(一)急性*丸睾**、附睾炎
临床:
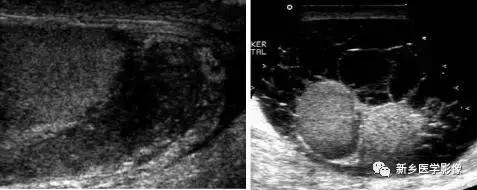
*丸睾**富有血管及淋巴管,具有较强的抗感染能力,因此*丸睾**的单独发炎是不常见的。急性*丸睾**炎常继发于附睾、输精管、精囊及前列腺等的炎症。发病时,一侧或双侧阴囊红肿剧痛,并可向腹股沟区放射,有的伴有全身感染症状。*丸睾**、附睾水肿、增大、质硬。
超声:*丸睾**、附睾不同程度肿大,包膜尚清楚,实质回声增粗、不均匀。出现脓肿时可见低回声肿块呈蜂窝状,边界欠清晰。多数伴有鞘膜积液。部分病例精索增粗,阴囊壁增厚。
CDFI示:*丸睾**、附睾内血流信号明显增多有的*丸睾**血流呈“彩球状”。出现脓肿时血流不丰富,PW:流速加快,阻力降低。
MR:*丸睾**炎T2WI不仅要低信号,增强扫描不均匀强化,合并鞘膜腔积液

(二)*丸睾**、附睾结核
本病大多数继发于泌尿系结核,感染往往由前列腺、精囊开始以后蔓延到输精管,再从输精管管腔或管壁淋巴管蔓延到附睾,在附睾尾部发生病变后再扩展到附睾的其他部分和*丸睾**。
表现为阴囊肿胀,疼痛不明显,病程缓慢,附睾可触及结节,常局限于尾部,冷脓肿可向阴囊壁破溃形成窦道。
*丸睾**、附睾不规则增大,边界欠清晰,内部回声不均,可见钙化强回声,附睾尾部易形成病灶。脓肿形成时,可见细点样回声。脓肿破向鞘膜腔时,于腔内可见大量细点样回声的液体,破向阴囊壁时,可见阴囊壁增厚、回声不均及无回声区。病灶可局限于附睾尾部,呈低或稍高回声,境界尚清晰。
CDFI示:局限性小病灶血供不丰富,多发病灶、大病灶,血供常增多,血流速度可加快。

(三)*丸睾**癌
阴囊肿块,下坠感,可疼痛,95%是生殖细胞源性,精原细胞癌是常见类型;非精原细胞性生殖细胞肿瘤主要包括胚胎性癌、卵黄囊瘤、绒毛膜癌
MR:精原细胞瘤各信号偏低、均匀、散在,恶性病变,信号可不均;非精原细胞瘤信号不均

(四)淋巴瘤
50岁以上男性多见,可以原发可以
是系统性疾病的局部表现。影像表现病变呈多发、浸润表现,增强扫描强化程度低于正常*丸睾**。由于血-睾屏障限制化疗药物作用,因此容易复发。

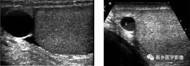
(五)附睾、*丸睾**囊肿
附睾囊肿临床较常见,一般位于附睾头及周围组织内,囊液内含有精子的称为精液囊肿。其病因不十分明确,可能与输精管感染、损伤而部分阻塞有关。
*丸睾**囊肿较少见,位于*丸睾**实质内,原因不明。
白膜囊肿发生于*丸睾**表面的白膜,更为少见。
影像表现
附睾囊肿 先天性病变,常于附睾头部探及一圆形无回声区,囊壁薄,光滑,直径从数毫米至数厘米,多在1cm以内,少数可长得很大。精液囊肿囊内可见细点状回声。附睾囊肿少数位于体尾部。精液囊肿比单纯囊肿T1WI信号高。

*丸睾**囊肿 表现为*丸睾**内圆形无回声区,囊壁薄,光滑,内透声好。磁共振信号均匀,无强化

(六)表皮包涵囊肿
常见的良性*丸睾**肿瘤,由复层鳞状上皮排列的囊腔组成,周围被多层板状角质碎屑包饶。
影像表现
超声:强弱回声交替的同心环
MR:洋葱环样改变,高低信号较低轮带状改变,增强扫描无明显强化。

