初始研究一个基因时,我们需要知道这个基因在细胞中的定位情况或者表达水平如何,知道这些信息后可为后面的机制研究提供一些方案思路。检测某基因在细胞中的表达定位,方法多样,今天小编就和大家详细介绍一下IHC、IF、FISH、WB这四大高频技术的原理和应用,以及对常见问题做一下归纳整理,希望能为老师们在实验过程中“合理避坑”,为获得一张张漂亮图片保驾护航。
免疫组织化学(IHC)
Vol.1
技术背景
免疫组织化学(Immunohistochemistry,IHC)是一种利用放射性核素和其他标记物如荧光素,酶,重金属离子等作为示踪剂,通过抗原-抗体特异性结合在组织切片或细胞涂片上,显示生物大分子的动态变化而建立的一门染色技术,常用于蛋白的定性和定位研究过程中。由于抗体与抗原结合后所形成的免疫复合物是无色的,因此需要使用显色剂如DAB将抗原抗体反应部位显示出来(DAB显示为棕黄色颗粒),从而在显微镜下清晰看见细胞内发生的抗原抗体反应产物。该技术在基础生物医学研究中应用十分广泛,除了可以观察到目的基因在样本中的胞浆、胞膜、胞质的定位表达情况外,主要还有如下几个方面的应用:
1. 确定细胞类型和形态。一块组织中所含有的细胞类型是多样的,如何观察其中某类细胞的含量情况呢?这时候可以通过组织细胞内特异性的蛋白来进行标记,从而确定细胞种类;
2. 确定细胞分化程度。同一类组织的不同细胞多表达不同的标志性蛋白,根据对这些不同蛋白的鉴定可确定细胞的分化程度。例如,神经上皮细胞的标志性蛋白是巢蛋白(nestin);当其分化为放射状胶质细胞时表达波形蛋白(vimentin);在神经元发生期分化为成神经细胞时则表达Ⅲβ神经微管蛋白(TUJl);成神经细胞分化为成熟的神经元时表达神经丝蛋白(neurofilament,NF)。
3. 临床中的应用。比如可辅助诊断、鉴别肿瘤,判读肿瘤是良性的还是恶性的,是原位癌还是浸润癌;可辅助判断恶性肿瘤的组织来源,以及转移性恶性肿瘤的原发部位是哪里;还可用于病理分型的鉴定如三阴性乳腺癌的鉴定;还可通过Ki67、PCNA、P53等分子marker等来进行预后跟踪等。
Vol.2
实验流程和注意点
若是以石蜡样本为例,整个免疫组化的实验步骤可达近30步,其关键步骤如图1。

图1 IHC操作流程示意图
上述的每一步骤都和最后的图像质量密不可分,因此需要严格遵守实验操作规范。技术流程比较繁琐,但因其具有如下几个优势,一直广受科研人员的青睐,如:
1. 特异性强,因为只有当组织细胞中存在交叉抗原时才会出现显色反应;
2. 敏感性高,像ABC法或SP法的出现,使抗体稀释千倍甚至更高倍数情况下仍可在组织细胞中检测的目的抗原;
3. 定位准确,该技术通过抗原抗体反应及呈色反应,可准确对目的蛋白进行定位,从而推动病理学的研究。
一个好的IHC除了和上述各操作步骤相关外,也和原始的病理切片密切相关,下图病理切片的分级参考标准,因此需要使用优质片子开展此实验。

