免责声明:本人所有回答均参考自人民卫生出版社教科书,部分图片来自网络,如有侵权请及时联系我,文章内容不构成任何医疗建议,只做医疗信息传播,如有身体不适请于正规医院就诊。
本人是神经内科主治医师,擅长脑血管病,帕金森病,神经脱髓鞘病变等领域,欢迎大家点击右上角关注

昨天讲完脑出血的病因,不同部位脑出血的CT/MRI表现以及临床表现
今天继续讲解治疗措施与预后判断
1.辅助检查及血肿量估计
1)CT 首选
血肿为圆形/卵圆形、边界清楚的高密度灶。可确定直径0.5cm以上血肿的部位、大小、形态、有否破入脑室、血肿周围水肿带和占位效应。动态观察可发现进展型出血。有助于指导治疗和判断预后。
脑出血灶有两型:
1 稳定型:血肿形态规则,密度均一
2 活动型:形态不规则,密度不均
血肿量计算法。血肿量=长×宽×层面×π/6

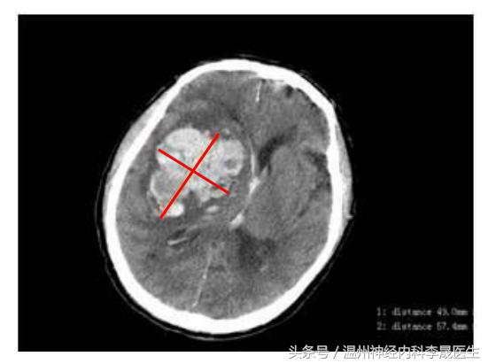
脑出血CT全图

最大层面测量图
选取血肿最大层面,测量长宽径线,如果在胶片中,可以比对下方的刻度,一小格为1 cm。
出血量≈4.90×5.74×5.0÷2≈70 ml,但未包括破入脑室的出血量。
2)MRI
对脑出血敏感,可明确出血部位、范围,脑水肿及脑室情况。
MRI的表现取决于血肿所含血红蛋白量的变化。
对幕下出血优于CT,可发现CT不能确定的(脑干或小脑)小量出血,能分辨病程1个月后CT不能辨认的脑出血(区别陈旧性出血和梗死),显示血管畸形流空现象。
可根据血肿信号(Hb)的动态变化判断出血时间。

脑干出血MRI表现
3)其他诸如:MRI MRA DSA等
MRA:较CT更易发现脑血管畸形、血管瘤、肿瘤等出血原因。
DSA:可检出脑动脉瘤、AVM、烟雾病和血管炎。
2.治疗措施
分急性期治疗,恢复期治疗,手术指征
(一)急性期
三个目的:挽救病人生命;减少残疾 ;防止复发。
四条原则:
(1)保持安静,防止继续出血;
(2)减轻脑水肿,降低颅内压;
(3)调整血压,防止继续出血;
(4)加强护理,防治并发症。

(二)恢复期治疗
只要生命体征平稳,康复治疗应早期进行
3个月内进行瘫痪肢体的运动锻炼、语言训练等康复治疗,促进功能恢复。
* 积极治疗高血压病是预防脑出血复发的有效手段(I级推荐,B级证据)
推荐血压控制目标为<140/90 mmHg(II级推荐,B级证据)

(三)手术指征
1、基底节出血
中等量出血(壳核出血≥30ml,丘脑出血≥15ml)可在合适时机选择微创穿刺血肿清除术或小骨窗血肿清除术,及时清除血种。
大量出血或脑疝形成者,多需外科行去骨瓣减压血肿清除术,以挽救生命。

2、小脑出血,易形成脑疝
出血量≥10ml,或直径≥3cm,或合并脑积水,应尽快手术治疗。

3、脑叶出血
高龄患者常为淀粉样血管病出血,除血肿较大危及生命或由血管畸形引起需外科治疗外,多行内科保守治疗。
4、脑室出血
轻型的部分脑室出血可行内科保守治疗;
重症全脑室出血(脑室铸形),需脑室穿刺引流加腰穿放液治疗。
3.预后判断
脑出血预后的三个重要预测因子就是血肿大小,出血位置,患者入院时的意识状态(GCS评分)
1)出血量大,全身情况差者,死亡率高。最大直径大于3cm的血肿死亡率较高。
2)脑干出血病死率达70%,大脑半球出血约20%,总的病死率为30-40%。
3)存活者残废率达70%
参考资料:
1.王拥军编译,2010年《Caplan脑卒中》临床实践.第4版
2.丁香园网站,柳州市中医院神经内科,安红伟,《脑血管定位诊断及病历分析PPT》
3.吴江,《神经病学》人民卫生出版社,第三版
特鲁多铭言——To Cure Sometimes, To Relieve Often, To Comfort Always.(有时治愈,常常帮助 ,总是安慰 )致医生,致患者,请记住医生与患者最大的敌人永远是疾病。
