视频加载中...

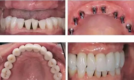
牙齿疾病或者是外在因素导致的牙齿缺失不可忽视,时间久了缺失部位牙床萎缩、吸收,致使牙床高度降低,致使带假牙不稳,尤其是下颌一张口便脱落。对此,宁夏瑞德口腔对于牙齿数量上的缺失,一颗、两颗、或是全口缺失,都可以用种植牙来修复缺失的牙齿。 全口牙缺失也可以做种植牙, 种植牙修复全口缺牙技术可在拔牙的同时植入,也可在拔牙后的两周或3个月植入,种植牙医生会根据每个人的牙槽骨情况决定。即使您是一位一颗牙齿都没有的全口牙缺失患者,也不用担心。种植牙技术可以使得原来“寸地不生”的地方重新“根深蒂固”。
种植牙之所以被誉为人类第三副牙齿,是因为种植牙寿命长,几乎可以达到真牙的效果。目前,为了能够让自己的牙齿恢复健康美丽,很多人想进行全口种植牙,但专家称,全口种植牙有很多注意事项。那么进行全口种植牙前需要哪些步骤呢?

一、详细的口腔检查:全口牙种植前和患者进行详细的沟通,对患者的口腔进行全面的了解。详细询问全身病史及口腔病史,了解患者有无高血压、心脏病、糖尿病及传染性疾病等常见病史。询问有无过敏史。
二、专家会诊制定方案:全口牙种植前医生针对患者的实际情况进行会诊,专家齐聚,共同探讨,制定出最佳治疗方案。
三、口腔疾病治疗:全口牙种植牙前一般都需要对口腔疾病进行治疗,如拔掉特别松的牙齿、残根,充填齿,治疗牙周病,调改和纠正不良咬合关系等。如发现牙髓病术前应积极治疗,如有牙周病,手术前应将牙周状态控制好,选择性进行手术。种植手术应在患者健康良好(如无感冒、腹泻、局部无溃疡、炎症)时进行。
四、种植进行:植入种植钉,专家为患者实施局部麻醉,切开缺牙部位的牙龈,露出牙床骨,用专门种植设备和器械,将种植钉植入,缝合。
五、定期维护:等待伤口愈合后,开始进行种植体的牙冠修复过程。戴上牙冠完成修复后,遵照医嘱每隔半年至一年复查一次,定期维护,有利于牙齿的长期使用。