(文中含手术标本展示,点击阅读请注意)
手术病例分享:


前言: 肺结节的手术,早在10多年前,即使原位癌也是肺叶切除加淋巴结清扫,因为指南告诉我们:早期肺癌的标准术式是解剖性肺叶切除加淋巴结清扫。但随着肺磨玻璃结节检出的比例奇高,而且多原发的比例越来越多,动不动切肺叶显然已经不能适合目前的现状。但要改变指南有多难呀!因为要循证依据,要有5年、10年,甚至20年的随访数据来说明缩小手术范围效果不影响才能改变。但我一直认为这其中被用来研究对比的病人,有多少是被所谓标准而过度切除呢?所以日本JCOG系列研究不同大小或实性占比的肺结节来对比亚肺叶切除与肺叶切除有无区别。要捍动肺叶切除的标准地位,不能一口吃成胖子,所以必要先优选肺段切除,这样容易接受。反映在现实当中就是肺段切除的流行与盛行,原位癌?肺段切除!微浸润性腺癌?肺段切除!你看,“我们精准的切除肺段,从而避免了肺叶切除,又达到了一样也是根治的目的”,看着非常完美,但我的问题是:早期肺癌(包括原位癌与微浸润性腺癌和部分浸润性腺癌)真的肺段切除才是根治,楔形切除就不是根治了吗?指南告诉我们,尤其是原位癌与微浸润性腺癌,完整切除5年生存率100%,文献报导10年生存率也是100%。即使是浸润性腺癌含微乳头实体亚型,只要有贴壁亚型,文献报导5年生存率也都在96.6%以上。

也就是说原位癌或微浸润性腺癌完整楔形切除的效果与肺段切除或肺叶切除是一样的!浸润性腺癌,只要含贴壁亚型(约等同于影像上磨玻璃成分)效果也是相当好的。当然肺段切除较肺楔形切除能多取到第12组淋巴结,如果第12组淋巴结真有转移,则并不是早期。而从影像密度加随访进展情况来预测是不是高危亚型也有一定的准确性的。我要表达的意思是: 许多即便是浸润性腺癌的楔形切除也是效果与肺段切除或肺叶切除相当的。 如果事实上如此,则将本可楔形切除的简单手术做成复杂的肺段切除也是值得我们注意和反思的。
病史信息:

影像展示与分析:

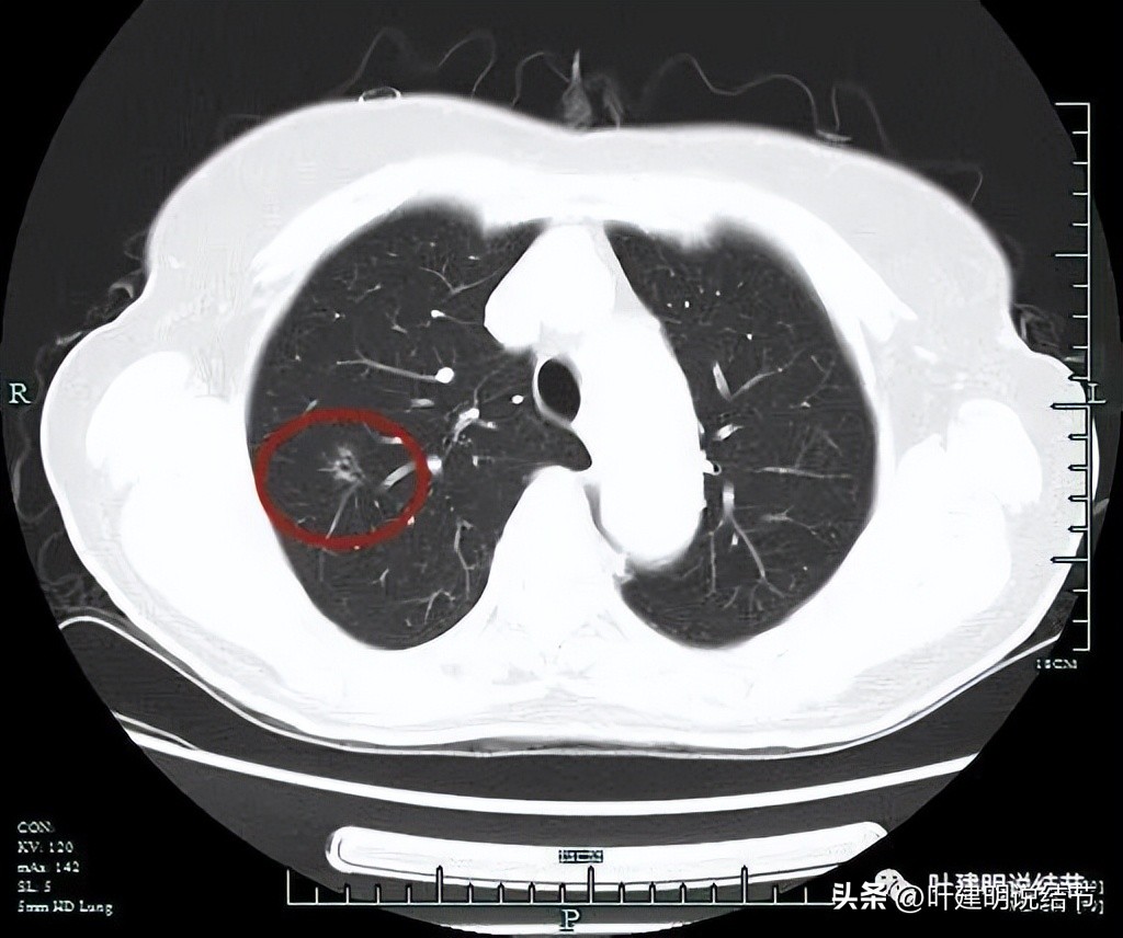
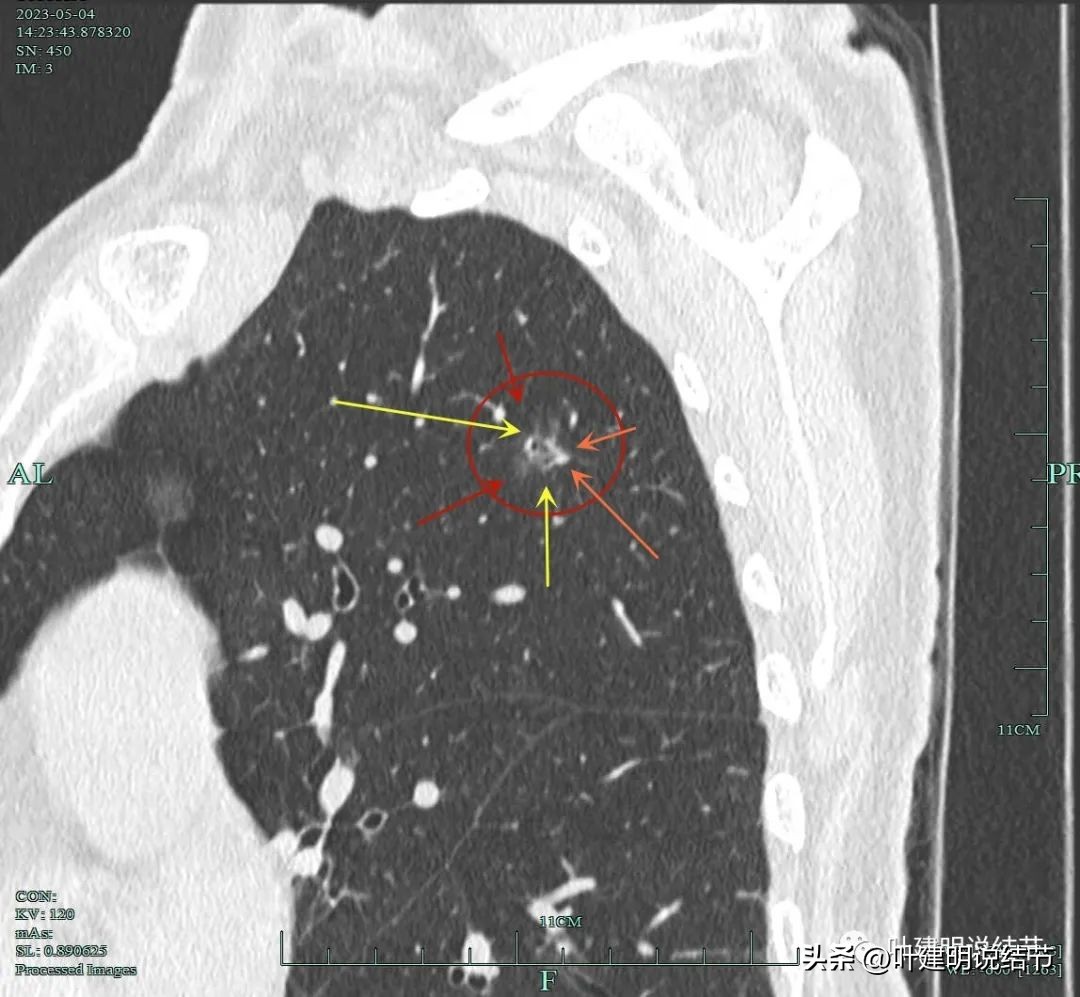
非薄层扫描显露右上叶略显模糊的磨玻璃结节,中间有小空泡的样子,边缘不平显得有毛刺样征,密度不均匀。

