科学技术是第一生产力,我是清晨碳水。
在夏天的时候,很多小伙伴说,夏天减脂比较容易,因为天气炎热的原因身体会出大量的汗水。但实际上,脂肪的减少,和出汗最多也就有15%的关系,脂肪更多的是通过呼吸呼出去的。随着时间推移,北方很快就要进入冬季,小伙伴们可能又在思考,冬天会不会减脂速度更快呢?因为冬天天气寒冷,人体的消耗会加大吧。但与此同时,通过我们观察到的现象,为什么大家在冬天过后,体重普遍又增长了呢?今天我们就来说说,冬季减脂的那些事,为什么冬天更容易减脂而又不容易减脂的原因。
更低的温度燃烧更多的脂肪

从科学上来讲,更低的温度会让你燃烧更多的脂肪。当我们人体处于寒冷的环境时,我们身体里的血液循环会重新分配,优先把血液供给到维持我们生命体征的器官,比如心脏大脑等。同时,会限制血液流向身体的皮肤与四肢等部位,这也就是为什么冬天我们会感觉手脚冰凉的原因之一。这样便会减少身体热量损耗,更持久的维持身体内的热量水平。

身体另外一种对抗寒冷的措施是颤抖,通过肌肉的收缩来产生热量。比如冬天在户外快走、跺脚甚至是身体的发抖晃动,这种看似不经意的行为实际上都是一种身体生热的措施,这些行为在寒冷的环境下,每小时可以消耗300~400大卡的热量。通过肌肉活动加速分解摄入的营养物质来供能,提高体温。温度的降低可以提高基础代谢率20~30%左右。

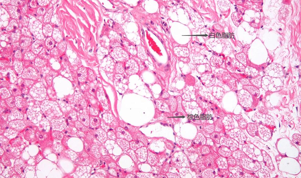
除此之外,在比较寒冷的环境中,人体会自动激活一种叫棕色脂肪的脂肪。我们平时所说的脂肪是白色脂肪,其主要功能就是把多余的热量以甘油三酯的形式储存起来。而棕色脂肪,又称褐色脂肪,其主要功能是燃烧多余的脂肪。二者最主要的区别就是线粒体数量的多少。在低温或者比较冷的环境下,棕色脂肪可以产生热量来燃烧普通的白色脂肪,这也变相达到了减脂的效果。
既然寒冷可以使人减脂,但为什么现实生活中,过了一个冬天,体重增多的却成了大概率事件呢?
冬季体重增长的原因
第一,人体进化的原因

理论是理论,实践是实践,中间还差了很多的细节与过程。虽然理论支持了寒冷冬季有利于脂肪的燃烧,但是现实还是很残酷。人体由于进化的原因,冬天不可能在室外呆太长时间,而且时代的进步,衣不果腹的情况已经小概率发生。因此,冷了加衣,饿了饮食,已经是人类的正常状态。也不会产生什么危机感。而理论上的依靠寒冷的天气减脂,也就不太现实 。当体温下降到35℃以下时,人就会有生命危险了。所以,靠寒冷减脂多少有点不靠谱。
而且当温度下降时,人体会消耗大量能量,人本能的会摄入食物进行补充。原因是当能量下降后,胃细胞会触发饥饿素的产生,引起饥饿感。这样,通常会导致人体摄入更多的热量。减脂最基础的理论就是摄入小于消耗。当饥饿感或者天气寒冷时,通常都会饥不择食,热量无法控制,因而热量超标,就再所难免。
第二,血清素

血清素被称为快乐化学物质,因为它在调节心理及情绪方面起了重要作用,作为一种神经递质,在大脑神经细胞之间传递信息。当血清素减少时,焦虑、抑郁便会产生,不仅影响情绪还对脂肪的燃烧产生负面影响。在冬季,人体的血清素普遍比较低,原因是户外活动的减少,光照的减少有关系。而血清素的减少,直接导致的问题就是人体会下意识的摄入碳水。因为人体内血清素的水平取决于碳水的摄入、维生素B6以及维生素D。血清素减少时,人体在冬季又不愿意出门,碳水便成了平衡血清素的选择,这样,就会间接导致进食量的增加。
第三,酶的作用

无论外界的温度如何变化,人体体温都会维持在37℃左右,因为体温的变化对新陈代谢调节的酶产生了很大的影响。人体中的酶,支配着生物的新陈代谢、营养和能量转换等许多催化过程,当然也包括增肌减脂。人体内大多数酶的最适温度,均在37℃左右。当人体温度升高到45℃左右时,会破坏酶的蛋白质结构,导致细胞死亡。体温下降到34℃以下时,又会引起新陈代谢的放慢,心功能异常等问题。