(七)精索肿瘤
临床:约2/3为良性,肿瘤形态不一,可为圆形、条索状或不规则形,位于腹股沟或阴囊内。主要表现为腹股沟或阴囊内无痛性肿块。主要病理类型:脂肪瘤、纤维瘤、肉瘤、精索细胞瘤等。
超声
常于腹股沟或阴囊内见一实性肿块,以低至等回声多见。体积小,回声均匀。体积大,回声不均匀。肿块形态不一,沿腹股沟管生长,可呈条索状上端至腹内环,下方可达*丸睾**上方,如脂肪瘤、精索细胞瘤;而纤维瘤为圆形,常位于精索的下端(近附睾处)。
CDFI:良性肿瘤少血供,恶性肿瘤血供丰富。
(八)精索静脉曲张
精索静脉曲张是由于血液反流使蔓状静脉丛扩张、伸长、迂曲而形成的。反流的原因主要有静脉瓣缺如或关闭不全,外来的压迫(血管、肿瘤等),使静脉回流受阻,管腔扩大,导致瓣膜相对关闭不全。以青壮年多见,青壮年发病率为10%~15%。临床表现为阴囊坠胀痛,站立时明显,平卧时减轻。静脉曲张血液淤积,可使*丸睾**静脉压和温度升高,代谢产物淤滞(5-羟色胺、前列腺素等),从而影响生精功能。
1. 二维图像观察 二维图像上,精索静脉丛扩张,内径超过2mm,严重者形成“静脉湖”,并累及附睾后方的静脉。血管走向迂曲、杂乱。严重曲张者(内径超过3mm)常伴有精索外静脉的扩张,此血管位于静脉丛后方,走向平直。精索静脉曲张可使*丸睾**缩小,其程度随着反流程度的增加而加重
2. CDFI 静脉丛可见杂乱的逆向血流,Valsalva试验时反流加重。一般直径2.5mm以上都能看到反流。短暂的反流为生理性,1秒以上的反流有病理意义。从腹股沟内环口至阴囊根部均有反流,为病理性反流。静脉反流分级:0级,Valsalva试验反流阴性;Ⅰ级,仅Valsalva试验反流阳性;Ⅱ级,深呼吸反流阳性,Valsalva试验时反流加重;Ⅲ级,平静呼吸反流阳性。
3. 精索静脉曲张结扎术疗效的超声评价
精索内静脉高位结扎术后,超声检测有下列三种表现:①静脉丛无扩张亦无反流,表明侧支循环已形成;②静脉丛有扩张、迂曲,但无反流,此型有待于侧支循环的建立;③静脉丛扩张、迂曲,并有反流,表明静脉漏扎或有导致反流的静脉分支存在。
4.MR显示中等至高信号匍匐区长静脉,静脉内血流缓慢T2WI可表现为高信号。

(九)*丸睾**扭转
正常*丸睾**、附睾的后侧方无鞘膜包绕,裸露区附着于阴囊后壁。当*丸睾**、附睾完全被鞘膜包绕时,容易发生扭转。*丸睾**系膜过长、鞘膜壁层在精索的止点过高或*丸睾**下降不全均可引起*丸睾**扭转。
根据解剖,扭转可分为两类:①鞘膜内扭转,主要由于*丸睾**系膜过长,鞘膜壁层的止点过高使*丸睾**在鞘膜内处于游离状,而致扭转;②鞘膜外扭转,主要由于*丸睾**及精索的鞘膜与周围组织附着松弛而引起。
扭转时,精索内动、静脉血流受阻,导致*丸睾**缺血、坏死。扭转大于360°或扭转时间超过6小时,*丸睾**不易被救活。扭转发作时,阴囊剧痛,可向腹股沟区放射,触痛明显,继而出现阴囊红肿。有的伴有恶心、呕吐或感染症状。随着病程的进展,阴囊红肿消退,*丸睾**变硬,体积逐渐缩小,少数病例可自行松解,但也可反复发作。
缺血型 亚急性期(6小时至2周),*丸睾**肿大,回声强弱不均,常有鞘膜积液及血肿形成。*丸睾**内无血流信号。附睾肿大,回声不均。慢性扭转,*丸睾**缩小,实质呈低回声不均匀,可伴有钙化。
血供环绕型 在亚急性期,部分病例,*丸睾**周围可见一低回声晕,CDFI显示为“彩色晕环”。*丸睾**动脉阻断后,提睾肌动脉的分支形成侧支循环,以供应*丸睾**周围组织。这种迟发的侧支循环,并不能使*丸睾**恢复正常。
声像图特点
根据扭转的程度和时间,超声有下列四种类型:
1. 少血供型 见于不完全扭转(≤360°或早期扭转≤6小时)。*丸睾**大小正常或轻度增大,实质回声尚均匀,大多数*丸睾**内可探及点状血流。动脉血流频谱为低速低阻型。认识此型是挽救*丸睾**的关键,应认真鉴别。
2. 多血供型 见于扭转后松解。扭转的血管松解时,缺血的*丸睾**血供突然增多,此现象为缺血组织血流再灌注的“反跳效应”。*丸睾**形态和回声尚无明显改变,血供则明显增多。动脉血流频谱为高速低阻型,舒张期血流增多,甚至出现反向血流。此型要注意与急性炎症相鉴别。
MR
急性扭转的*丸睾**体积增大,可见出血

