还记得金庸的《神雕侠侣》中有句经典的台词:“问世间情为何物,直教人生死相许……”其实这两句词出自金、元之际著名文学家元好问的《摸鱼儿·雁丘词》一词中。人生中还要一件憾事,那就是:“问世间痘痘为何物,真叫人着急上火……”
说起痘痘,几乎每个人都有一部“血泪史”,能祛掉痘痘,还一张干净的脸,是多美好的事儿啊,然鹅,现实很残酷,要是痘痘真的那么容易祛掉,就不会有那么多童鞋“有病乱投医”了,往往是钱没少花,痘痘依然在脸上,想想都心酸……
可是!痘痘为什么那么顽固呢?为什么那么难消下去?西医、中医、偏方各种方法都用过了,但就跟没用一样?咋办?咱们对待痘痘还是要务实一些,先来了解一下痘痘是咋回事再说!

痘痘示意图1 图片来自网络
大家可以看看上面的图示,大致可以说明痘痘的形成,注意看最右边的图示,它实际上表现的就是我们皮肤上的那种痘痘,并且是爆发出来、正在发炎期的痘痘,体现在咱们皮肤上的样子就是……看下图↓

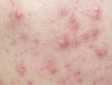
痘痘示意图2
没敢放太“恶心”的图,这张还能忍!结合上面之前那张,大家伙应该就能明白了,其实痘痘在发炎期,我们就会看到又红又痛的痘痘,过多的油脂堆积、死皮堆积容易堵塞毛孔,形成发炎的痘痘,当痘痘“成熟”了以后,皮下会有发炎产生的“脓液”,这个时候往往就是大家手欠的时候!
手欠了,就要挤,噗~噗~噗~好爽哦~痘痘里面脓液再夹杂点鲜血,就这么被挤出来,痘痘一下子好像是瘪了耶!可是,当你高兴的时候,你却给原本发炎红肿的痘痘“雪上加霜”,挤压让皮下脓液“破裂”然后让皮下原本没受到脓液影响的地方也变得“发炎”,大家看上面的痘痘示意图1最后的就知道。当这些脓液“污染”了皮下,真皮层受到伤害,就形成了痘坑,发炎的痘痘让肌肤留下痘印,所以这一挤是痛快啊,可是后患无穷!
所以,有了痘痘,千万不要手欠去挤它!
痘痘无外乎青春期的荷尔蒙导致痘痘爆出来,日常肌肤油脂和废旧死皮堆积引起痘痘,压力情绪导致痘痘出现、饮食、内分泌、护肤不当等综合原因也会引起痘痘。所以痘痘形成的因素比较多,因此也不是一朝一夕就可以把痘痘“治愈”,我还是想说,第一要积极预防痘痘产生,第二痘痘出现了就尽可能降低发炎,第三别用手去挤痘痘避免痘坑和深痘印,第四日常护肤要正确,养成良好的生活习惯。
今天咱们就痘痘产生了以后,应该如何降低发炎,避免痘痘严重这方面和大家伙说说,毕竟这个应该是最受大家关注的点了,虽然我并不是一个特别爱长痘的人,但偶尔也会起个又红又硬的大红痘,所以想着把我自己是如何祛痘的给大家说一说。
痘痘初始 控制还是爆发?
曾经教芳疗课时和学生们讨论过这个问题,痘痘刚出来时,你采用的方法会出现两种情况,一个是有效的控制痘痘爆发出来,也就是把痘痘掐死在“萌芽”里,二个是让痘痘爆发出来,爆发过后自然就会慢慢恢复,所以其实有两种选择,然后很多童鞋都选择了控制痘痘,也就是当痘痘刚出来,就把它们干掉,让它们赶紧瘪回去,其实我自己也是比较倾向于这个,毕竟爆发出来也太不好看。

