今天给大家科普关于氟斑牙的口腔知识。
什么是氟斑牙?
氟斑牙又称黄斑牙和斑釉症(病)。一般出现在含氟量较高的地区,在牙齿发育的时候人体摄入的氟量过高导致的特殊性牙齿釉质发育不全。
一般患有氟斑牙的人群牙齿会出现白色、黄褐色的斑块。

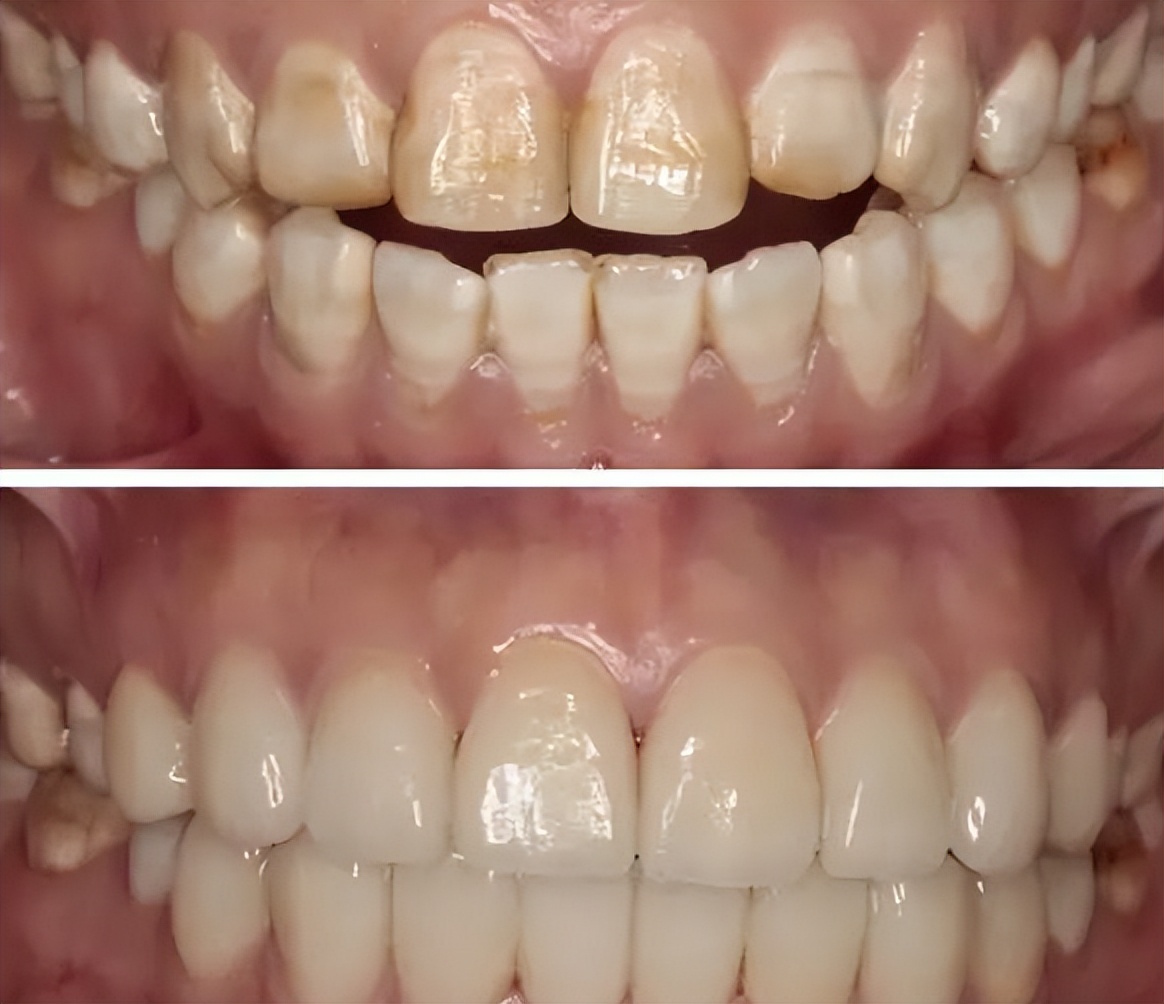
氟斑牙怎么治疗?
目前想要将氟斑牙导致的有色斑块清理掉,需要根据严重程度进行不同的治疗:
1、可以不进行治疗的白色斑块:
如果白色斑块对于牙齿的美观影响不大的话,可以不进行治疗,但是日常要注意氟的摄入。
2、轻度的黄色斑块:
这种轻度的一般可以进行表面的磨除或者进行化学美白的方式将颜色去除掉。

3、重度的黄褐色斑块:
这种可以先看化学美白能否去除掉,如果不能的话,就要将比较深的黄色斑块打磨后进行树脂填充或者进行瓷贴面修复。
4、重度氟斑牙:
这种情况下,可能简单的牙齿贴面无法将颜色掩盖,需要将牙齿磨小后进行牙冠修复。
以上几种办法是目前比较好的,能够改善氟斑牙导致的颜色不均、牙体缺损的好办法。在此提醒大家,进行氟斑牙治疗, 必须选择正规专业的医生进行治疗。