(十)附睾附件、*丸睾**附件扭转
是青春期前男孩的一种罕见病。*丸睾**附件和附睾附件有蒂,旋转后可发生扭转。临床表现为阴囊疼痛和肿胀。早期在*丸睾**上极可扪及硬结节,晚期整个*丸睾**肿胀。
超声
附睾附件或*丸睾**附件增大,有学者认为直径大于1cm时有诊断价值,*丸睾**附睾血流较丰富。可有少量*丸睾**鞘膜积液
(十一)阴囊及其内容物外伤
阴囊及内容物的损伤多为钝器所致。轻者,引起阴囊壁血肿和鞘膜积液;重者,可致*丸睾**挫伤、脱位或破裂。同时常合并附睾损伤。损伤后阴囊疼痛剧烈、肿胀,阴囊皮肤可见淤血斑。
超声:
阴囊壁增厚(大于7mm),回声强弱不均。*丸睾**鞘膜腔内可见含有细点状或絮状液性暗区。*丸睾**损伤,有四种表现:①钝挫伤,*丸睾**大小形态正常,包膜完整,包膜下局部实质回声不均,有的可有少量包膜下积液。②挫裂伤,*丸睾**包膜局部断裂,该处实质回声不均,含有无回声区。③断裂伤,*丸睾**一般形态不完整,轮廓不清,内部回声杂乱。④破碎,*丸睾**增大,轮廓不清,内部无正常实质回声。⑤*丸睾**脱位,是指*丸睾**在损伤性外力作用下,使其离开阴囊,而异位于皮下组织、腹股沟、大腿内侧,甚至腹内。*丸睾**大小形态正常,或稍增大,回声尚正常。CDFI:损伤区及其周围组织血供丰富,损伤区无血流信号者,则有坏死的可能。
MR:
*丸睾**内血肿(血肿时期不同,信号不同) 阴囊血肿


(十二)先天异常隐睾症
单侧或双侧阴囊内未探及*丸睾**回声。于腹股沟或腹膜后探及一低回声、卵圆形团块,边界清楚。位于腹股沟内者可移动。有的隐睾周围可见少量鞘膜积液。当合并炎症或扭转时,*丸睾**增大,回声不均,有明显触痛,常伴鞘膜积液。恶变时,*丸睾**增大,近圆形,实质回声强弱不均,有的可见低回声团块。CDFI:急性炎症可见血供增多,而扭转则无血流信号。恶变的*丸睾**血供丰富。小于2cm的单纯隐睾,一般不易探及血流信号。

(十三)*丸睾**微石症
是弥散分布于*丸睾**曲精小管内、直径小于3mm的多钙化灶形成的综合征。TM多与其他疾病同时被发现,然而TM与它们的因果关系尚不确定。已发现TM可与下列*丸睾**内外病变相伴:男性不育症、隐睾、萎缩性*丸睾**、*丸睾**发育不良、*丸睾**肿瘤、*丸睾**囊肿、*丸睾**附睾炎、*丸睾**鞘膜积液、精索静脉曲张、腮腺炎后等。也有仅发现TM而无*丸睾**其他内外病变的报道。
多数为双侧*丸睾**实质内弥散分布直径小于3mm的点状强回声,后方无声影,可在*丸睾**内呈均匀分布或以周边区为多。多双侧同时发生,也可单侧发生或累及附睾,CDFI:无特征性改变。

