骨折是指骨的完整性和连续性中断。
骨折大多数是可以愈合的,这是人体内在的自我修复能力。
外伤是导致骨折发生的主要原因,由于外伤的力量和肢体本身的肌肉收缩力量,常常导致骨折端发生错位,而且可以同时并发神经、血管的损伤,骨折一旦错位,就会无法按期愈合,甚至畸形愈合,导致骨头长歪等情况的发生。
孩童是最容易受伤导致骨折错位的一类,其次并是上了一定年级的老人。
骨折复位如不尽早进行,会有何不良后果?
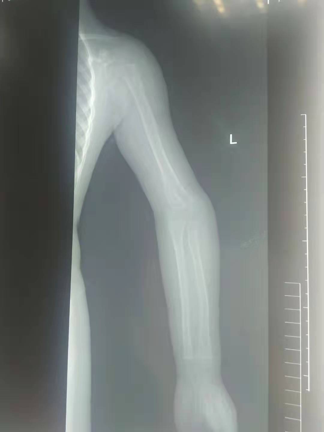
五岁的小女孩,因为小时候的意外导致了手肘骨折,当时不过一岁半的小女孩,没有及时告诉自己的妈妈,小女孩的妈妈发现了异常,小女孩手抬不起来,这可把这位妈妈给急坏了,立即带着孩子赶去了当地的医院,经过检查发现小女孩的手肘骨折错位,当时由于孩子太小,所以没有做手术,于是给予了手法复位,打了石膏,夹板;时隔两年,孩子的妈妈发现,孩子手肘与正常的手肘有些不一样,因为孩子太小,医生提议在孩子在大点的时候给予手术修型纠正。孩子的手有些畸形,没有出现什么功能障碍,只是对于一个孩子来说,影响外形。

正常的手

骨折的手


对于儿童而言,骨折的愈合速度是成人的1/2,在幼儿期会更快,所以如果在骨折后没有很好的复位的话,对于年幼孩子来说,愈合后可能会导致肢体畸形或者功能障碍。有时候不同部位的骨折复位良好,也会出现因为本身愈合能力差的原因,导致不愈合性可能。
骨折不复位,容易破坏血液循环,形成骨不连,患者破坏小儿的骨骺,形成肢体生长畸形。
所以骨折后必须复位,而且要尽早进行,以免日后错位愈合,复位困难。