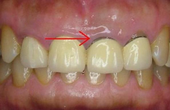
许多牙齿缺失,或者有缺损的患者,在选择了做烤瓷牙之前,没有过多的进行了解!而在做了几年后,突然发现,牙龈处居然发黑了 ?并且还伴随着口腔异味!
本想着做了烤瓷牙修复好缺失的牙齿,结果还来这么一出,这到底是什么原因呢?很是懊恼...

口腔专家介绍,烤瓷牙发黑的原因包括:
1、烤瓷牙材料
采用贱金属内冠的烤瓷牙,由于金属化学性质不稳定,会不断释放出一些离子,体质敏感的人群不仅易产生过敏反应,还容易产生牙龈红肿、出血等不良反应。同时大量离子沉积在牙龈或牙根硬组织内,也会使牙龈发黑。
2、烤瓷牙内部结构
真牙的釉质和内层的牙本质都有一定的透光性,由于烤瓷牙内部的金属层是不透光的,光线在烤瓷牙的内部折射时便不能很好的到达烤瓷牙颈部,因此烤瓷牙和牙龈接触的部位相对其他部位发暗。这种发黑现象是所有金属烤瓷牙的通病。

3、制备不合格
因为烤瓷牙制备不合格,烤瓷牙和真牙不够密合,包括贵金属烤瓷牙(黄金烤瓷牙)在内,无论采用那种金属都可能出现牙龈黑线。
出现黑线,应该如何处理?
1、保住牙根
若进行烤瓷修复的牙齿已出现松动、发炎症状,需立即拍片检查,确认牙根健康状态。
2、阻止牙龈萎缩
烤瓷修复牙冠边缘与牙龈密合程度是判断烤瓷牙是否成功最重要的指标,密合不佳则会使细菌进行牙冠内,导致牙齿发言、牙龈萎缩、牙龈发黑等。

3、牙周护理
烤瓷牙失败者的牙周都会出现一定程度的病变,需先进行牙周护理确保牙齿的基本健康。
4、冠体材料更换
当长期佩戴烤瓷牙出现牙龈黑线,经医生检查确认需要进行冠体更换时,建议根据自身情况,尽可能选择中等价格偏上、对身体无害且组织相容性好的材质,例如选择全瓷或仿生材质,最大限度的避免选材不当造成的烤瓷修复失败。

最后要提醒大家的是,因为烤瓷牙修复不可避免地会磨去部份健康牙组织,从爱护牙齿的角度,一定要非常谨慎地选择医生和根据个人条件使用较好的材料,切切不可草率,只图便宜。

我是牙医肖盼盼,从业经历10余年,临床经验丰富,您有任何口腔问题,欢迎关注、私信咨询或评论留言!我来帮你免费问诊!