说到控制痘痘,那么就必须要用到抑制痘痘的产品,这咱们逃不掉,除非你然它们自行爆发出来自行恢复,当然这也可以,但估计谁也等不了……所以一些控痘的“利器”还是有帮助的。
这图里的产品并不全,我就摆了几个,有清洁用的,有控制痘痘用的,咱们一个个来说。
清洁是预防痘痘的基础
不敢是预防痘痘还是日常护肤,清洁都是基础的基础,所以把脸洗干净是前提,这次我个人推荐倩碧的刷子,也是我一直在用的一款刷子,原来用过科莱丽后来换这个了。
倩碧这款刷子也是声波的,由于我们面部毛孔很细小,日常的洗脸可以将肌肤表面的污垢清洁干净,但毛孔又是个容易“藏污纳垢”的地方,双手可洗不到,所以刷子的使用恰好帮助我们清洁毛孔里的油污,毛孔通畅了避免过多油脂和废旧死皮的堆积,从而也有助于预防痘痘的产生。

这把刷子是声波微振的,所以用起来还是挺舒服的,每分钟9000次的高频振动,帮助推出毛孔里面的污垢,刷头挺好玩的,分了两个区,前面绿色的刷毛主要用在T区,白色刷毛相对更柔软一些,用于面颊更好。由于声波震动的刷子不会来回拉扯肌肤,所以用起来不疼,用完皮肤也不会像被“*躏蹂**”了一样红红的。
清洁是护肤的基础,所以预防痘痘也要从清洁做起,对了要提醒大家一下,如果你的痘痘已经出来比较严重的发炎期,或者已经破损了,那么清洁时就要避开破损的位置哦。

起泡网的使用,也是非常方便的,比如肌肤正处在“敏感期”,或者长了痘痘时,我们使用的洁面产品要相对温和一些,不要太过刺激,温和的洗面奶或者洁面乳往往泡沫比较少,但我知道很多人都喜欢有泡泡的感觉,我自己会用这种起泡网打起一些泡泡后再洗脸,其实更多的是满足了内心对于泡泡的那份“执着”,哈哈哈,也是点处女座的潜质……

茶树胶 常备着一支
大家应该都知道茶树精油,对于那种油性痘痘是管用的,但它为啥有时候管用,有时候又觉得不咋管用?告诉大家,其实茶树本身有很好的控油作用,所以因为油脂过多引起的痘痘它是OK的,另外,茶树最大的作用是控制发炎!痘痘发炎后才会变得又红又肿,所以利用茶树消炎的功效,降低痘痘持续发炎,这才是茶树祛痘背后的原理,而不是用了茶树胶、茶树精油痘痘就完全消了。
这支茶树胶我用了有段时间了,因为并不是老起痘痘,但一发现有起痘的苗头,我就赶紧拿这个点一下,还是管用的,要说茶树胶有什么弊端,那就是会让皮肤干燥,因为它控油效果太明显,所以它在快速“抽干”油脂的时候,也会让皮肤感到干燥紧绷,如果连续用1周就容易出现脱皮的现象,所以我个人的使用方法是,点在未破损的痘痘上后,在周围涂抹多一些保湿面霜,做好周围皮肤的保湿,这样就可以降低干燥的不适感。我个人建议茶树胶用一个星期是上限,不要持续使用太久,那样皮肤吃不消哦。

悦木之源净痘凝胶
记得当时脸上起了个痘痘,就是那种红红的硬硬的,品牌朋友知道后就让我试试这个,这一瓶挺小的,一共10ml,我用的时候感觉涂抹上之后有凉凉的感觉,让发红发热的痘痘可以得到“降温”,同时会觉得疼痛感有所减轻,这和里面的藻类提取物有关。含有水杨酸成分,对于疏通毛孔,避免过量皮脂堆积有帮助。
产品中含有丁香花蕾油,大家知道丁香花有啥作用吗?原来在牙科门诊中,用于缓解牙痛,它的镇痛效果非常好,我曾经拔完智齿后,用干净的棉花球滴1滴丁香花苞精油,敷在痛处也就5秒钟就能感到快速的镇痛效果,只是持续时间不长。这里不建议大家自行使用丁香花苞精油,需专业芳疗师指导方可使用。但它在祛痘产品中一个发挥了修复的功效,祛痘和修复应该同时进行,光想去怎么祛痘,不考虑后续的修复也是不行的。这个产品个人觉得效果还是不错的,我可以给个70-80分,尤其是刚开始使用的前几次,很快痘痘就显的没那么大了,美中不足是刚刚涂上去时,略微有一丢丢刺疼,但很快就过去了,过去之后反而有镇痛的效果,痘痘处能觉出来舒服了很多。
这个净痘凝胶,个人建议有那种大、红、肿,但未破损的痘痘使用,前期可以使用1-2天,后续就做好修复和保湿,效果还不错。

