日前,陕西省第二人民医院(陕西省老年病医院)口腔科收到了多名家长的咨询。有的家长说:医生,我家孩子才4岁,牙齿就出现了“地包天”,需不需要治疗啊?有的说:家里根本没有人“地包天”,为什么孩子就出现“地包天”了呢?到底什么时候治疗合适呢?为此,省二院口腔科朱文忠主任为各位家长答疑解惑。

那么,到底什么是“地包天”呢?

地包天,也叫兜齿儿,正畸专业术语叫反颌。是我们临床上常见的错颌畸形的一种,出现的时间不一,多数在青春期,也有的在三四岁就能发现。
为什么偏偏是我?
反颌是颌面部常见的畸形,多数是由遗传因素,环境和功能因素共同作用所致。遗传因素:根据目前的研究以及临床上常见的病例,遗传因素比较多,不一定是父母,也有可能是爷爷奶奶,姑姑舅舅等,这种情况,一旦发生,就要及时进行早期干预治疗,将颌骨发育导向正常。环境和功能因素:孩子如果经常咬嘴唇,吐舌头,下巴习惯性前伸等,都会引导下颌骨向前发育,从而导致下颌牙齿位于上颌牙齿的前面而形成地包天。各位爸爸妈妈要注意了,一旦发现孩子出现了这些不良习惯,就要及时纠正。
地包天有什么危害?
影响正常的口腔功能:上下牙不能对咬,不能行使切咬功能,咀嚼效率降低,进而影响孩子肠胃消化功能。影响颌骨发育:前牙异常的锁结关系会限制上颌骨的发育,下颌会过度发育,会使加重发育畸形。同时,造成颞颌关节的紊乱,大多数地包天患者成年后都伴有颞颌关节的问题。影响孩子心理健康:牙齿畸形的孩子,在学校容易受到同学的嘲笑,造成自卑心理,甚至不愿意参加社交活动。
什么时候治疗?
医生建议,一旦发现孩子出现了“地包天”,一定要及时就诊,由专业的正畸医生提出治疗意见,不要拖延,因为如果错过了最佳的治疗时期,可能会加大治疗的难度以及影响治疗的效果。
怎么治疗?
根据不同的病因,医生会选择不同的矫治方法。
01调磨法
调磨法一定要由医生操作!!一般情况下,两周调磨一次,1-3个月就可以见效。

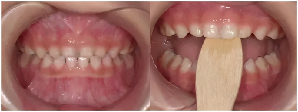
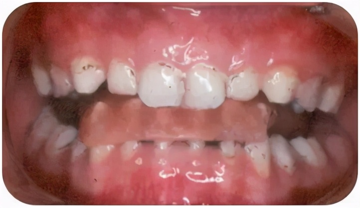
02咬撬法
可以选择压舌板,每天咬撬木板3次,每次大约2分钟(约20下),每两周复诊,1-3个月可以见效。

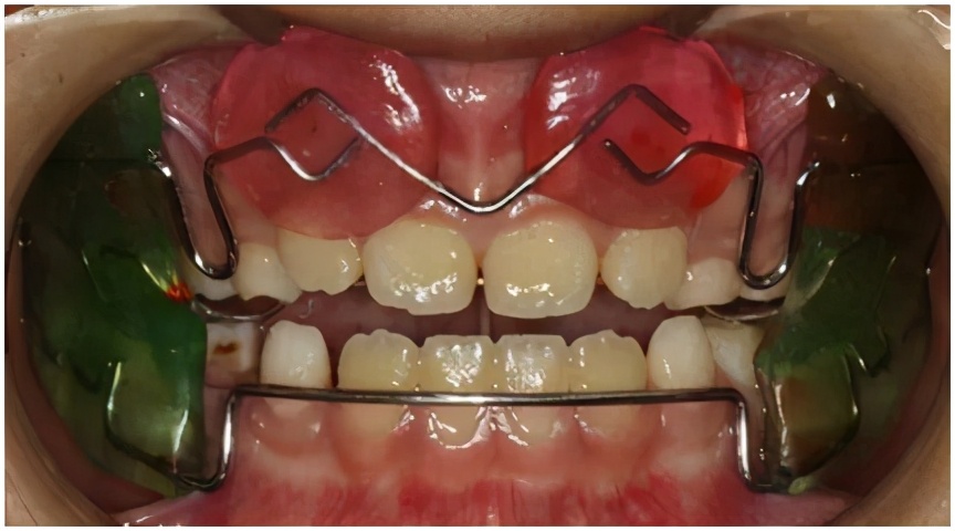
03上颌颌垫活动矫治器
这个是需要每三周复诊,由医生加力调整的。

04下颌斜面导板矫治器
这个也是需要医生调整的,千万不要自行调磨哦~

05头帽颏兜
比较严重的下颌前伸的,可以先佩戴头帽颏兜,限制下颌的过度发育。

06功能调节器(FR-Ⅲ)

07前方牵引

无论是何种矫治器,都需要由正畸医生面诊后,指导下佩戴,自行从网上购买是万万不可取的!
口腔科诊疗特色
牙体牙髓病、牙周病、口腔黏膜病及儿童牙病的治疗,固定、活动及全口义齿的修复,牙齿美白、牙齿脱敏,牙颌畸形的矫正,复杂牙拔除及口腔颌面外科的手术治疗。
通讯员:李亚斌