鹰潭市融媒体中心 天天鹰潭
在鹰潭一八四医院肿瘤放疗科,由彭国林主任带领的医疗团队以实际行动践行着“医者仁心”的誓言。自科室成立以来,他们不断精进医术,迎难而上,为患者提供专业、精准的医疗服务。
69岁的吴阿姨曾因反复腰部疼痛及发现肺部占位,来到鹰潭一八四医院就诊,经全面检查后,被肿瘤放疗科收治。科主任彭国林组织医生综合检查结果进行了全面讨论,并分析了吴阿姨的治疗难点:

1. 肺部有肿块,肺占位,腹膜后淋巴结有占位;2. 肿瘤较小,旁边有大动脉血管,伤及血管风险极高,容易出现大出血等并发症;3. 患者年龄较大,腰部疼痛加重,症状明显,体质较差,无法耐受传统治疗。

针对这些难点,主治医师刘志鸿提出,从腹膜后淋巴结进行穿刺,避开肾脏和腹膜后的大血管。经过对病情的综合分析,科室为吴阿姨制定个性化的治疗方案,成功进行了腹膜后淋巴结穿刺。
在经过二程化疗后,吴阿姨疼痛明显减轻,肿瘤也有所缩小。综合考虑吴阿姨的身体情况,科室为她制定了新的治疗方案:

采用AP+I方案(贝伐珠单抗400mg d1+体雷利珠单抗200mg d1+培美曲塞二钠700mg d1+卡铂500mg d1,q3w)。

经过治疗后,吴阿姨的疼痛得到了控制,体重增加,肿瘤也出现缩小。目前,吴阿姨已停服止痛药,并且自理能力得到了提高。

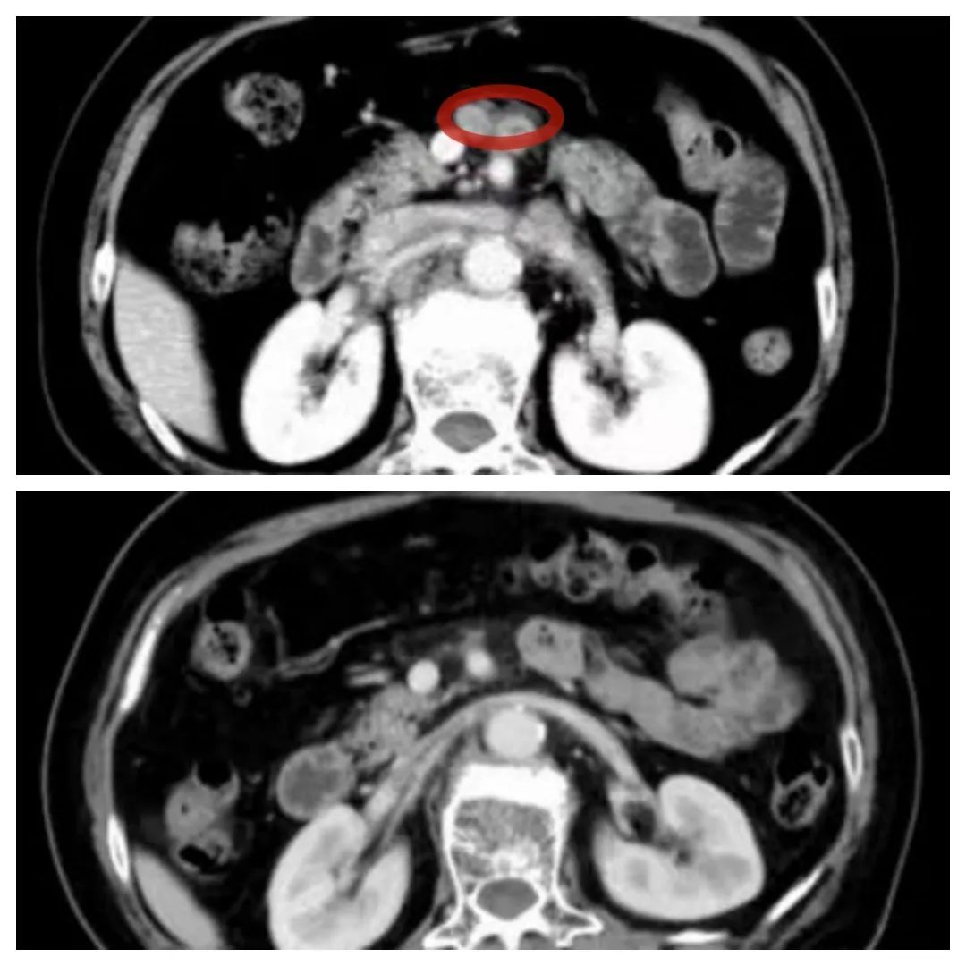
化疗前后对比

化疗前后对比(上图化疗前 下图化疗后)

化疗前后对比(上图化疗前 下图化疗后)

化疗前后对比(上图化疗前 下图化疗后)
鹰潭一八四医院肿瘤放疗科始终秉持着“以人为本,患者至上,生命至上”的服务宗旨,针对患者的实际情况,提供个性化的治疗方案。他们用实际行动践行着医者的初心和使命,赢得了患者的信任和满意。

彭国林

鹰潭一八四医院肿瘤放疗科主任
副主任医师

第二军医大学硕士。获鹰潭市科技进步二等奖1项,国家实用新型专利2项,参编专著3部,核心期刊发表论著50余篇。
擅长:肝癌、胃癌、食道癌、肠癌、肺癌等常见肿瘤的诊治。
(来源:鹰潭一八四医院)
新闻爆料:0701-6221617
邮箱:yttvrmt@163.com