移动DR是DR的一个细分品类,因其具有可移动性、 成像质量佳、可视化远程遥控操作并传输结果等优势,近年来愈发受到临床重视,被广泛应用于ICU、隔离病房、急诊、呼吸科等多个场景。尤其在呼吸系统传染疾病(新冠肺炎)的防治中,移动DR的功能优势可以很好地契合疫区防止交叉感染且快速报告检查结果的诉求。移动DR已经成为医疗机构必备的影像设备之一。

国内医学影像厂家近年来在DR产品的两个技术方向上陆续进场。一个是动态化方向,以动态DR产品为核心代表;一个是移动化方向,以移动DR产品为核心代表。
这两个技术方向的发展都离不开一家专注于医学影像设备研发与制造的中国企业:安健科技。在动态DR领域,安健科技全球3000家动态DR装机用户的成绩,把安健科技送上了全球销量第一的顶峰;在移动DR领域,安健科技从2015年推出第一代具备自主知识产权的移动DR开始,便持续聚焦于核心部件技术的攻关与产品功能的升级。目前,安健科技已经打通了移动DR领域包括机架、探测器、球管、软件、高压所有核心部件的自主研制,产品整体性能跻身行业第一梯队。
移动DR作为医学影像领域的一项重大进步,被称为“车轮上的放射科”,其特定的移动式设计让传统的影像诊断不再拘泥于放射科,而是能够在不同科室,不同医疗临床环境发挥更多的作用。
视频加载中...
2020年,安健科技正式推出第三代低剂量移动DR“飞燕”,开启了移动低剂量摄影的新视界。

安健科技飞燕移动DR采用创新无线可视化曝光摄影解决方案,配备高清摄像头和语音系统,支持远距离可视化操作,语音指导摆位,动态监控患者体位及状态,实时预览曝光结果。


安健科技飞燕移动DR配备了分体式330KHU热容量的球管、40KW大功率高压,能够持续输出优质X射线,轻松满足大规模连续拍摄需求。


配备4.0lp/mm超大空间分辨率无线平板,清晰呈现拍摄部位组织细节,实现临床精准诊断。

再来看看移动DR“飞燕”是如何“身轻如燕”在各临床场景中大展身手:
- 580mm超窄机身让其可自由穿行狭窄空间,移动更加灵巧自如,方便在ICU、隔离病房、门诊、急诊等多科室间轻松切换。
- 灵巧主轮配合压簧式导轮设计,加上感应式强劲电动助力,让“飞燕”可轻松跨越一般坡度路段,加速抵达临床诊断现场。
- 立柱升降式支撑臂,315°(度)大范围超广角机架运动,床边摆位,更加精准便捷。
- SID激光测距功能,能够实时显示数据信息,指导医生快速进行精准摆位,省时高效。
此外,移动DR“飞燕”采用了安健自主研制的无线平板探测器,使用增厚碘化铯涂层,配合低剂量拍摄控制模式,在保持图像高清锐利的基础上,大幅降低临床拍摄剂量。
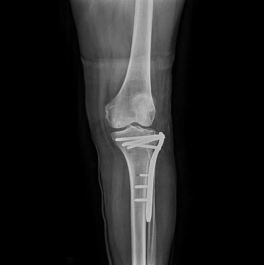
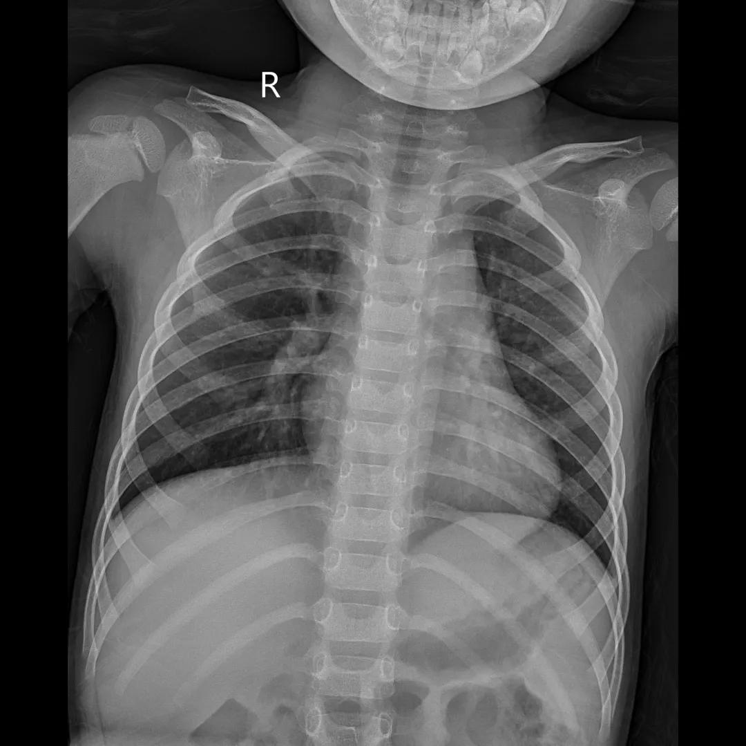
最后来看看“飞燕”的临床成像:







滑动查看更多图片
据了解,移动DR“飞燕”目前已在国内外多家医院服役,在这次全球新冠肺炎疫情期间,安健公司的上百台移动DR奔赴疫区,助力新冠肺炎患者的影像诊断和筛查。继国内疫情得到缓解之后,安健又积极联合各方力量,向老挝、泰国、巴基斯坦、摩洛哥、菲律宾、缅甸、乌兹别克、意大利等疫情国家提供移动DR。这些设备正从国内出发,陆续交付至国外客户手中,用于全球抗疫……