
►韩国第一位接受沃森肿瘤辅助治疗的癌症患者,正和嘉川大学吉医学中心的肿瘤专家一起浏览自己的疾病信息。来源:嘉川大学吉医学中心
编者按:
最近,IBM公司用于辅助医生设计癌症治疗方案的AI产品沃森被曝出诸多问题,包括可能开出危险和错误的癌症治疗方案。这会对医疗AI行业产生什么样的影响?从事医疗AI研究或产业化的几位专家表达了他们的看法。
撰文 | 蒋海宇
责编 | 陈晓雪
● ● ●
“这个产品非常糟糕。我们当时为了医院推广购买这个产品,希望它能实现IBM宣称的愿景。结果大多数情况下,它根本没用。”美国佛罗里达朱皮特医疗中心(Jupiter Medical Center)的一名医生,当着IBM高管的面,这样评价他们的沃森肿瘤(Watson for Oncology)。
对,就是那个曾被看好,也激起许多争议的医疗辅助人工智能系统沃森。沃森肿瘤的使用非常简单:只需将患者个人信息(比如病历、成像报告等)输入系统,系统便基于大量的医学研究、医学指南、临床试验等信息,推荐合适的治疗方案,供医生参考。
7月25日,美国健康医疗媒体STAT曝出,IBM公司的内部文件显示,用于辅助医生设计癌症治疗方案的AI产品沃森问题不小:除了上面那种来自用户的抱怨,还会开出危险和错误的癌症治疗方案。
沃森肿瘤是IBM在医疗人工智能领域的重要产品,能够根据患者病历等信息提供包括乳腺癌、肺癌、直肠癌、结肠癌等多种癌症的治疗方案,合作者有纪念斯隆-凯特琳癌症中心 (Memorial Sloan Kettering Cancer Center)、梅奥医院(Mayo Clinic)、奎斯特诊断公司(Quest Diagnostics)等医疗领域的著名机构。根据其中国代理公司官网,国内已经有20多个省的近80家医院引进沃森肿瘤会诊中心。
IBM”家丑”被泄
STAT收到的内部文件,是时任IBM 沃森医疗部门执行健康官(Health’s deputy chief health officer)Andrew Norden于2017年夏天,在公司内部报告上用的幻灯片。
据STAT的报道,IBM在这份报告里,对沃森的批评毫不留情,要点包括:
△沃森系统的训练,使用的不是真实患者的数据,而是假想患者的假想数据。
△训练数据不够。幻灯片展示了八种癌症。截至报告发布当天,训练数据量最高的肺癌只有635例,而最低的卵巢癌只有106例。
△训练沃森时,对假想患者推荐的治疗方案,是基于纪念斯隆-凯特琳癌症中心专家的方案,而非医疗指南或真实证据。
△在对假想情形进行试验时,沃森开出了不合适且危险的治疗方案。比如,它为一个显示有可能正严重出血的肺癌患者,推荐同时使用化疗和安维汀。然而,安维汀可能引起严重的出血,不应推荐给已经出血的患者。
△用来评估沃森系统和癌症专家间方案相似性的实验,可能有偏向性,使两种方案很容易相同。
人工智能公司 Nara Logics的CEO Jana Eggers在接受STAT采访时指出,沃森系统显然没有使用医疗系统中的大数据,“我搞不懂,明明有真人的真实数据,为什么他们还要生造出一堆幻想的病人出来?”
一些专家认为,如果这些假想数据对真实患者状况有代表性,也能很好地训练沃森。不过,“我们还需要看到数据有代表性的证据”,斯坦福大学生物信息研究中心副教授Jonathan Chen说。
事实上,对沃森的质疑从未断过。早在去年2017年,STAT就发表过一份对沃森医疗人工智能系统的调查,对上述问题都有提及。原IBM 沃森研究中心的Claudia Perlich教授,在2017年接受美国科技媒体Gizmodo采访时,更直言沃森医疗是“小儿科”,“我们数据科学共同体的认知是,沃森能做的,你都应该可能找到免费软件来实现,或者自己做一个。”
此次的内部文件,更多是暴露了IBM自身对沃森局限性的认知。
今年5月,IBM对其沃森医疗部门进行裁员。IBM发言人Ian Colley告诉电气电子工程师学会(IEEE),只有少量沃森医疗部门工作人员被裁掉,裁员也只是部门精简的一部分。然而,被裁掉的一名工程师透露,大约有80%的员工被迫离职。“离职的都是重要技术人员,以及和客户面对面打交道的人,可不是无关紧要的行政人员。”这名工程师说。
推荐治疗并非主流
人工智能在医疗中有很多应用场景,包括医学影像、基因组信息处理、药物研发、健康数据管理、导诊机器人等等。临床诊疗方面的应用对现有医疗实践影响最显著,所以最受关注。沃森肿瘤这种试图根据患者信息,推荐治疗方案的应用,只是其中一种,也不是主流。
目前在临床方面,医疗人工智能多与医学影像相关,着重在为医生提供各式工具,或优化已有影像工具,以帮助他们诊断或治疗。
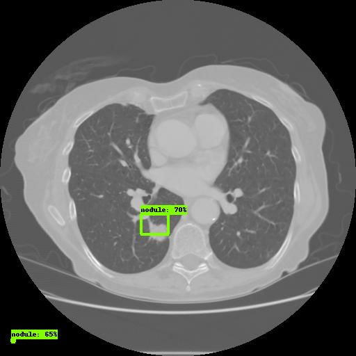
比如,人工智能诊断工具可以从医学影像中识别人眼看不见,或者容易看漏的病灶。在这方面,根据CT影像识别肺结节筛查肺癌,是目前最常见的应用之一。

