本文引用:张允旭, 苏莉, 邢燕云, 刘晓林, 王强. 姿势解密技术治疗持续性生殖器官兴奋紊乱/生殖器官-骨盆感觉障碍综合征一例并文献复习[J]. 中国全科医学, 2022, 25(17): 2169-2172. DOI: 10.12114/j.issn.1007-9572.2022.0096
Yunxu ZHANG, Li SU, Yanyun Xing, Xiaolin LIU, Qiang WANG. Discovery of Posture Secret in the Treatment of Persistent Genital Arousal Disorder/Genito-pelvic Dysesthesia: a Case Report and Literature Review[J]. Chinese General Practice , 2022, 25(17): 2169-2172. DOI: 10.12114/j.issn.1007-9572.2022.0096
姿势解密技术(discovery of posture secret,DPS)是一种治疗由力学问题引发的体态异常、肌骨疼痛及神经控制障碍的技术,在治疗肌骨疼痛和纠正体态异常方面疗效独特[1]。DPS以患者中立位姿势为治疗基础,通过激发、稳定关节和肌肉活动,最终达到恢复患者正常控制自身神经、肌肉能力的目的。持续性生殖器官兴奋紊乱/生殖器官-骨盆感觉障碍综合征(persistent genital arousal disorder,PGAD/Genito-pelvic dysesthesia,PGAD/GPD)主要表现为自发或继发出现的持续性性兴奋状态和/或生殖器官及骨盆区域的感觉异常[2],多见于女性。该病症状的特殊性会给患者身心造成巨大的压力,严重影响患者的生活质量。近年来,随着关于PGAD/GPD的报道逐步增多,该病引起了国外医疗界的重视,并将其纳入了国际疾病分类-11(international classification of diseases-11,ICD-11)[2],但目前国内相关报道较少见。
1 病例简介
患者,女,36岁,因"腰骶部疼痛,伴持续性生理刺激反应"于2021年9月至青岛大学附属海慈医院康复科就诊。患者约6个月前从长时间蹲位劳动起身后出现腰骶部疼痛,遂入当地医院骨科就诊,查腰椎磁共振成像(MRI)示L4/L5和L5/S1椎间盘突出,伴有L5/S1椎间盘后缘高密度灶,见图1。初诊为椎间盘突出症(L4/L5、L5/S1)和盘缘性腰痛,嘱卧床休息并给予草木犀流浸液片(消脱止-M)和双氯芬酸钠双释放肠溶胶囊(戴芬)口服。因患者症状缓解不明显,多次复诊后考虑为梨状肌综合征,加用局部针灸、理疗和按摩。患者症状持续加重,并出现阵发性会阴部刺激感和双下肢抽搐、无力,骨科医师遂先后建议去神经内外科、妇科和心理科诊疗,效果不佳。患者在1次推拿按摩后自感会阴部刺激症状由阵发性变为持续性,为求进一步治疗遂来康复科就诊。

