
六指,多出的手指是多余的累赘,必须手术切除?
“六指”被认为是先天性多指畸形(Polydactyly)中的一种,多出的手指通常被认为是多余的赘生物,在幼年期被手术切除。
但是,一项有趣的新研究显示,有的“六指”,多出的手指可以具有接近一般手指的功能,它的存在可以使手具有更好的运动能力,可以完成其他人需要两只手才能进行的操作。
六指“多余”的功能
“六指”有很多种类型,很多多余的手指没有完整的手指结构,就是多余的赘生物,有时候甚至会妨碍其他手指的运动,更破坏手的外观,多余这些多余的手指,只能手术切除。
但是,有的多出来的手指可以具有接近正常的三节指骨和其他结构,具有正常或者接近正常的运动能力,这些多余的手指或者可以有助于手扩展操作能力。

来自弗莱堡大学(德国),伦敦帝国理工学院,洛桑大学(瑞士)等世界顶尖大学的科学家们就对两个“六指”(一对母子)“多余”的手指的解剖和功能进行了全面深入的研究,结果显示“多余”的手指可以具有(相对)独立骨骼、肌肉、肌腱、神经等解剖结构,大脑躯体运动和感觉中枢也具有独立的运动和感觉功能区,因而具有与其他手指相似的运动和感觉能力,可以很好的扩展手的运动操作能力,进行其他人需要两只手才能完成的任务。

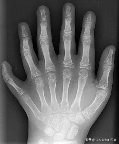
如题图所示,解剖学上,这个具有三节指骨的第六指具有正常的腕部关节结构,独立的骨骼(黄色),肌腱(蓝色),和相对独立的肌肉(绿色和红色)。
为了测试多余手指的运动能力,研究人员要求进行了几次行为实验,同时使用功能磁共振成像(fMRI)监测了其大脑的活动。
结果显示受试者额外的手指可以由自己的肌肉控制进行独立移动。

力量测试中,与5个手指的人相比,第六指10%,20%和30%最大肌力与最弱的食指相若。

fMRI显示,运动第六指时,大脑皮层躯体运动中枢有相对独立的区域被激活,意味着有专门的运动功能区。
在更复杂的运动操作测试中,具有六指受试者可以进行更复杂的操作,这些操作在正常五个手指的人需要两只手才能完成。
在感觉测试中,受试者被蒙上眼睛被要求用食指指尖指向其他手指指尖、指间关节和掌指关节时,额外手指与其他手指没有差别。
或为安装辅助智能假肢提供理论支持
研究者指出,本项研究的意义不在于为了证明多指具有多大的额外功能,而在于证明人类大脑具有“额外”支配更多肢(指)体的能力,这或者会为在有需要者安装智能假肢提供理论支持。
俗话说,“双拳难敌四手”,更多的肢(指)体可以意味着更强大的功能。
只要我们的大脑有“多余”的能力来支配更多的肢(指)体,也就同样有能力控制人工智能神经元支配的假肢来完成更多的操作任务。
比如,安装了智能假肢的外科医生,可以不需要助手进行一个人不能完成的手术操作。