疾病的产生与消退,
与人生处境颇有相似,
理解动脉夹层,请参考人生夹缝···
本文重点关注颅内动脉夹层
一、夹层,就是夹缝!
动脉夹层,其实质就是一种夹缝。
颅内动脉夹层的定义:各种原因使血液成分通过破损的颅内动脉内膜进入血管壁,导致血管壁间剥离、分层形成血肿,或颅内动脉壁内自发性血肿,造成血管狭窄、闭塞或破裂的一种疾病。

“夹层”的一般释义是这样的:1、双层的片状物体,中空或夹着别的东西;处于另外两层之间的层;2、左右为难的处境。从英文 “dissection ”我们可以读出中文“夹层”的两种含义:1、处于血管内膜和血管外膜之间;2、血流进入异常的血管间隙,有缺血和出血的双重危险,处理起来则左右为难。

而其它“梭形动脉瘤”、“蛇形动脉瘤”、“假性动脉瘤”、“血栓性动脉瘤”及“椎一基底动脉延长扩张症”可能与夹层有关,但并不明确,不同名称之间尚存在交集,但都不如“夹层”概念明确。
这种状态极像人的生活状态,有人说活着的本质就是苦难。人们常常生活在夹层中、夹缝中,在夹层中求生存,在夹缝中求生存是常态。动脉的夹层,也是这样,这是一种夹缝的存在,夹层的处理很困难,但并非满盘皆输,非此即彼,甚至可以和平共处、不治而愈。
颅内血管有两个系统,椎动脉与颈动脉,二者解剖上的差异导致前者更易发生夹层。这是因为椎动脉外膜薄、中膜弹性纤维较少、外弹性膜发育不全,且缺乏周围组织支持,故夹层更易发生,同时发生夹层病变时较颅外病变更易破裂出血。
我们人类在面临困境时,常说“找个夹缝钻进去”。人类本身是一部设计精巧的机器,但并非完美。其实血管的缝隙存在是一种病态,但可能是一种常态。这是一种结构上的不完美,血管内膜的损伤、血管的动脉粥样硬化、动脉炎症,这些均为内膜打开了一个缺口;但我们人自身也有修复机制,内皮祖细胞和修复因子的共同作用,始终在维持内皮的完整性而努力;只有当吸烟、高血压、炎症、外伤等因素严重危害内膜完整性时,夹层才会出现;而当损伤因子去除,而内源修复因子增强时,自我修复或自愈更是一种常态。
这正如我们人类一样,始终面临很大的压力,生存在夹缝中,但在经历一段苦难后,大多能顺利趟过去,如如涅槃重生。
二、夹层,有来处,无去处!
从血流动力学角度来看,正常情况下应该有入口,也有出口,这样才能有正常的血流;但如果出现夹层,早期夹层有入口,但并无出口,血流进入了内外膜之间的潜在间隙,而在寻找出口的过程中不停地扩展,延伸,增大,甚至形成动脉瘤,最后造成破裂;或者之后最终自行在血流的冲击下在动脉远端找到出口。这是一种异常的出入口,血流在内外膜之间穿行(血管内),夹层随时有扩大,可谓是危机四伏。

有来处,无去处!是悲剧。破损处血管壁壁内血肿形成,动脉偏心性狭窄伴外管径扩张,这种狭窄有时呈现节段性狭窄,甚至会形成夹层动脉瘤,这一点与动脉瘤非常类似。有些没有出口,则继续扩展,直到找到出处,成为双腔,有时形成串珠,内膜瓣就是形成双腔的那道隔或者就是内膜的那个入口。
有来处,有去处!是宿命。来到岔道上的血流,最后终于在血流的动力下找到了出口,汇入正常的血管;但这毕竟不是一条正道,是一条不归路。
其实我们观察到的更多是那个夹缝的存在,或狭窄或扩张;而对来处---动脉破口并不能真实发现,因为我们影像上的缺陷,目前的检查手段CTA、MRA、DSA更多的是观察到血液流动的管腔形态,而不能显示血管壁;而高分辨MR(HR-MRI)是一个观察血管壁工具,尤其是增强MR,与CTA或MRA影像工具形成互补,是诊断夹层的重要手段。传统的TOF—MRA或增强MRA可用于动脉夹层的初筛,高度可疑夹层者推荐进一步针对靶血管行HR-MRI检查,而未来OCT或血管内镜影像将会大放异彩。
三、夹层,缺血与出血的混合体
缺血与出血,有如水与火的关系,似乎不相关,甚至是对立,但二者确有千丝万缕的联系。在夹层这里,狭窄与动脉瘤并存,缺血与出血二种情况均可出现,成为缺血与出血的奇妙的混合体,对立与统一无时不在。
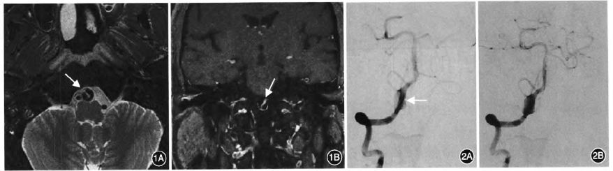
我们来看看夹层的影像特征就知道二者的密切关系,动脉夹层病变相关的典型影像学征象包括:(1)动脉偏心性狭窄伴外管径扩张。(2)串珠征或节段性狭窄。(3)壁内血肿。(4)双腔征。(5)内膜瓣。(6)夹层动脉瘤形成。