薄层显示病灶磨玻璃密度,内部有血管穿行,灶内有小空泡的样子,整体边缘轮廓较清。

灶内穿行的血管有异常增粗,且显得毛糙。灶内空泡样征是扩张的细支气管;表面不平,似有浅分叶的样子。磨玻璃部分密度较低。

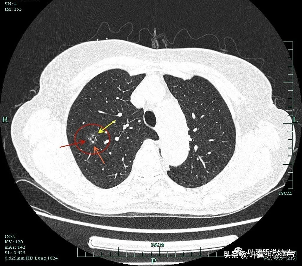
上图显示血管进入病灶,进入后似乎就散掉了。

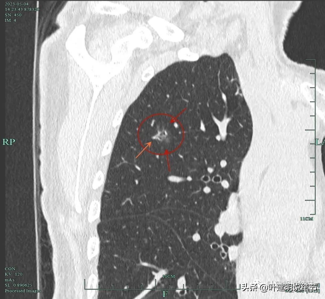
靶扫描重建发现病灶内部穿行血管毛糙,细支气管扩张,边缘毛刺样征。

灶内走行的血管模糊、异常增粗与毛糙。病灶总体轮廓较清,磨玻璃部分密度较低。

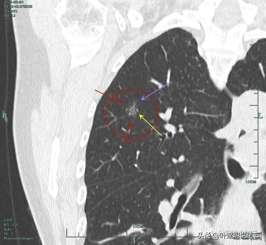
上图显示明显的血管弯征。而且磨玻璃病灶密度欠均匀。

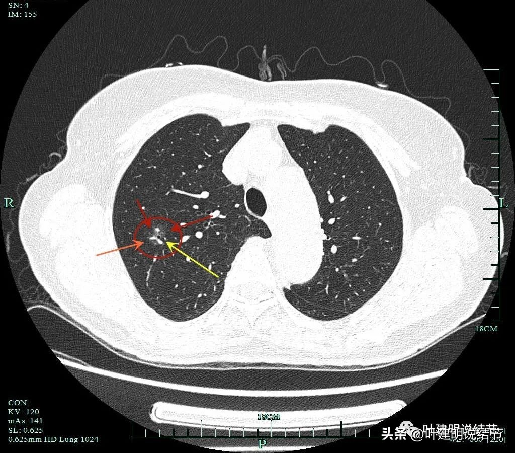
病灶分叶、细支气管扩张,微小血管进入;整体轮廓较清。

上图这个视角清楚显示灶内的空泡征是扩张的细支气管。而且灶外细些,灶内更远离肺门,反而扩张,说明病灶有牵拉力呀!