图2 病理切片的分级参考标准[1]
用良好的样本组织经过一步步的实验操作后,需要通过拍照来检测实验是否良好,通过所采集的图像信息来获得重要信息,那么对于免疫组化的结果,有几个分析诀窍,知道了这几个tips可以让我们在做IHC时候心里有底,比如:
1. 合理设置对照。良好的实验需要严谨的对照,失去对照谈结果是没有说服力的。对照一般有阳性组织对照,阴性组织对照,阴性试剂对照,自身对照。一般来说,有一个阳性组织对照和一个阴性组织对照就足够了,而我们在看文献时候,绝大多数是自身对照,如取同一个人的癌与癌旁组织做IHC,检测某抗原蛋白的表达定位。
2. 定位需准确。对于已知明确分子定位的抗原,其表达必须在特定的部位。如非常熟知的PCNA及p53蛋白应定位在细胞核内等情况。而如果在其他部位则可能是非特异性染色或者假阳性,这种情况下,就显示出设置合理对照的优越性了。
3. 半定量分析。根据着色强度,可将颜色分为:弱(+,1分),中(++,2分),强(+++,3分),至少随机观察5-10个视野,评估染色强度百分比,然后根据公式(+)% x 1 +(++)% x 2 +(+++)% x 3计算出数值,再进行生物学统计学分析。
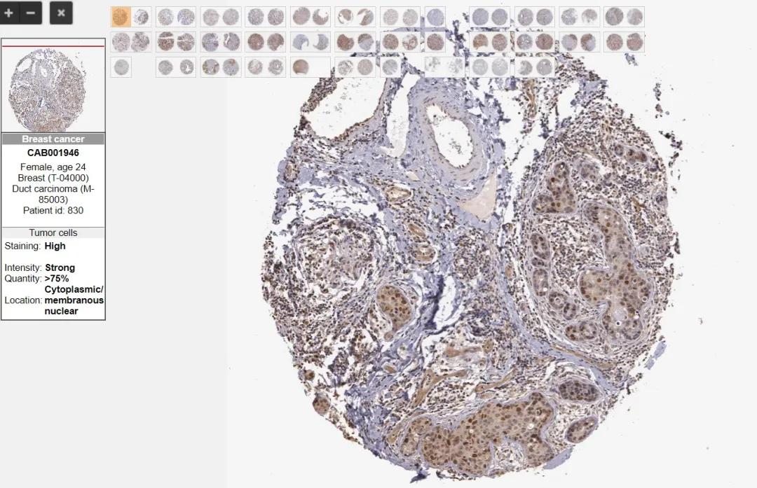
在正式实验前,可以先做些功课,可通过阅读文献或者公共数据网站,查看目标蛋白的时空表达情况,从而提高实验成功率,确如 UniProt 可了解靶标蛋白的定位和修饰; HPA 里面有很多免疫组化的图像信息描述了人体组织和细胞中某些蛋白表达水平和分布,可以为正式实验以及实验结果提供支持。

图3 HPA数据库中某乳腺癌临床样本的IHC染色结果
免疫印迹(WB)
Vol.1
技术背景
免疫印迹(Western Blot,WB)是常用的分子实验检测方法之一,其基本原理也是基于抗原-抗体结合,再用带有辣根过氧化物酶(HRP)标记的二抗进行孵育反应,经底物显色后分析曝光条带的位置,结合ImageJ等图像分析软件进行灰度分析,从而得到目的蛋白在样本中的表达情况(定性分析)或者修饰水平的差异(如磷酸化修饰)、泛素化标记等,其原理流程图示如下:

图4 WB实验原理示意图
Vol.2
实验流程和注意点
该实验主要有如下几个步骤:

