拔除术手术申请单

曲面体层摄影(颌全景摄影)放射科申请单
拔牙
医生看完我的X片后,让躺下,查看牙齿后,说先给你打点麻药吧,会有点疼,我说嗯。还是那种感觉,没有想象中疼,感觉这次扎了我好几针。完事让我漱漱口,左侧有一杯水,上面有纸巾,在闵行牙防所就没有这些事,直接干。完事坐等四五分钟的样子,问我麻了吗,麻到哪里了。比上次感觉交流多一些,态度好一些,节奏慢一些。
然后开始拔牙,用一个螺丝刀样子的锥子开始撬,比上次花费的时间应该多两三倍。从开始拔到拔除估计得有 五分钟,牙齿有点大,不太好拔,没有上锤子,到别的房间找来了 钳子 来回活动 最后拔掉了,过程中偶尔有点点小酸,拔掉到是没感觉,上次拔牙过程中没感觉就下来了。看我的牙洞比较大就缝了几针,嘱咐我7-10天后直接过来拆线。补牙要另约时间。
上次也没让我看下我的牙,没太多互动就让我去缴费走人了,咨询补牙、正畸的事就说不能做补牙,正畸要问正畸医生。
拔完牙,这次终于看到了我的智齿,跟了我这么多年第一次看到,你别说,个头挺大,两条腿的。牙是挺脏的,血刺呼啦滴。问我还要吗,我先说不要(这么丑)要他干嘛,又想带回去给媳妇看看,还是要吧,然后牙医助手就给包起来了,然后去付费。


缴费

拔牙+拍片 = 400 + 40 = 440¥
然后,医生嘱咐,7-10天左右直接过来拆线。然后手写了就医记录。

医生在写就医记录
就医记录

就医记录
计划 5月12号后的中午过来拆线。下午好像是13点上班。
总结
对此次拔牙感受挺满意,下次咨询一下正畸的事情,在这里正畸的话,离家近。