尿液和身体健康息息相关,日常生活中,单从尿液的颜色和清澈度上我们就能分辨出自身的一些健康状况,如尿液浑浊可能是感染的迹象。怎么从尿液的异常初步判断原因,哪些重大疾病可能引起尿液异常? “问上医”用美国家庭医生的智库为您揭示尿液中的秘密。

尿液异常的表现
尿中有血
尿中有血可能是运动过度、某些药物导致的,但也有可能是严重疾病如肾病、前列腺肥大、膀胱癌或镰状细胞贫血的迹象。所以当发现尿中有血时,请及早就医。
尿液变色
有些食物或药物会改变尿液的颜色,如甜菜可以让尿变成红色或深棕色、芦笋可使其变绿、胡萝卜可能让尿液变橙。此外,抗酸剂可让尿液变蓝、有些化疗药物会让尿变橙。但有些时候尿液变色可能是健康方面出现了问题,如果不确定是不是食物或药物的问题,最好还是请医生进行确诊。

尿液变味
食物、维生素和药物都能改变尿液的味道。比如,有些人吃芦笋后尿液会出现氨气味。而喝水不足或使用了维生素B6补充剂会让尿气味更大。但有些健康问题,如糖尿病、膀胱感染、肾脏感染、肝衰竭都可能改变尿液的气味。如果尿液气味突然发生了变化并且持续如此,请咨询医生。
尿液异常的原因
1.尿路感染
尿路感染通常是因为细菌进入膀胱或尿道引发的感染。当发生尿路感染时尿液可能变成红色、棕色或有红色斑点,也可能呈绿色、浑浊、有强烈的气味。通过尿检可确定是否有尿路感染,如果有,则需要使用抗生素治疗。

图:引发尿路感染的细菌
2.高血糖
即血液中的葡萄糖含量过高,尿液中也会出现高血糖现象。通过简单的观察无法分辨出来,但医生可通过检查确定是什么情况。尿糖可能是糖尿病的迹象,并可能引发心脏病、中风、肾病、失明和其他问题。
3.糖尿病
如果医生怀疑尿糖高是糖尿病导致的,他还会进一步检查血液和尿液中的酮类含量。当人体无法正常分解糖类获取能量的时候,就会分解脂肪产生酮类。
4.脱水
如果尿液颜色很深并且排尿很少,可能意味着体内没有足够的水分。此时,你可能感觉到疲倦、恶心、糊里糊涂的。此时,可通过检测尿液中的含水量确定是否缺水。
5.怀孕
使用从一般药房即可购买到的早孕试纸验尿测量hCG激素,即人绒毛膜促性腺激素,就可看出女性是否怀孕。一般在月经期推迟5-10天后测试结果最可能准确。
6.糖尿病性肾病
泡沫尿意味着尿液中的蛋白质高于正常水平。通常是糖尿病性肾病的最早迹象,可能引起肾衰竭。它会损伤肾脏的小血管,导致人体内滞留更多的盐、水和废弃物。通过检查尿液中的白蛋白能确定是否有这种疾病。

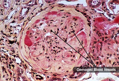
图:血管受损
7.肾小球肾炎
肾小球肾炎可能导致血性尿、泡沫尿,还可能使人出现面部或关节肿胀,并引起肌肉痉挛和皮肤瘙痒。肾脏中的微小“过滤器”肾小球发炎就会造成这种情况,使体内液体和废弃物堆积,并能导致高血压、肾衰竭等问题。而肾小球发炎又可能是糖尿病、感染或某种自身免疫性疾病引发的。
8.血管炎
如果血管炎出现在肾脏,尿液可能变成茶色的,人可能出现发烧和身体疼痛的症状。血管炎是身体自身产生的抗体错误攻击身体器官的小血管导致的。可能引起尿液中有血和蛋白质,甚至使肾脏停止工作。

图:抗体攻击血管
9.堵塞
如果不能排尿或是尿不尽,可能意味着有东西妨碍了排尿。出现排尿困难和尿不尽的同时还可能同时有尿中有血、浑浊的现象。这种堵塞可能是由前列腺肥大、肾结石、膀胱癌、血栓或其他疾病造成的。

图:排尿堵塞
10.肾结石
如果医生怀疑有肾结石(阻塞排尿管道的小石头),他会要求检查尿液中钙和某种酸的含量,如磷酸盐。通过检查还有助于发现这些检查还可能小肠、甲状旁腺或肾脏的问题。

图:肾结石
11.狼疮
狼疮是自身免疫性疾病,即本该保卫身体的抗体错误的攻击自身健康细胞引起的疾病。如果影响到了肾脏(狼疮性肾炎),就会导致血尿或泡沫尿。狼疮没办法治愈,常见于年轻女性,目前尚不清楚导致狼疮的原因。
12.肝或胆囊问题
如果尿液颜色很深,如呈暗黄色或琥珀色,表示肝、胆或相关器官可能出现了问题。某类药物使用过多,如对乙酰氨基酚(泰诺)可能是导致这些问题的原因。另外,癌症、堵塞通向胆囊的结石、病毒如丙型肝炎以及其他疾病都可能引起相关问题。这些问题会导致体内胆红素(可使尿色变深)增多,如果胆红素从肝脏泄漏出来进入血液,还会使人的皮肤和眼白变黄(黄疸)。通过检查血液、尿液可测量出胆红素的含量。

图:黄疸
审核时间:2017.8.05
来源:
ACSM’s Health & Fitness Journal: “The Hydration Equation: Update on Water Balance and Cognitive Performance.”
Cleveland Clinic: “Changes in Urine,” “Pregnancy Tests.”
FDA: “Drugs of Abuse Home Use Test.”
Lab Tests Online: “Urinalysis: Three Types of Examinations.”
Liver Foundation: “Liver Function Tests.”