目前,疱疹性咽峡炎已进入高发期。
梳理发现,已有湖北、湖南、四川、陕西、广东等多地医疗卫生疾控部门针对此病发布提示及应对措施。
社交媒体上也有部分家长发文,表示自家孩子“中招”患上疱疹性咽峡炎,反复发烧、睡不好,满嘴的疱疹又吃不好。
看着生病的孩子,父母格外心疼,照顾起来也心累。
如果你和孩子正在被这个流行病“折磨”,接下来的问题解答希望能减轻照顾生病孩子的压力:
孩子疑似患有疱疹性咽峡炎,需要做血常规检查吗?疱疹性咽峡炎如何与手足口病区分?有针对疱疹性咽峡炎的特效药吗?孩子发热、不愿意进食,家长可以做什么?
二孩家庭,怎样防止交叉感染?
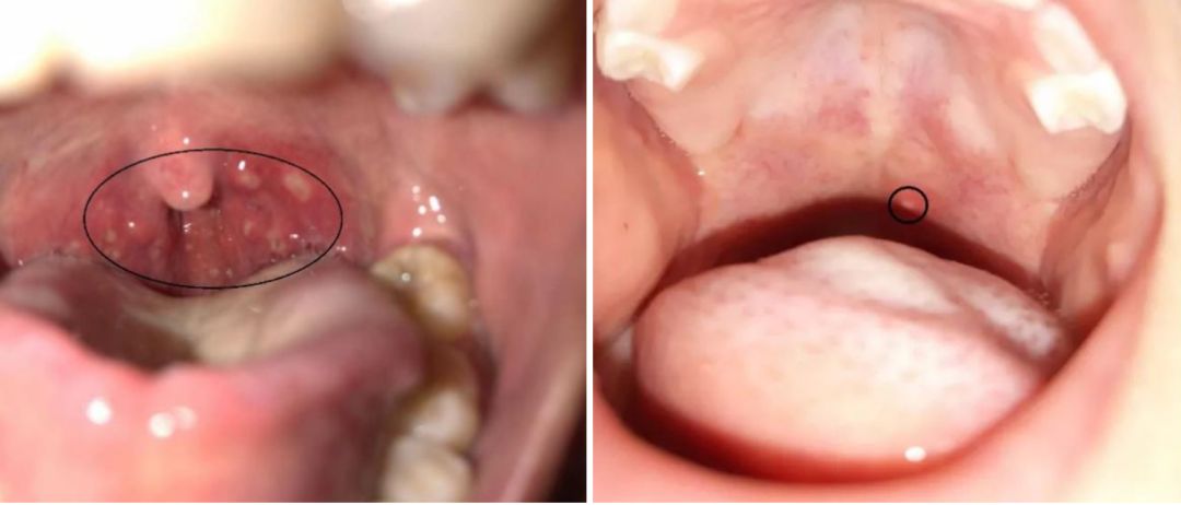
怎么判断疱疹性咽峡炎?
疱疹性咽峡炎是由肠道病毒感染引起的,由于病毒以肠道和呼吸道为主要的传播途径,具有很强的传染性。
这也是为什么最近很多小孩“中招”,因为幼儿园的集体生活为传播提供场所。
当孩子被疱疹性咽峡炎盯上,可能会出现急性的发热、咽峡部的疱疹。
■ 发热会到怎样的程度?
一般发热以中度发热常见,部分孩子可出现高热,通常病程发热持续2~4天。
由于口腔存在疱疹,孩子进食时会出现疼痛,因此会出现不愿意进食,同时流口水症状比较明显,也可伴随有流鼻涕、咳嗽等呼吸道症状。

疱疹性咽峡炎/图源怡禾健康
假如孩子出现了上述表现,到医院要做什么检查吗?
确诊疱疹性咽峡炎主要根据孩子的临床表现和查体情况决定,不需要为了确诊查血常规。
如何与手足口病相区别?
大河健康报(ID:dhjkb999)此前的报道《疱疹性咽峡炎最近很“凶”》中,我们提过疱疹性咽峡炎和手足口病病毒是同一个家族。
它俩就好比一根藤上结出的两个毒瓜,样貌不同,但是本质一样。
疱疹性咽峡炎需要与手足口病相区别,虽然两者都是由肠道病毒感染引起的,但疱疹性咽峡炎不会出现皮肤的皮疹。
因此,家长可以通过观察孩子的手足以及肛周是否有皮疹来判断;如果孩子手足肛周无皮疹,不支持手足口病,考虑疱疹性咽峡炎。
■ 相关阅读:如何观察皮疹?
手足口病:
口腔皮疹主要集中在靠前的位置,舌头、颊黏膜较多,同时手足或者臀部可以看到皮疹。
疱疹性咽峡炎:
口腔皮疹以喉咙部位多见,位置相对靠后,不伴有四肢臀部等部位的皮疹。
手足口病孩子发热以低热为主,而疱疹性咽峡炎孩子体温常可达38.9~40℃,甚至40℃以上。
如果实在记不住,参考下表:

孩子不舒服怎么用药?
手足口病还是疱疹性咽峡炎都属于自限性疾病,也就是不吃药、不打针,绝大多数轻症宝宝都能够自愈。
目前,没有任何抗病毒药证实对这类病毒有确切的疗效,不建议服用任何药物来“抗病毒”,包括利巴韦林、干扰素、阿糖腺苷等,更不建议使用蓝芩口服液、蒲地蓝消炎口服液、喜炎平、炎琥宁等中成药。
对于网红药奥司他韦,同样不建议使用。因为奥司他韦是针对流感病毒的药物,对肠道病毒是无效的。

