根管治疗、拔智齿、洗牙深度清洁被称为牙科治疗“三大酷刑”。而治疗中用到的高速涡轮机、超声洁牙机,都会发出高频声音,高频声音天然会让人类感觉不适,使人紧张,甚至产生牙科恐惧。

今天我们就先聊聊,洗牙到底疼不疼。
洗牙到底疼不疼呢?先来看看我们是怎么洗牙的。绝大部分时候,我们都是用超声洁牙机洗牙的。超声洗牙的原理就是用超声高频振动震掉牙面的牙石、菌斑等,再通过抛光等手段彻底清洁牙面,同时延缓菌斑在牙面的再附着。



牙面光洁
如果您有良好的口腔卫生习惯(每天刷牙2次,经常用牙线,定期洗牙等),洗牙的医生手法温柔,那么洗牙基本是不疼的,甚至没有明显的
不适感,个别牙(特别是下前牙)在治疗时可能会有敏感、发酸的感觉。
所以,洗牙究竟疼不疼,会不会有特别的不适感,有很多影响因素,主要有以下几个方面。
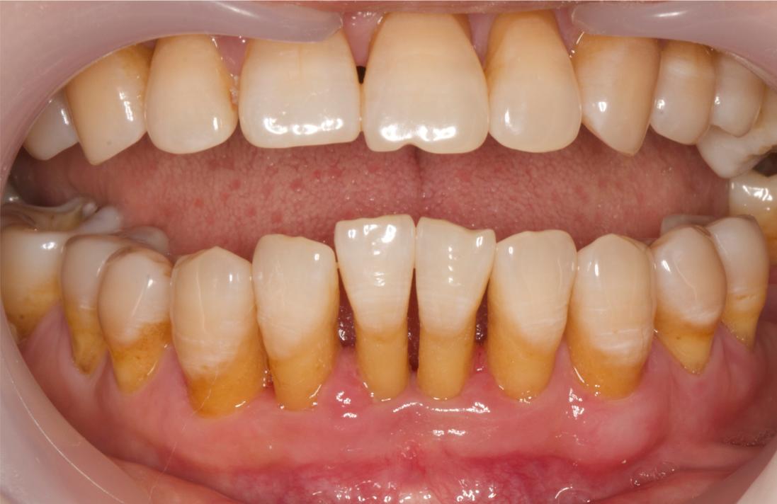
1、患者的口腔卫生状况 如果病人从来没洗过牙,而口腔卫生又比较差,牙石多而厚,硬度高,则洁牙尖需要输出更高的功率才能把牙石震掉,功率越高,震动幅度越大,不适感就会更明显。