(十四)阴囊结石(*丸睾**鞘膜腔结石)
【病理基础及临床表现】
并不少见,结石位于*丸睾**鞘膜内,可由坏死组织机化或钙化引起。
【声像图特点】
于鞘膜内探及少量无回声区,其内可见一个或多个强回声斑,可移动,大者后方伴声影。
(十五)鞘膜积液
在正常情况下,这两层膜之间有少量液体,可以起到减少*丸睾**在阴囊里移动时的摩擦作用。在腹股沟内环以下、*丸睾**之上部分称为腹膜鞘状突,于出生前逐渐闭合形成一纤维索。如果腹膜鞘状突在出生以后未闭或*丸睾**部鞘膜囊内液体超过正常量,即可形成各种类型的鞘膜积液。
超声:
*丸睾**鞘膜积液:阴囊内*丸睾**周围可见液性暗区环绕,如阴囊上下极同时出现积液,可作出诊断。
精索鞘膜积液:液性暗区位于腹股沟区精索内,两端封闭,不与腹腔及*丸睾**鞘膜相通。
交通型鞘膜积液:鞘膜内液体可流入腹腔,液性暗区体积可变化,站立位时较大,仰卧位时可变小。
婴儿型鞘膜积液:*丸睾**鞘膜积液可能和精索鞘膜积液同时存在,但与腹腔不相通。

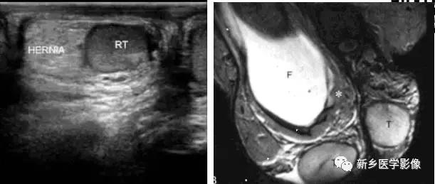
(十六)腹股沟斜疝
临床表现:临床症状可因疝囊大小或有无并发症而异。基本症状是腹股沟区出现一可复性肿块,开始肿块较小,仅在患者站立、劳动、行走、跑步、剧咳或婴儿啼哭时出现,平卧或用手压时肿块可自行回纳。一般无特殊不适,仅偶尔伴局部胀痛和牵涉痛。随着疾病的发展,肿块可逐渐增大,自腹股沟下降至阴囊内或大阴唇,行走不便和影响劳动。肿块呈带蒂柄的梨形,上端狭小,下端宽大。

(十七)*丸睾**网扩张
超声:小的低回声区组成的病灶
MR:沿*丸睾**上纵膈方向会出现*丸睾**网多发小管膨胀或扩张,相对正常*丸睾**实质T2WI上呈等或高信号。增强扫描扩张的充满液体的管道不强化。

(十八)肾上腺遗迹
病因不明,可能与正常肾上腺和*丸睾**胚胎起源有关。在先天性肾上腺增生和ACTH升高情况下发现双侧*丸睾**病变几乎可以肯定归因于肾上腺遗迹。
超声:受累*丸睾**呈均匀低回声结节
MR:T2WI相对*丸睾**呈低信号,增强扫描课件强化,影像无特异性

(十九)Leydig细胞增生
是一种以双侧*丸睾**多发小结节(1-6MM)为特征的罕见的良性疾病,临床表现多无症状,偶可表现为*丸睾**疼痛、肿胀、不育。
组织学,是以Leydig细胞大量增殖在精曲小管间浸润为特征,而非代替或要。原因:下丘脑-垂体-*丸睾**轴不完善,主要原因:隐睾、原发性肾上腺增生、生殖细胞瘤、绒毛膜癌产生的HCG的产物、垂体异常、外源性HCG治疗和前列腺癌抗雄性激素治疗。
MR:双侧多发实性小结节,T2WI低信号,轻度强化

(二十)多睾
是用在生殖器形成(宫内发育6-8周)期间生殖嵴分裂导致一个或多个额外*丸睾**发育的罕见疾病。左侧多见,也可以双侧受累,多数额外*丸睾**位于阴囊内,少数位于腹股沟或腹膜后。额外*丸睾**体积相对小,可共享附睾和导管,或者缺如

(二十一)*丸睾**假体
是*丸睾**期初数后为达到美容或心理目的以及先天性*丸睾**缺如所放置。假体内含液体硅树脂或由实性材料组成。MR呈均匀高T2信号,与正常*丸睾**相似,但无正常*丸睾**组织结构

(二十二)*丸睾**旁病变
良性常见为:
精索脂肪瘤——单纯脂肪组织
腺瘤样瘤——附睾尾或附近,T2WI信号高于附睾
乳头状囊腺瘤——良性附睾病变,可合并VHL病
恶性肿瘤:
横纹肌肉瘤——儿童多见
脂肪肉瘤——成人多见


来源:新乡医学影像
【版权声明】本平台属公益学习平台,转载系出于传递更多学习信息之目的,且已标明作者和出处,如不希望被传播的老师可与我们联系删除