图1 病例椎间盘磁共振成像检查结果注:箭头示L4/L5和L5/S1椎间盘轻度突出,燕尾箭头示L5/S1椎间盘后部高信号区(HIZ) Figure 1 MRI results of the intervertebral discs |
病史采集时,患者诉"腰痛尚可忍受,生理性刺激太难忍受"。对患者描述的生理性刺激记录如下:(1)阴蒂、阴唇、阴道、会阴及肛周持续性刺激感,有即将达到甚至达到高潮感;(2)症状严重时患者整夜无法入睡;(3)长期行走、站立或端坐均可使症状加重;(4)症状发生时无*爱性**相关想法;(5)伴下腰部、骶尾部疼痛和双下肢抽搐、无力。经查阅相关资料,初步怀疑患者为PGAD/GPD,遂进行针对性查体和辅助检查以进一步明确病因。
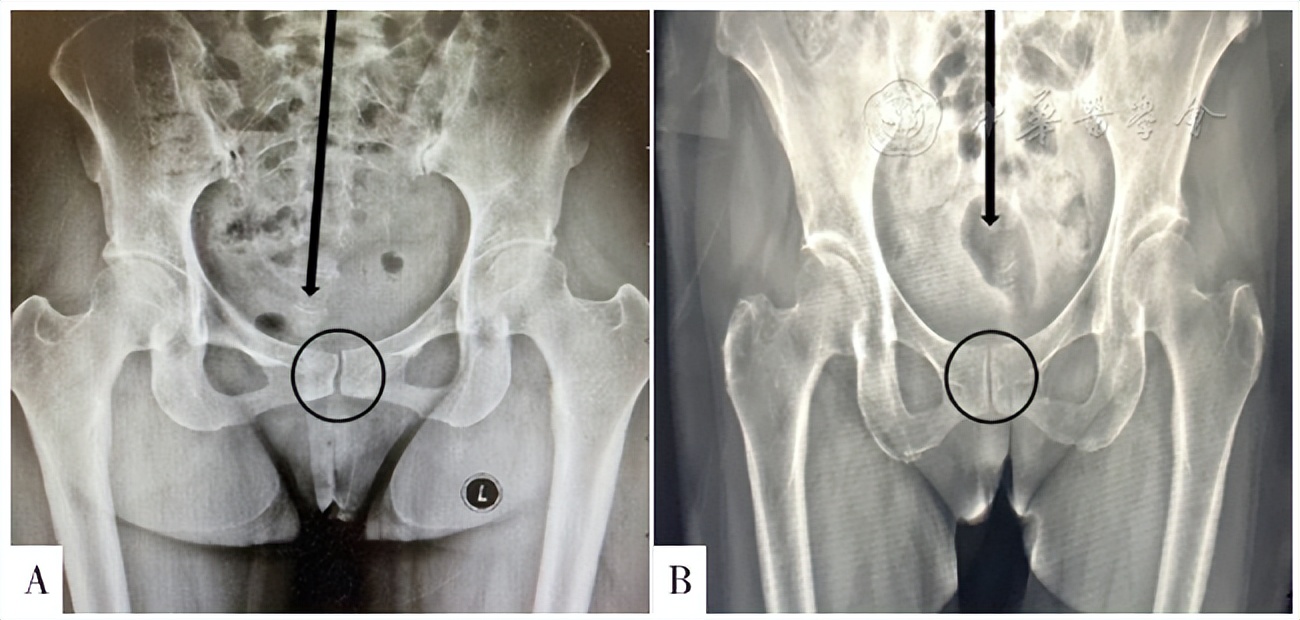
查体结果:(1)平卧时患者左腿比右腿长约1 cm(比较双侧的内踝高度);(2)左侧髂前上棘高于右侧髂前上棘;(3)左侧髂嵴高于右侧髂嵴;(4)左侧髂后上棘低于右侧髂后上棘;(5)双侧骶髂关节区深压痛,右侧重于左侧;(6)耻骨联合区压痛;(7)其他检查阴性。行骨盆X线检查,结果见图2A。

图2 病例骨盆平片检查结果注:A为治疗前,圆圈示双侧耻骨不在同一水平,箭头示骶尾骨向右侧倾斜(提示骨盆旋移);B为治疗后,圆圈示双侧耻骨恢复到同一水平,箭头示骶尾骨恢复居中位置(骨盆旋移纠正) Figure 2 X-ray results of the pelvis |
综合分析症状、病史、查体及辅助检查结果,考虑患者是1例由于骶髂关节紊乱导致骨盆旋移进而诱发PGAD/GPD的特殊病例。明确诊断后,采用DPS对患者进行骶髂关节复位,疗效明显:首次治疗后,患者症状即减轻90%左右;后经4次骶髂关节和骨盆调整(每次间隔3 d)并辅以理疗和相应康复训练,患者症状完全消失。骨盆平片复查结果见图2B。
2 文献检索结果
以"持续性生殖器官兴奋紊乱/生殖器官-骨盆感觉障碍综合征""持续性生殖器官兴奋紊乱综合征"和"生殖器官-骨盆感觉障碍综合征"为关键词,在中国知网、万方数据知识服务平台、维普网中检索中文文献,未见相关报道。以"persistent genital arousal disorder/genito-pelvic dysesthesia syndrome""persistent genital arousal disorder""genito-pelvic dysesthesia"为关键词,在PubMed中检索2001—2021年的文献,筛选有详细临床资料记录的英文文献并排除临床资料不完整的病例,共检出符合要求的文献33篇,包括专家共识1篇、编辑通信2篇、综述9篇、病例报告21篇。
3 讨论