边缘有毛刺征,灶内密度欠均。
影像判断:
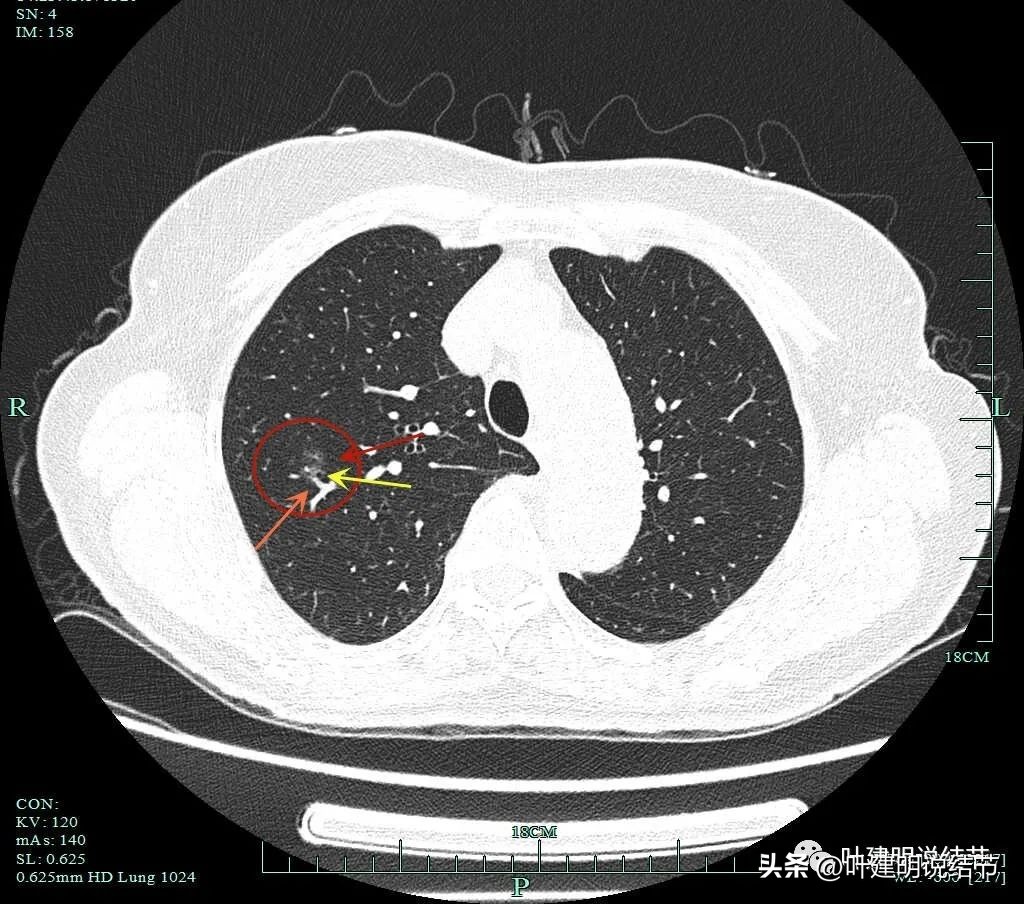
此灶虽然瘤肺边界显得不如典型的那些磨玻璃结节是肿瘤的清楚,但它整体轮廓仍然较清,而且发现随访3年无吸收好转,显然不会是普通炎症的。再加上密度欠均、灶内细支气管扩张、血管进入与穿行、血管入病灶后散开来,整体显得有些僵硬,肯定是要考虑肿瘤范畴的。从密度来看,磨玻璃部分密度较低,似不典型增生的密度,但因有血管进入并异常增粗,考虑要升级,而原位癌的密度一般要略高一点,所以该考虑微浸润性腺癌可能性大,并不能完全除外浸润性腺癌,贴壁为主型。
手术决策:
病灶位置距离胸膜表面有约2.5厘米许,不是非常适合楔形切除的地方,而且位置大概也在后段与前段、尖段交界处附近,具体在那个肺段要三维重建才能更清楚。
1、楔形切除:位置偏中间了,大概率许多外科医生并不首选;
2、肺段切除:因为在后段与前段、尖段交界处附近,其实只做某个段(比如后段)可能切缘会不够,联合亚段切除或扩大的段段切除才可能保证切缘足够;
3、肺叶切除:这样位置的病灶,肺段切除怕切缘不够,选择肺叶切除也未尝不可,相信也会有医生会这样选择的。
但我的想法是:病灶考虑微浸润性腺癌,或浸润性腺癌含贴壁为主亚型的可能性大,基本上不太可能存在淋巴结转移,楔形切除能完整切除,切缘阴性应该效果同样理想的。关键的问题是距离肺表面有约2.5厘米,术中要估计深度,并保证深面的切缘足够,还是有一定难度的。若楔形切除后病灶不在里面或切缘阳性,则可能会不得已进一步切肺叶。
经过与患方的充分沟通,结友选择定位后楔形切除,不管术后病理如何,不进一步切肺叶。
我们的应对:
术前的定位我们目前常用的有钩针与医用胶。一般平时的选择是:能垂直于胸膜表面,正下方是病灶的,靠近钩针定位,因为刺激性小;如果不能垂直于胸膜,入针点是斜着才能到达病灶的,则选择医用胶。坏处是刺激性咳嗽较厉害,有时还会有医用胶咳出来。但对于此例,我们与影像科陶主任商量后,仍考虑选择医用胶定位。因为胶打到胸膜下,占用了胸膜与病灶之间的空间,从而可以将医用胶的边缘到病灶的距离缩小到1厘米上下,这样的话,只要医用胶完全夹起来,再往深部夹一点,病灶基本上就能被确定切除。也就是说预估医用胶到病灶的距离要比估计肺表面到病灶的距离容易些、准确些。
最后结果:
术前先定位:

可见医用胶位于胸膜下,占着胸膜表面与病灶之间的位置。病灶与医用胶之间距离仅约1厘米。这样的话,只要完全夹起医用胶,再深部一点,就必能够将病灶切除。
手术方式:
单孔胸腔镜下右上叶部分切除。

上图示标本,病灶切级足够。

病理报告示:微浸润性腺癌。

缝好的切口仅略大于2厘米。
感悟:
现在其实挺流行肺段切除,开会交流时说的最多的也是肺段切除,而且精细化的操作、段间平面的处理、操作技巧等许多大咖也都会分享介绍。但我总在想,如果只需楔形切除就可解决的问题是不是有必要非常漂亮的进行肺段或肺叶切除?这是需要考虑的问题。简单的事情复杂化,应该不是值得推广的。就如简单普通的肺叶或优势肺段的切除需不需要都三维重建、机器人加持等也是值得思考的问题。其实不管结友还是同道,我认为不应该觉得肺楔形切除太Low而不推广,都去追求更为高大上的术式、用更贵的仪器。相反,由于楔形切除简单易实施、基层医院容易开展,而且风险小、切除肺组织少、恢复快、漏气与并发症少,在治疗效果相当的情况下,应该是大力推广才是。毕竟 以病人的利益为中心,既简单又有效,费用还低,肺功能维护得却更好,为何不选用呢?这是理念问题!当然也是经济问题!!

(此处已添加医疗卡片,请到*今条头日**客户端查看)