图5 WB实验流程示意图
作为一项实验室基础分子检测手段,WB在操作过程中总会遇到一些奇奇怪怪的情况,其发生的可能原因比较多,如下是大家常遇到的几个问题:
1. 未出现明显条带 。经过前期系列操作后,终于到了最后曝光,见证奇迹的时刻,可是显影后发现却没有条带。此种情况的可能原因有:
△ 目的蛋白表达量低。可通过提高样本上样量,对目的蛋白进行浓缩,采用高灵敏度的ECL发光试剂盒进行改善;
△ 转模失败。转模电流电压和转模时间需要设置准确,过程中不可移动;
△ 抗体效价低。一抗需要现配现用;适当增加一抗二抗浓度;换抗体。
2. 背景深 。曝光后隐隐约约有条带,可是不够清晰美观,此种情况的可能原因有:
△ 封闭不够:提高封闭时长或者提供封闭液浓度;
△ 抗体使用过度:降低一抗和二抗的使用浓度和孵育时间;
△ 清洗不够:抗体孵育完毕后的每一清洗步骤都要遵循,流程不可省略;
3. 条带多 。曝光后整张膜上多条条带,甚至分不清楚哪个是目的蛋白,此种情况的可能原因有:
△ 一抗特异性不好:需要更换抗体;
△ 抗体浓度过高:降低抗体使用浓度,缩短抗体孵育时长;
△ 蛋白样本有降解:样本中需要添加蛋白酶*制剂抑**,样本需要避免反复冻融;
△ 多种剪接体:查找相关文献确认目的蛋白是否有多个剪切体以及同源性如何,确认是否存在相同的抗原-抗体识别序列。
为了提高正式实验的成功率,获得漂亮的蛋白条带,WB预实验显得非常重要, 通过前期预实验,可以明确 :(1)一抗的稀释比例和孵育时间;(2)合适的封闭液及封闭时间;(3)内参条带灰度值趋于一致,调节合适的最终上样量。
上述实验中多用到抗原-抗体反应, 如何选择抗体以及抗体如何使用 ,也决定了是否可以获得理想的结果:
1. 首先尽量选择进口的抗体如比较权威的Abcam,CST,Santa cruz等公司的抗体;
2. 选择抗体时务必注意核对基因名称和序列号,避免因基因别名等原因导致买错抗体而误用的情况发生;
3. 关于抗体的使用,使用抗体前需仔细阅读说明书,了解抗体的保存条件以及不同用途下的推荐稀释比例;
4. 内参蛋白。有了内参才可以量化目的蛋白的表达,是WB、IF实验结果进行定量分析或定性比较的重要参考标尺。常见内参蛋白包括 Actin、Tubulin、GAPDH、Histone H3 等,但研究不同类型的蛋白时,内参并不是随意选择的,如胞浆蛋白的内参与胞核蛋白的内参是不一样的,前者常用GAPDH、tubulin、actin等,后者常用Histone H、PCNA等;并且尽量选择和目的蛋白相差5KD以上的内参,这样在进行裁膜孵育抗体时候比较方便;重要的是,内参基因不受实验条件的影响,如果在涉及细胞增殖相关实验体系中,c-Jun由于自身会发生表达变化就不适合做内参;凋亡实验中TBP、Lamin等也不适合作为实验内参了,需要选用其他内参抗体。
免疫荧光检测(IF)
Vol.1
技术背景
免疫荧光(immunofluorescence,IF)与上述的IHC、WB实验都是依据抗原-抗体反应和化学显色的原理,采用标记的特异性抗体对组织或细胞内抗原的分布进行原位检测技术。可用于检测如内分泌激素、蛋白质、神经递质、受体、细胞因子、细胞表面抗原、肿瘤标志物等在细胞或者组织样本的定位情况。
Vol.2
实验流程和注意点
将培养处理后的细胞爬片、固定、破膜、封闭后,加入一抗与抗原蛋白结合,再加入标记有荧光素的二抗与一抗进行反应,最后通过激光共聚焦扫描显微镜进行荧光拍摄来显示细胞中靶蛋白的表达变化和定位。

图6 IF流程示意图
采集完图像后,也经常会遇到各种结果不够漂亮的情况,如:
1. 荧光信号背景过高:和WB的背景信号高这个问题处理是一个思路,如抗体效价、孵育时间和浓度、封闭和清晰是否充分;
2. 目的荧光信号弱:除了和WB一个思路解决外,由于此实验涉及细胞破膜的步骤,破膜效果不佳也会出现荧光信号弱的情况,可采用合适的通透剂或用甲醇固定无需通透的处理方法。
除了这些问题之外呢,很多人会纠结这么多的荧光染料,哪种才是适合自己实验的呢? 可以根据自己的颜色喜好以及实验室的仪器硬件条件,结合每种荧光染料的吸收和发射光谱图进行择优选择,常见的几种荧光染料信息如图7。