PGAD/GPD由LEIBLUM等[3]在2001年最先描述,当时将该病命名为持续性性兴奋综合征(persistent sexual arousal syndrome,PSAS),后于2006年将其更名为PGAD[4]。2016年国际妇女性健康研究学会(international society for the study of women's sexual health,ISSWSH)首次对PGAD进行了定义,并规定只有当生殖器官兴奋症状持续6个月以上时方可诊断为PGAD[5]。2019年ISSWSH针对这一特殊病症,组织多学科专家讨论并推出专家共识[2],将PGAD更名为PGAD/GPD,对PGAD/GPD的新定义如下:"一种自发出现的让人难受的持续性或间歇性的生殖器官兴奋状态(如高潮边缘感、生殖器润滑感或膨胀感、生殖器刺激、抽动和收缩感),并持续3个月以上;可伴有其他的生殖器官-骨盆感觉障碍(如灼热感、抽搐感、瘙痒感和疼痛感等)"。
PGAD/GPD的流行病学特点和病理、生理机制尚不明确,一般认为是一系列复杂的生理、心理和社会因素导致了该病的发生和发展。目前认为该病的致病因素有:(1)心理因素:此观点以LEIBLUM等[3]建立的心理模型为代表,认为对正常性反应的负性认知,如回避、厌恶和恐惧会增加患者的焦虑情绪和交感神经系统的活动,进而增加患者生殖器官的兴奋性,并使其注意力在此方面过度集中,形成恶性循环,导致PGAD/GPD的发生[6,7,8,9,10,11]。(2)药物因素:抗抑郁药中的选择性5羟色胺再摄取*制剂抑**(selective serotonin reuptake inhibitor,SSRIs)和选择性5-羟色胺-去甲肾上腺素再摄取*制剂抑**(selective serotonin norepinephrine reuptake inhibitor,SNRIs)的启用和停用均可导致PGAD/GPD的发生[12,13,14,15,16,17,18]。(3)神经系统因素:功能磁共振检查(fMRI)结果显示,PGAD/GPD患者受累的神经通路似乎是一致的,最终均表现为大脑皮质旁中央小叶的过度兴奋[19]。从大脑皮质、脊髓、马尾神经(主要为S2~S4脊神经根)到最终分布于盆底器官的末梢神经,这一传导通路上的任何病变导致的神经刺激或卡压均可能引起相应的PGAD/GPD症状[2,19,20]。(4)创伤因素:各种累及大脑、脊髓及下腰部及骨盆周围结构的创伤,如车祸、坠落、生产和运动损伤,理论上均有诱发PGAD/GPD的可能[21]。(5)其他因素:激素水平异常,血管畸形、脑脊髓病变以及原因不明的特发性PGAD/GPD。本例患者病因可归类于创伤因素,其因创伤导致骶髂关节功能紊乱(骶髂关节半脱位),而骶髂关节功能紊乱长期得不到纠正导致骨盆旋移,骨盆旋移导致盆底肌肉韧带异常紧张和移位,紧张和移位的肌肉韧带卡压盆底的阴部神经,最终引发PGAD/GPD症状。因患者症状涉及几乎全部盆底器官和下肢,本研究分析其应是阴部神经主干受卡压伴坐骨神经受累,见图3。

图3 阴部神经在盆底的走行及分支演示图注:虚线框示神经卡压发生的部位 Figure 3 Schematic illustration of the course and branches of pudendal nerve at the pelvic floor |