►利用机器学习,识别肺结节。图片来源:Vatsal Sodha, Medium
也有团队在用机器学习提升医学影像的成像速度和质量。照过X光片的人,可能记得,医生会让病人屏住呼吸。这样做的目的,是为了防止呼吸运动影响成像。X光成像只需几秒钟,但正电子发射计算机断层扫描(PET)通常要进行十几分钟,就不是屏住呼吸能解决的了。目前很多研究团队,通过自动门控技术,修复呼吸对PET成像的影响。

►原始PET成像(a)和使用自动门控技术纠偏过的PET成像(b),(b)图的伪影更少了。图片来源:Walker et al. 2018。
人工智能也可将2D影像变成3D影像,帮助外科医生进行手术。清华大学廖洪恩教授带领的微创诊疗与三维影像实验室,将医学图像智能化分析运用在血管内介入手术,让医生能看见手术导管在血管里的具体位置。他们的评估显示,影像中导管形状与实际导管的误差仅为2.23 ± 0.87 毫米(Chen et al. 2017)。目前该研究还在进行动物实验。除此之外,他们还将该技术用于骨科移植,让医生能看见患者股骨的三维形态,帮助医生匹配合适的植入物。

►血管内介入手术示意图
(来源:Capture Vascular, YouTube)
还有一些应用,中国科学院自动化研究所研究员田捷告诉《知识分子》,是通过人工智能帮助患者避免不必要的手术。外科大夫在为结直肠癌病患做手术前,会为患者做一个辅助化疗,以控制癌症的发展,之后再进行手术。一部分病患在辅助化疗以后,病情已经完全缓解,但医生无法判断患者体内是否还有癌细胞。田捷介绍,他所在研究所和北大肿瘤医院的合作研究,通过分析医疗影像,有90%的把握把那些已经缓解的患者筛选出来,免受开刀。
北美放射医学大会这样描述未来的医学影像中心:“医学影像中心就像飞机驾驶舱一样,是各种各样信息的综合体;而未来的医生则相当于飞行员,要处理各种各样的信息”。田捷很赞同这个说法,并补充道,“在我看来,AI不会替代医生,只会更有效地辅助医生。而医生也不应惧怕新兴技术,而是积极地去利用它,使用它。”
医疗人工智能商业前景不明
从实验室里的人工智能研究,到实验室外的商业化产品,过程并不简单。亿欧智库的一项统计显示,11家千万级以上的医疗人工智能企业中,有7家都与医疗影像相关。现在已经有多家公司进驻各大三甲医院。这些产品主要利用目标识别,针对某个疾病,辅助诊断疾病。
由于目前的人工智能产品都只针对单项任务,对医生的帮助有待观察。比如,腾讯觅影针对肺部的影像,识别肺结节。“医生看片时不只找出结节,还需对结节定性。另外,我们肺里还有其他病变,比如:还可能有梗塞,可能还有支气管扩张,还有肺的纤维化等。”广东省人民医院影像医学部主任兼放射科主任梁长虹指出,“如果系统能把五、六种常见病的查找结合在一起,那将满足胸片阅读工作90%以上,才基本上能说帮助到我们医生,减轻我们的负担。”
谈到此次沃森肿瘤问题被曝,东软医疗首席科学家黄峰认为,IBM的问题不会影响到中国的相关产业。“人工智能的作用是多方面的,IBM选择了风险最大的应用。国内企业要务实的多。”黄峰说。
目前来看,医疗人工智能的商业前景还不明朗。“我认为他们现在还缺乏比较好的商业模式,基本都没有产生盈利,基本上还在探索商业模式及利用数据完善产品。”梁长虹说,“现在基本上是把系统给到医院,利用医院的现有数据,对系统进行训练。”在这个意义上,目前人工智能对医院数据的依赖,要大于医院对人工智能系统的需求。
“人工智能辅助诊疗系统尚未获批正式用于临床。用于临床之前,它们需要通过药监局的安全性和有效性的审批。而目前为止,没有任何一个系统得到审批。”田捷说。

参考文献:
1. IBM’s Watson supercomputer recommended ‘unsafe and incorrect’ cancer treatments, internal documents show, STAT,https://www.statnews.com/2018/07/25/ibm-watson-recommended-unsafe-incorrect-treatments/
2. Layoffs at Watson Health Reveal IBM’s Problem With AI, IEEE, https://spectrum.ieee.org/the-human-os/robotics/artificial-intelligence/layoffs-at-watson-health-reveal-ibms-problem-with-ai
3. Why Everyone Is Hating on IBM Watson—Including the People Who Helped Make It, Gizmodo, https://gizmodo.com/why-everyone-is-hating-on-watson-including-the-people-w-1797510888
4. Chen, Fang, Jia Liu, and Hongen Liao. "3D Catheter Shape Determination for Endovascular Navigation Using a Two-Step Particle Filter and Ultrasound Scanning." IEEE transactions on medical imaging 36, no. 3 (2017): 685-695.
5. Walker, Matthew D., Kevin M. Bradley, and Daniel R. McGowan. "Evaluation of principal component analysis-based data-driven respiratory gating for positron emission tomography." The British journal of radiology 91, no. 1085 (2018): 20170793.
6.《2018中国医疗人工智能发展研究报告》,亿欧智库,2018
制版编辑 | 皮皮鱼
本页刊发内容未经书面许可禁止转载及使用
公众号、报刊等转载请联系授权
copyright@zhishifenzi.com
商务合作请联系
business@zhishifenzi.com
知识分子为更好的智趣生活 ID:The-Intellectual