牙石多而厚,洁牙尖需输出的功率越大
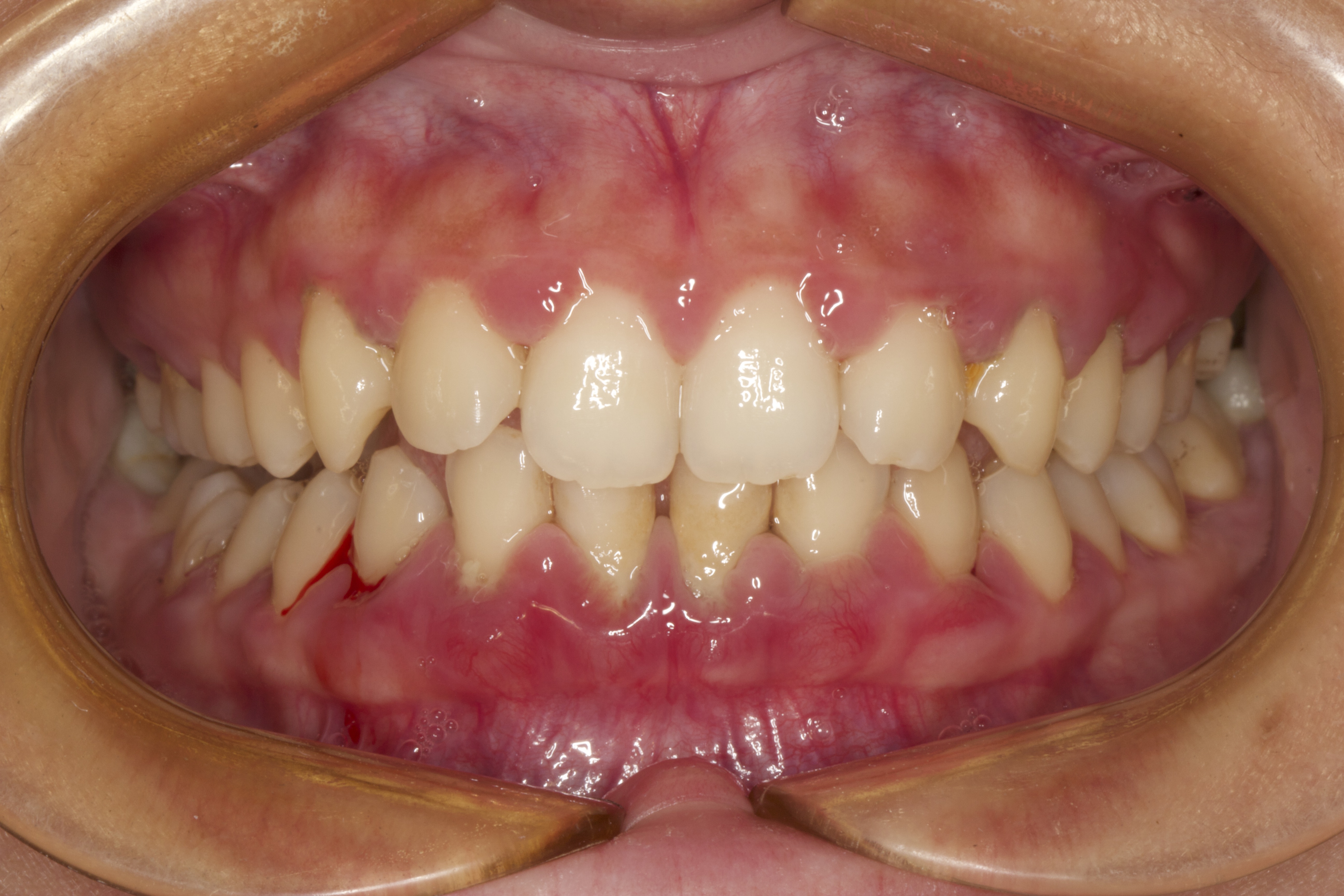
2、牙齿情况、牙周情况 ---牙龈是否红肿、增生、萎缩,牙根是否有暴露
当口腔卫生欠佳等原因导致牙龈炎、牙周炎时,牙龈常有充血、水肿、增生等状况,这时牙龈炎症常较明显。牙龈发炎时,由于炎症影响,牙龈贴近牙根面那一侧(龈沟袋内壁)常是溃疡面。若是慢性牙周炎病人,全口牙龈的溃疡面加起来甚至能有成人巴掌那么大。这时,牙龈感觉就会更明显,在洗牙时患者的不适感也就更明显。
这时,我们也不需紧张。一般牙龈炎症明显时,我们会分次清洁牙齿,第一次先清洁牙龈上方、牙齿表面的牙石、菌斑。表面牙石去除后1周以后,牙龈炎症会好转,这时再清洁牙齿表面或者牙龈深处的牙石菌斑(深度清洁)。


牙龈炎症时,感觉会更敏感
当牙龈有萎缩、牙根有暴露时,常有牙本质过敏症。洗牙时,由于冷水的刺激、洁牙尖在牙根面的震动等原因,牙齿会有明显的敏感症状,不适感、甚至疼痛感也会更明显。

牙龈萎缩、牙根暴露,牙齿常有敏感症状
3、患者的紧张程度 我们知道,当我们紧张时,对不适感、痛觉的阈值会更低,紧张甚至可能放大治疗时的疼痛感觉。因此,紧张的病人经常会觉得洗牙疼痛明显。

4、气温、洁牙机中水的温度 很多人应该有这样的感觉——冬天刷牙时自来水更凉,牙齿敏感更明显。这是由于冬天气温低,水温更低。同样的道理,冬天会有更多的患者感觉洗牙酸痛明显。

5、医师操作 医师操作时洁牙机的功率大小、工作尖的移动手法等可能导致患者感觉不同 洗牙是口腔科比较简单的治疗,绝大部分医师都是没有问题的。当洗牙时洁牙机输出功率过大、洁牙尖的方向不正确、洁牙尖深入牙龈太深时,患者就会有更多不适感,甚至疼痛感。

保持良好的口腔卫生,定期口腔检查、定期洗牙,是预防蛀牙和牙周炎的最好方法。只要牙周是健康的,洗牙时的不适感并不明显。如果洗牙、深度清洁时疼痛或不适感无法避免,也不需太过担心,我们有局部麻醉、笑气镇静等无痛治疗方法,让您舒适接受治疗。
总之,在现代医疗科技加持下,疼痛是比较容易解决的问题。最重要的是保持良好的口腔卫生习惯,定期检查,发现问题后,根据医生的建议尽快治疗,阻止疾病发展。