双腔征
四、夹层,就是在夹缝中求生存
面对夹层,我们首先要明确的是出血风险与缺血风险,哪个占优?选择恰当的处理方案,在夹缝中求生存:
-
对于破裂的夹层能耐受手术的,应尽早行手术(优选血管内治疗);
-
对于未破裂的夹层需要分别对待:无任何相关症状,且形态规则、体积较小的未破裂者观察就可;
-
有缺血相关症状的患者,建议口服抗血小板聚集药物治疗;
-
伴有神经系统(特别是脑干)压迫症状,或随访出现体积增大或形态学变化者,建议行血管内治疗;
-
治疗中需考虑动力学因素:如果患者夹层出血的位置不能确定,为了避免对潜在的、未处理的出血性夹层造成血流动力学压力的增加,推荐采用一期重建性治疗处理双侧椎动脉夹层;双侧椎动脉病变,如果破裂侧别较易判断,闭塞破裂侧椎动脉不是首选,因为闭塞破裂侧椎动脉后对侧病变会因血流动力学的改变而增加破裂出血的风险。
介入治疗是最后的选择:重建与闭塞,如水利工程上的疏和堵,各有利弊,以前者优先。
-
重建:血管内重建性治疗包括支架结合弹簧圈栓塞术和单纯支架置入术。目前重建性治疗的应用逐渐增加;使用支架技术的目的是覆盖夹层病变段的血管和动脉瘤,重塑病变段血管,减少进入夹层病变内的血流。多支架结合弹簧圈治疗比单支架结合弹簧圈治疗更有优势;置入支架改变了动脉瘤瘤腔内的血流,同时支架压迫内膜瓣使其贴附于血管壁,使夹层闭塞;支架作为新生血管内皮细胞附着的框架,促进内皮的修复;LEO/LVIS/EP多支架重叠,保持支架与血管壁的贴合,不留死腔;支架覆盖全血管病变,这一点与复发相关;Willis覆膜支架、血流导向装置的应用值得期待。
-
闭塞:血管内闭塞性治疗的目的是阻断血流进入夹层病变段血管内,包括载瘤动脉近端闭塞术和夹层动脉瘤及载瘤动脉的闭塞。单纯载瘤动脉近端闭塞术在临床上的应用越来越少,主要因为载瘤动脉近端闭塞后远端可能出现逆向血流代偿,从而导致夹层继续进展,有动脉瘤复发和再出血的风险;如果夹层病变不累及重要分支,载瘤动脉近端闭塞效果较好;累及小脑后下动脉等重要分支则是预后不良的危险因素。闭塞的难点是确保血流不再进入夹层;复发依旧是医生之痛,原因多是我们对夹层的破口并没有完全覆盖到。
夹层不易,夹缝不易,生活也不易,且行且珍惜! 让生活处处充满小欢喜。
参考:
1、颅内动脉夹层的影像学诊断中国专家共识2016
2、颅内夹层动脉瘤的血管内治疗中国专家共识2018

欢迎您关注脑血管病预防与治疗微信!微信 公众号:naoxueguan-NGH 本微信致力于普及脑血管病的健康知识,欢迎提问,小编将做出及时回复。 邮件请复:luws71@sina.com 。

兴医中华 利民长远