另外,炎X宁、安X宁等中成药对肠道病毒感染无确切的疗效,赖氨肌醇B12和维生素B2对疱疹性咽峡炎也无治疗作用,因此均不需要使用。
对于重症的手足口病或疱疹性咽峡炎,因其存在危险性,建议及时就医。
家长能做哪些准备?
吃药不管用,家长可以怎么做呢?针对疱疹性咽峡炎,主要是对症处理,缓解孩子的症状,增加孩子的舒适性。
■ 体温控制
发热时,家长需要持续多次观察孩子的体温变化,如果孩子发热伴有明显的不舒服,可以使用退烧药来进行退热处理。
对乙酰氨基酚(≥3个月)与布洛芬(≥6个月)都可以作为首选退烧药,如果有胃肠道的症状,建议首选对乙酰氨基酚。

■ 那用某一种退烧药退热效果不佳时该怎么办呢?
首先应该检查剂量是否合适,布洛芬按每次5~10 mg/㎏给予,对乙酰氨基酚使用剂量为每次10~15 mg/kg。如果孩子使用剂量偏小,可以考虑调整为最大剂量。但是,不建议布洛芬与对乙酰氨基酚交替使用。
需要提醒的是,退热只是改善症状,增加孩子的舒适性,对病毒感染本身没有治疗作用。
孩子发热时间可能会持续2~4天,发热会存在反复的情况。如果孩子热退后精神状态好,活动正常,呼吸平稳,这种情况下就不需要担心。
随着病毒在体内被清除,感染控制了,孩子体温就会逐渐恢复正常。
■ 更多阅读:如何应对孩子发烧?
① 精神状态观察
由于疱疹性咽峡炎时有少部分会合并中枢神经系统的感染;因此,对孩子的精神状态及神志情况的观察同样重要。
如果孩子出现热退后精神差、嗜睡、肢体活动的障碍(频繁的抖动)时,就需要及时接受检查和治疗。
② 口腔护理
由于孩子口腔存在疱疹,会出现疼痛,孩子不愿意进食,因此食物以流质半流质饮食为宜,避免食物过热,建议奶、水以温、凉为宜,也可将奶或水冰一下,来减轻疼痛,帮助孩子进食。
同时,注意漱口刷牙,保持口腔的卫生,避免继发细菌感染。

哪些情况需要就医?
家长需要对这些情况持续观察:
如果孩子热退后精神反应差,或者持续高烧不退(服用退烧药后2小时体温仍39度以上)
出现肢体频繁的抖动,出现肢体运动障碍
出现口腔疼痛不能进食,导致孩子超过6~8小时无尿
出现但不限于以下表现时需立即就医:
精神萎靡,嗜睡,呕吐,肢体抖动,抽搐,站立或者坐立不稳;
呼吸急促,心率增快,四肢冰凉,甚至皮肤出现花纹;
中度或者重度脱水,表现为小便明显减少,泪液减少,眼窝凹陷。
■ 防止交叉感染
由于疱疹性咽峡炎具有很强的传染性,并且主要是通过呼吸道飞沫、密切接触以及消化道进行传播,如果两个孩子不能做到很好的隔离,这种情况下孩子被交叉感染的机会极大。
因此,二孩家庭需要做好隔离,并且将孩子的玩具用消毒液浸泡,浸泡后用清水冲洗,这样可以减少交叉感染的机会。
更多疱疹性咽峡炎小知识
疱疹性咽峡炎的病程表现:
① 潜伏期
2-7天,患儿没有任何症状,但体内病毒在大量复制。
② 前驱期
1-2天,突然持续高热或反复高热38℃-40℃,并伴有咽喉红肿、食欲不振等症状。
③ 水疱期
2 - 3天,除高烧外,口腔上腭粘膜出现水疱。
④ 溃疡期
低烧或退烧,但也到了患儿最痛苦的时期,因溃疡疼痛出现流口水甚至拒食的现象。
提示:患病期间,家长要随时监测孩子体温,可使用物理降温或服用退烧药,防止高热惊厥。
全身和咽部症状体征一般在1周左右自愈,预后良好,个别重症患儿会出现脑炎、无菌性脑膜炎、急性迟缓性麻痹、肺水肿和(或)肺出血、心肌炎等并发症,甚至导致死亡。
■ 治疗护理意见为:
1.患儿居家隔离2周,避免交叉感染;
2. 注意休息,清淡饮食,流食或半流食,少食多餐;
3. 口腔护理,饭后淡盐水或生理盐水漱口,低龄患儿可以用生理盐水擦拭口腔;
4. 发热患儿多饮水;给予物理降温,如温水外敷、温水浴及退热贴等,亦可遵照医嘱给予退热药物等药物降温。常用退热药物有:布洛芬、乙酰氨基酚,两次用药的最短间隔时间为4小时,24小时不超过4次;
5. 进食困难及高热不退的患儿应适当静脉补液,以防止电解质紊乱;
6. 病情观察,密切观察体温,警惕高热惊厥发生;密切观察患儿精神状况和饮食状态,如有精神差、嗜睡、烦躁不安、面色苍白、惊厥等,需及时就医。
但有脑干脑炎、急性迟缓性麻痹、无菌性脑膜炎、心肌炎并发症者为重症患者,需住院治疗。
来源 怡禾健康 荆州卫生健康 澎湃新闻