佰草集舒盈祛痘霜
还有这瓶佰草集舒盈祛痘霜,我觉得它在缓解痘痘引起的各种不适方面还挺好的,含有很多草本植物成分,比方说藏红花、芦荟、忍冬、牡丹、甘牛至叶油等等。
普及个知识哈,前面的成分里有个甘牛至叶油,这是啥呢?大家听说过马郁兰吗?它是唇形科,牛至属的植物,还有很多植物是唇形科的,比方说薰衣草,但它是薰衣草属。甘牛至其实就是马郁兰,它的味道是甘甜的,略带苦味儿。由于甘牛至叶油渗透快,所以可以到肌肤比较深的地方发挥调整皮脂分泌的效果,让皮肤比较畅通不至于“堵塞”,芦荟自然是舒缓和保湿的作用。
我一般都是晚上使用,这个祛痘霜个人觉得首选舒缓效果好,涂上有清凉感,味道就是特别草本的感觉,它可以改善肌肤“环境”,平衡皮脂分泌,从而降低痘痘带来的不适感,因为产品中含有油类,所以用完不会觉干,也不会产生很多“药膏类”的脱皮隐患,关键是渗透的快,所以一会就和肌肤融合到一块堆了,如果痘痘比较严重的童鞋,可以适当增加使用量。
佰草集给我的感觉是温和,他们家的产品都是缓缓的发挥效果,不会一下子就怎么样,但是用着用着就觉得有改善,喜欢草本植物产品的童鞋,应该很喜欢。

茶树精油的使用
既然说到痘痘,那么茶树精油就是必说的,这里我要强调再强调,茶树精油可以有效的祛痘,它的原理是控制发炎,从而抑制痘痘持续严重,加上它不错的控油的效果,可以快速的让痘痘变得干瘪一些,但是,它也不是万能的祛痘神器,所以使用感受上有差异是必然的,但总体说来,茶树精油还是应该长备着一瓶,以备不时之需。
茶树精油,也是为数不多的可以直接局部点涂在肌肤上的精油之一,还有一个是薰衣草,这两个也可以搭配着使用,与茶树精油比较搭的还有天竺葵、德国洋甘菊、迷迭香、没药、绿花白千层(用于退烧)、丁香花苞(用于高度杀菌)等等……
茶树精油使用指南:
1、 滴1-2滴在干净的棉花棒上,点涂与未破损的痘痘处。
2、 如果是痘痘比较大、红,但未破损,请用药用白凡士林涂抹在痘痘周围做好防护,再用茶树精油点涂,涂白凡士林是为了保护周围不受茶树精油的过度控油,以免产生过度干燥和脱皮,但痘痘上不要涂白凡士林。
3、 点涂茶树精油前,可用保湿化妆水进行片刻湿敷,或者使用薰衣草纯露湿敷3分钟。
4、 1滴薰衣草+2滴茶树精油,滴在棉棒上,用于未破损痘痘点涂。
5、 以上使用时间控制在1周内,之后记得要做好修复和保湿,如果痘痘过于严重和破损,那么就不要点涂了。