图7 荧光染料光谱参数
荧光原位杂交(FISH)
Vol.1
技术背景
荧光原位杂交(Fluorescence in situ hybridization,FISH)技术通过应用非放射性荧光物质标记的核酸探针杂交原理,获得细胞内多条染色体(或染色体片段)或多种基因(lncRNA、circRNA等)状态的信息。已广泛应用于肿瘤生物学、细胞遗传学、分子诊断等领域,并且应用领域也在不断的扩展。
Fish具有多个优点,如安全、快速、灵敏度高;探针能较长时间保存;多色标记,简单直观;可用于中期染色体及间期细胞的分析;可应用于新鲜、冷冻或石蜡包埋标本以及穿刺物和脱落细胞等多种物质的检测,因此一直也是常用分子检测手段之一。如首个通过美国FDA认证的Abbott-Vysis公司产品AneuVysion,使用5种不同颜色的荧光探针能同时检测13、18、21、X和Y染色体的异常,以快速实现产前诊断遗传病的目的;FISH还可直接观察到染色体形态结构和细胞核内的染色质或者某些基因的拷贝数,有助于了解减数分裂过程中染色体配对、重组的机制,以及为基因组进化研究提供技术支持。
Vol.2
实验流程和注意点

图8 FISH流程示意图
基础生物学实验室中,在开展此实验过程中,需要注意的事项主要有:
1. 取材应尽可能新鲜。由于RNA在常温中降解较快,因此所有检测的新鲜组织和培养细胞的样本最好在30min内固定完成,最大限度地保持细胞内DNA或RNA水平。
2. 通透。去污剂处理样本可增加组织通透性,利于杂交探针进入组织细胞,常用的去污剂是Triton X-100。去污剂浓度过高或者时间处理过长,可影响组织的形态结构和引起靶核酸的丢失。
3. 蛋白酶处理。蛋白酶有蛋白酶K、链霉蛋白酶和胃蛋白酶(pepsin)等,使靶核酸暴露,增加探针与靶核酸的接触。
4. 预杂交。杂交前用不含探针的杂交缓冲液在杂交温度下孵育,可以阻断玻片和标本中可能与探针产生非特异性结合的位点,达到减低背景的目的。
4)探针的长度。基本原则是选择具有高度特异性的序列探针。DNA探针、RNA探针在合成时需要控制探针片段长度,通常在300-1000bp左右,不宜过长,DNA探针在杂交过程中更容易形成大分子的探针聚合体,从而影响其渗透能力;RNA探针因其单链、可适应高温杂交,其特异性和灵敏度均优于DNA探针。
5. 探针浓度。探针的浓度依其种类和实验要求略有不同,一般为0.5-5.0μg/mL。适宜的探针浓度要通过预实验才能确定。探针浓度过高会造成背景染色加深,浓度过低会导致荧光信号不足的情况。
6. 杂交温度、时间。温度是杂交能否成功的一个关键因素。要尽可能地保持操作环境温度在20度以上;对于需要预热以达到要求温度的试剂,在使用前必须使用温度计对其进行测温操作。时间对结果的影响也较大,过短会造成杂交不完全,过长则会增加非特异性。一般将反应时间定为16-20hr。
7. 洁净。整个操作过程中为了防止污染,杂交前处理过程中都需要戴消毒手套,实验所用玻璃器皿及镊子都应于实验前置高温烘烤(180℃)以达到消除RNA酶的目的,为获得漂亮的FISH图片保驾护航。
总 结
兵马未动,粮草先行,在开展具体某项实验之前,一定需要先清楚该实验的原理,熟知实验步骤以及每一步骤的作用和意义,这样在操作时候才会格外小心翼翼,尽量避免人为操作失误,才有可能在经过系列繁琐操作后获得清晰漂亮的实验数据。