听说造影要通过血管注入造影剂?听说造影要将造影剂灌肠?听说造影要吞服造影剂?不同部位造影的操作是不同的,可以看看下面的科普文,了解一下各种造影检查的操作过程。
血管造影:
在此项检查前,您需要禁食。在大多数情况下,在检查开始前你需要麻醉。当注射部位的皮肤完成消毒和麻醉后,您将静静地躺在操作台上,并实施微创手术,以便将导管放入血管(股动脉穿刺),之后推进导管直到它到达待研究的区域。然后打入造影剂,并拍摄一系列X射线照片以观察造影剂流过血管的过程。拍摄完成后,医生将取出导管。
介入导管的部位可能需按压一段时间,以确保创口不会出血。除此之外,你还需要平躺,保持腿部固定数小时,这也有助于防止创口出血。

其他类型的血管造影:
技术的进步使得其他形式的血管造影术比X射线血管造影术的耗时更短,风险更小。 CT血管造影使用CT扫描仪而不是标准X射线机来显示血管。造影剂可以通过手臂的小静脉注入,而不必将导管放入大动脉中。磁共振血管造影(MRA)也是血管MRI研究的一种,它可以在有或没有造影剂的情况下完成,并且也比标准的X射线血管造影检查更迅速。
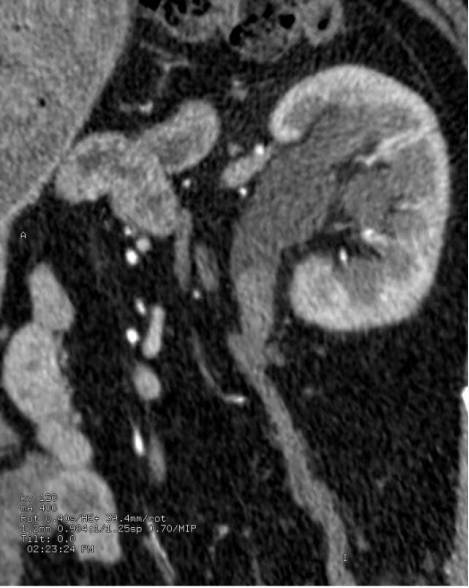
静脉肾盂造影(IVP):
在检查前约12小时,您可能会被要求禁食禁饮水,并且还必须服用泻药来清理肠道。对于检查本身,你需要躺在操作台上进行一系列的X射线检查。然后将造影剂注入手臂的静脉中。你的肾脏可以过滤血液中的造影剂,然后进入泌尿道。在接下来的约30分钟时间内拍摄一系列X射线,以获得造影剂流经肾脏和体外时的照片。在检查过程中,可以对腹部施加压力以使图像更清晰。一旦造影剂到达膀胱,您需要在进行另一次X光检查时排光尿液。

下消化道检查(钡剂灌肠):
在检查开始前,您的饮食可能会受到限制。为了清洗大肠,通常会使用泻药和/或灌肠的手段。检查开始时,你需要平躺在操作台上固定好,然后才会拍摄一系列X射线照片。这之后,医生会将液体钡通过放置在直肠内的小软管注入体内,这种液体会使人有微凉的感觉。然后医生会在操作台上将您变换不同体位以拍摄更多角度的图像。变换体位有助于钡在肠道中移动,因此可以在X射线上显影。每张照片拍摄时,你必须保持固定,屏住呼吸。
测试结束后,您可以去厕所将钡溶液从肠道排出。(这一过程可能需要几天才能全部排干净。在此期间,您的粪便可能会变干燥,变硬,颜色变浅。)
为了获得更清晰的图片,检查通常会进行“双对比”检查。该检查使用少量的高浓度钡液。钡进入体内后,肠道会被充入空气。这可能会导致饱腹感和不适感,以及产生排便的冲动。

上消化道造影:
在测试前8至12小时内,您可能会被要求禁食禁水。检查开始时,你需要平躺并固定在倾斜的操作台上,因为造影剂钡附着在你的食道和胃上,所以可以显影。在检查过程中,您可能需要多次服用钡餐。(在某些情况下,也会使用除钡之外的物质。)您可能还需要服用小苏打水以便在胃中产生气体。
有时也会在几小时后再拍摄更多照片,来观察小肠显影图像(钡从胃部移动到小肠需要一些时间),这被称为小肠造影。
测试结束后,您可能会需要使用泻药来加速钡剂排出体外,但钡剂的排出可能还需要几天才能全部完成。在此期间,您的粪便可能会变干燥,变硬,颜色变浅。

静脉造影:
您需要静止躺在操作台上,并且对即将造影的静脉上皮肤进行消毒和局部麻醉。需要注入造影的穿刺静脉可能是阻塞静脉下方的小静脉(如下肢静脉造影需要足部穿刺,或上肢静脉造影需要手背穿刺),然后将导管(薄塑料管)穿刺进入小静脉中。导管在静脉中可以穿入推进,使其更加靠近待研究的较大静脉,也可以使用止血带,使造影剂流入更深的静脉。打入造影剂的静脉可以在X射线上显影,并拍摄一系列X射线照片。
有时可以通过导管注射额外液体,来帮助将造影剂清洗出体外,之后,取出导管。有时需要对创口按压一段时间,防止出血。