
平常总会听到关爱女性乳房健康之类的公益宣传,然而关爱男性蛋蛋健康也是非常重要的。今天要和大家聊的是有关蛋蛋的问题。
临床上常见一些男性有阴囊湿疹的问题,大都及时治疗便能缓解甚至痊愈。可是,也有一种效果不佳迁延难愈的,医生头疼,患者也头疼。遇到这种情况,就要警惕一种名为Paget 病的皮肤恶性肿瘤了。

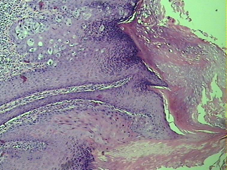
Paget 病,又称湿疹样癌,由James Paget 于1874 年首次描述,易发于富有大汗腺的区域,其最常发的部位是乳房,而其他如阴囊、阴茎、外阴等部位也会发生。据文献记载白种人和女性更容易患上该病,但是在亚洲,则以男性为主。
按发病部位可分为乳房Paget 病和乳房外Paget 病。阴囊Paget 病属于乳房外Paget 病,具有病程长、易侵袭、易复发和转移的特点,因其临床表现类似湿疹,且较为罕见,目前在文献中也仅报道过数百例,故而很多临床医生缺乏对该病的诊断意识,也容易导致误诊和漏诊。

但是阴囊Paget 病与阴囊湿疹还是有区别的:阴囊Paget 病以40-80岁的男性多见,少数患者有化学及放射物品接触史,属于皮肤恶性肿瘤,且病程缓慢,可能有几年到几十年的病史。临床表现为阴囊红疹、红斑、渗出性皮炎、瘙痒或烧灼样疼痛等症状;而阴囊湿疹好发于青壮年,属于慢性局限湿疹皮肤病,临床表现为局部奇痒难耐,常因搔抓或自行涂药,导致红肿、渗出、感染等。但临床对于阴囊Paget 病的确诊还是要靠病理活检。
关于该病的发病机制至今仍不明确且众说纷纭,目前认为该病绝大多数为表皮内原发的恶性肿瘤,当然也有不少研究支持该病与其他肿瘤有关。

现阶段对于该病的治疗主要靠手术切除,据文献报道手术切除不完全是术后局部复发的最主要因素,所以一般采取手术扩大病灶切除。也有采用放射治疗的,一般出于患者年龄过大或手术面积过大等方面的考虑。当然也有光动力疗法等治疗手段,但目前依然认为手术是最佳治疗方式。
对于中医对该病的认识没有明确文献记载,但从症状表现类似于“绣球风”、“肾囊风”,一般辨证论治可以分为两种证型,即湿热下注型和血虚风燥型,相应的治法是清热利湿或养血祛风。
男人们,关爱蛋蛋从自己做起,切勿出现该病时羞于就诊,导致病情加重。
(作者远志,南京中医药大学硕士)