痘痘好了之后别忘记持续修复
不管你用什么产品祛痘,前期都是一个抑制的过程,当痘痘好转后,千万不要忽视修复、保湿和防晒,很多人特别容易留下痘印,我说个自己用着还不错的痘印凝胶。
喜辽复的这支我用着还不错,之前也是长了大红痘,又疼又红的,后来待痘痘没那么肿了以后,就涂了这个凝胶,我自己的感觉是头天晚上涂,而且是堆在痘痘上,就是直接挤出来一些凝胶在痘痘上,不过多推开,然后第二天起来发现还真是好了一些,而且痘痘留下的红印变小了一些,我连续用了三天都觉得挺好的,只是后面再用就觉得淡化痘印开始慢了,这也很正常,痘印的淡化需要外在护理和自身肌肤代谢,帮助代谢掉因发炎引起的色素沉淀,而这样的沉淀往往是在真皮层,所以淡化的确不是那么容易,大家要有个好心态,淡化痘印也并非一朝一夕的事情,有些人特别爱长痘,前一个痘痘还没好利索,后面的又冒出来,所以痘印总也挥之不去,估计很多人都有这个问题。
急于求成总不是长久之计,祛痘、淡化痘印要综合的看待,慢慢来别着急哈,如今也有很多不错的产品和方法,帮我们处理痘痘,只是大家一定记得自己要养成良好的习惯,不管饮食还是作息,如果都是乱的,那么啥产品都救不了你啊!

科颜氏金盏花爽肤水
最后我说几个平常舒缓肌肤的产品,科颜氏金盏花水儿,这个大家伙都知道,它算是经典好用的一款水了,尤其是长了痘痘期间,其实可以用这款来舒缓肌肤,也给予痘痘肌一些安慰,金盏花本身含维生素A和维生素C比较多,金盏花本身也是可以吃的,同时可以入药,很早以前的古埃及用金盏花来延缓衰老,中世纪草药盛行时,人们已将金盏花用于疗伤。
痘痘未破损时,可以用这款水把化妆棉打湿,然后轻擦或者湿敷在痘痘处,有一些舒缓镇定的效果,由于金盏花本身可以外用,所以它本身的消炎、防溃烂的功效也会有所发挥,夏天用这款水敷一敷,也有效帮助晒后降温和舒缓,要说的是这瓶是化妆品,不是药品,别混了,所以如果你指望一瓶化妆品发挥消炎、杀菌那不切实际,只是说含有金盏花成分,它必然会有一些这样的功效。
我一般把化妆棉贴在痘痘上2-3分钟就揭了,然后再点涂茶树精油或者痘胶膏,当然这些工作建议晚上做哦,白天注意正常的保湿和防晒。

蜜葳特花粹洁面啫喱
这个洁面啫喱我之前用过一瓶,觉得很舒服也很温和,比较适合敏感肌肤或者有痘痘的肌肤,它不会让你洗脸的过程太过“刺激”,啫喱状的质地用起来也挺讨好的。
它的啫喱有那种水凝感,微凉,洗脸的时候这种感觉就是舒服,对于肌肤耐受力差的人来说很合适,对于有痘痘的肌肤也是不错的选择。洁面啫喱里苦橙、突厥蔷薇花水等,这些都有利于皮肤的舒缓,花水的添加也增加了洁面产品的柔和性,由于产品的泡沫不像洁面膏那样丰富,所以如果你想让泡沫看起来多点可以利用开始说的起泡网,不过这真的无所谓的,本身洁面啫喱就属于中等泡沫、温和类型的。
蜜葳特他们家都是走的天然植物系,我个人除了这款,用的比较多的还有他们的摩洛哥坚果油、花香调理水、玫瑰精华保湿霜,都还行,用起来真真儿的是大写的温和两字,反正用完脸上都不紧绷。


最后,我这俩一块说几句吧,理肤泉的喷雾不用多说,大家都知道舒缓镇静,痘痘肌肤用可能是有帮助的,下面的是我自己在芳疗中用的玫瑰饱和纯露,我主要用于湿敷,保湿舒缓效果也不错,或者当化妆水用也行,如果是饱和的,那么可以加纯净水稀释使用。
好了,写的都快眼花了,最后这两个大家就当充个数吧。
最后,祛痘、淡化痘印这些都不是一时半会就能解决的事儿,咱们都有点耐心吧,今天分享的几个产品是我自己在抗痘过程中用过的,个人觉得还是有作用的,所以大家可以借鉴参考,每个人的肌肤不同,祛痘抑痘的方法也不相同,没有哪个方法适合所有的肌肤问题,在不断的探索和实践中,往往我们自己就知道应该如何正确对待痘痘问题,对待肌肤问题了。
一句话:认真护肤,保持良好的心情以及正常的作息饮食,如果都能做到了,肌肤一定不会差到哪里去,大家都要努力哦。