骶髂关节紊乱是下腰痛的常见原因之一,原发性疼痛一般位于骶髂关节周围,因骶髂关节紊乱常伴有周围结构受累,故疼痛可向腰部、臀周、大腿甚至小腿和足底放射[22,23]。骶髂关节是位于骶骨和髂骨之间的一对耳郭形双关节,与前部的耻骨联合一起将骨盆的骨性结构连成一个闭合的环。骶髂关节的关节面扁平,彼此对合紧密且周围有关节囊及多条韧带加强,故骶髂关节属于微动关节,通常不易发生移位。在某些特殊情况下,如骨盆部位的直接*力暴**创伤(车祸、坠落等)、妊娠和生产、慢性劳损、长期不良姿势及系统性疾病等,均有可能破坏骶髂关节的稳定性,导致骶髂关节功能紊乱(骶髂关节半脱位)。长期处于紊乱状态的骶髂关节使骨盆环的受力失衡,进而导致骨盆倾斜和旋移,旋移的骨盆骨性结构使附着于其上的肌肉韧带的位置和长度发生改变,从而卡压邻近的神经,最终引发相应症状[24,25]。本例患者应是在长时间下蹲劳动后突然起身,导致骶髂关节半脱位,后因骶髂关节功能紊乱(骶髂关节半脱位)未能得到及时纠正进而引发骨盆旋移及一系列症状。
DPS是由王强教授与元相喜教授共同创立的一种整体精准手法治疗技术[1],该技术在融合了国际上其他各种有关姿势矫正技术优点的基础上加入了独创的关节剪切运动(joint shear movement),在治疗肌骨疼痛和纠正体态异常方面疗效明显[1]。DPS的核心是4R治疗原则[1]:矫正关节异常对线(resetting joint malalignment,RJM),矫正异常肌肉功能(resetting abnormal muscle,RAM),恢复关节稳定性(resetting joint stabilization,RJS)和恢复感觉运动控制(resetting sensory motor control,RSMC)。本研究团队采用DPS,第一次治疗便纠正了本例患者紊乱骶髂关节的异常对线,使其症状明显减轻;随后继续利用DPS并辅以相应的功能锻炼和理疗,矫正了患者异常的骨盆肌肉和韧带功能,并恢复了其骶髂关节的稳定性和感觉运动控制。经4R手法处理后,本例患者症状完全消失且随访1个月无复发。
综上所述,PGAD/GPD因其特有的症状,在影响身体健康的同时也给患者带来了极大的心理和精神压力,部分患者会出现焦虑、抑郁甚至自杀行为。如何正确认识及诊疗PGAD/GPD已成为国外医疗界越发重视的问题。国外研究者已将其纳入ICD-11,并由ISSWSH组织专家组制定和发布PGAD/GPD诊疗专家共识。国内罕有关于PGAD/GPD的相关报道,对该疾病认识不足是目前我国医务工作者在诊疗过程中所面临的最大问题。神经卡压是导致PGAD/GPD的重要原因之一,DPS可以有效消除由骨关节移位以及肌肉、筋膜、韧带等软组织张力和位置改变导致的神经卡压。受我国传统文化影响,中国女性在性问题方面相对西方女性更加保守,自我羞耻感和伦理的压力无疑会成为妨碍女性患者积极寻求医疗帮助的巨大阻力。只有将积极的宣传教育和深入的临床研究相结合,才能使我国医务工作者在今后的临床工作中正确认识和诊疗PGAD/GPD。
本文无利益冲突。
参考文献略
姿势解密技术治疗持续性生殖器官兴奋紊乱/生殖器官-骨盆感觉障碍综合征一例并文献复习