冬天运动时会刻意的延长热身时间,除了让关节温度产生更适宜运动的温度外,全身酶的温度的调整也是关键因素。长时间的热身,可以很好的让自己热起来,避免运动损伤。但与此同时,冬天因为天气寒冷,如果身体热身不充分加上酶的活跃性不强,从而导致身体懒散,因此,总体热量消耗在冬季要低于春秋季节,消耗热量有限。
冬天减脂的建议
既然冬天科学上来说,更倾向于减脂,但从实践上来看,又不利于脂肪的减少,那么,我们冬季减脂的过程中,应该注意哪些问题呢?下面的五点建议给到您。
第一,热量盈亏与计划

任何减肥减脂都是以热量亏空为前提条件,不论有多冷多热,这是第一前提。所以,请控制好饮食的热量摄入,最好是有饮食计划,这样不至于饮食上的失控。如果前期不确认自己到底吃多少热量的话,可以先以自己的基础代谢基础上加上300大卡试一些日子。看看身体的反应,再决定加热量还是减热量。这样,有一个全面的饮食计划就显得格外重要。因为后期的饮食调整也是基于现有的饮食计划来操作的。

冬季因为身体需要抵御严寒,户外活动或者整体户外时间比较多时,适当把热量加大一些。如果整体热量太苛刻的话,那么不用多长时间,很快就会饮食失控。减脂毕竟是一个长期的战斗。
第二,膳食均衡

冬季进食一定要格外注意高热量的食物,因为在北方,冬季节日聚会聚餐的次数多了起来,各种高热食品油炸食品餐桌上也经常可见。所以,这种不经意的进餐要格外注意。虽然是冬季摄入热量可以比夏季多一点,但是最大的前提还是要健康干净的饮食。减少甜品油炸品零食等不太健康的食材的摄入。

冬季饮食碳水依然是选择复合碳水为主,这类碳水营养素密度比较大。而且能够维持胰岛素水平的稳定。有利于脂肪的减少。如燕麦、糙米、玉米以及地瓜等食材都是不错的选择。蛋白质的摄入依然是一个重点,不仅仅能够维持你减脂时的瘦体重,而且还可以增加你的饱腹感。新鲜的海鱼、海鲜、牛肉以及蛋奶类都是首选。冬季坚果是比较常见的有益脂肪,坚果虽好,但不宜摄入过量。虽然是优质脂肪,过量摄入对身体也没有好处。

冬季气候干燥,蔬菜水果补充必不可少。二者能够不仅提供维生素与矿物质还能够提供人体所需要的膳食纤维,增加饱腹感的同时,也补充了人体的水分。蔬菜每天至少要有500g的绿叶蔬菜,水果每天最多摄入300~400g即可。
第三,科*运学**动

冬季运动对于很多人来说是一个挑战,有时真的是需要鼓起勇气出门去训练。冬季是各种运动损伤的高发季节,因此训练前后都要充分热身以及身体要注意保暖,只有把身体充分伸展开来,才能避免运动时受伤。运动时,依然是要强调动作模式以及循序渐进,当动作模式有偏差,加上热身不充分,很容易就产生意外。训练后,也要注意保暖及时补充能量,避免因为训练抵抗下降造成的感冒等问题。因此,冬季训练这些细节问题要格外注意。

除此之外,可以适时的将训练安排在家中进行,这样更利于运动的坚持度。特别是女性朋友以及中老年人,在家训练,完全可行。不仅节省了时间而且省去了来回路上严寒的困扰。在家很多自重动作都非常有效果,比如深蹲、硬拉,箭步蹲、俯卧撑以及推举等,动作模式正确的前提下高效省时。
第四,户外光照

因为寒冷的原因,小伙伴会下意识的减少冬季户外的时间。但这里还要建议大家定时户外多走动一些。一是因为可以通过阳光的直接照射补充维生素D以及血清素的合成,这样不仅有利于钙的合成吸收,也有利于情绪的稳定饮食的控制。二是户外多走走还能够呼吸新鲜空气,缓解压力情绪,减少呼吸道疾病的发生。
第五,注意睡眠

规律作息,不仅能帮助你身体的恢复,而且能够调整到与昼夜节律保持一致,这样有利于身体激素水平的分泌。当身体的各项激素水平都在一个正常值时,人体饥饿感才不至于失控。而且高质量的睡眠,能够让你身体在寒冷的冬季免疫力更好,抵抗力更强。
结束语

无论任何季节减脂,其实都是热量盈亏的数字游戏。我们只要掌握好背后的运动科学,把饮食、训练与作息三个最重要的要素都做到位,减脂也其实没有那么难。冬季减脂可能要求的细节更多一些,毕竟天气寒冷,人的本能更倾向于休息。但是只要整体的思路正确,减脂的大方向没有问题,按部就班的做好自己应该做的事情,那么,美好的身材早晚会呈现。
冬天来了,春天还会远吗?
唯有不断提升现在,才能更好主宰未来,我是清晨碳水,感谢大家支持与关注,我会继续努力为大家带来更优质的文章,谢谢。
#清风计划#