跑步常见运动损伤系列"足底筋膜炎"

千里之行,始于足下。作为全*运民**动,跑步一直备受热捧,甚至到了每日一跑打卡考勤的程度。

但是,却有不少人跑了一段时间后出现足跟疼痛的现象,其实大部分都是足底筋膜炎惹得祸。

门诊会有很多足跟痛的患者,总会问我:“欧阳医生,你帮我看看片,我的足跟痛是不是长骨刺的关系啊?“
患者总认为是骨刺导致了足跟痛,甚至认为“只要骨刺不去除,我的疼痛就不会好”。

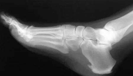
这时,我都要花不少时间给患者解释,跟骨骨刺其实是保护机制,却一直替足底筋膜炎 被黑锅 了。
什么是足底筋膜炎?

足底筋膜炎又称为“跖筋膜炎”,或俗称“跟痛症”,是指足跟和足底部分纤维组织出现的一种慢性无菌性炎症,是由足跟着地时反复高张力刺激足底筋膜的起点造成轻微的撕裂,引起囊腔状的退行性改变。
而骨刺就如下图中所示,则是这种慢性炎症反复刺激跟骨后产生的反应性增生,从一定程度上反而可以缓解疼痛。

好发人群
- 运动员或舞者
- 中老年人
- 长期久站的职业:教师、工人、士兵等
- 足形异常如扁平足或者高足弓

主要症状
1、疼痛:脚跟处疼痛不适
2、晨起明显
- 疼痛在早晨下床时第一步最为明显
3、行走减轻
4、踮脚加重:脚尖站立,脚跟疼痛加重。

如何治疗?
1、休息,暂停运动。
避免重复损伤而使病情加重。
2、疼痛时冰敷。
疼痛及发热可予冰敷处理,缓解期可适当热敷。
3、理疗、非甾体抗炎药。
医生指导下服用消炎止疼药(非甾体抗炎药)
- 不推荐-封闭注射治疗 如果显著的疼痛和失能持续超过4周,可尝试糖皮质激素注射。但足底脂肪垫萎缩和足底筋膜破裂的风险随着皮质类固醇的反复注射而增加,故应尽可能避免重复注射,应谨慎使用。
- 推荐-冲击波治疗冲击波:采用体外冲击波治疗,体外震波的原理是利用低频超声波破坏跖筋膜组织,刺激细胞外修复,从而起到治疗效果。
4、康复锻炼。

网球运动

足底筋膜放松

小腿前侧筋膜放松

小腿后侧筋膜放松
关节镜手术治疗
若采取上述方案保守治疗3-6个月仍无效,可考虑手术治疗,目前推荐关节镜下足底筋膜松解术,效果显著,恢复良好。

作者:珠海市人民医院 欧阳剑锋