吸烟有害健康!
感谢社会各界多年的努力,这句口号人人皆知!!
然而,仍有许多人主动呼吸一手烟,仍有许多人被迫呼吸二手烟、三手烟,更不要说尚未提上日程的吸烟有害宠物(划重点)!!!
吸烟有害宠物,这种伤害并不仅仅指吸烟时所产生的烟雾,还包括残留在皮肤(毛发)、衣服、家具、地毯等环境中的物质。
So,你敢想象有多少宠物正在遭受香烟的荼毒吗?

点燃香烟那一刻,伤害已经开始
吸烟,为什么有害?
你知道吗?
吸烟会引起身体几乎所有器官病变。
成年吸烟者可能会发生诸如心脏病、慢性阻塞性肺病、肺癌和膀胱癌、中风、动脉硬化和哮喘;暴露在二手烟中的成年人会发生心脏病、中风和肺癌,儿童则会引发哮喘、耳部感染和婴儿猝死综合症。

你知道吗?
一支烟含有将近600种成分,燃烧时会释放7000多种化学物质,93%名列美国食品及药品管理局黑名单上。
其中,最臭名昭著的有这些:
✘ 氨
✘ 砷
✘ 苯
✘ 一氧化碳
✘ 甲醛
✘ 氰化氢
✘ 铅
✘ 汞
✘ 尼古丁
✘ 甲苯
✘ 铀-238.
这些物质的危害,不是所谓一手烟二手烟即刻发威即刻结束,而是沉浸在岁月中持续不断的发酵。
一项研究表明,有人在家抽烟后,即使进行了彻底的大扫除,三手烟仍然在这个家庭中保留了数月之久。
也就是说,只要以前有人在这个空间里抽烟,后来者就能感受到那股“烟味”,它们不断重新释放到空气中,在潜移默化中伤害每一个过客:尼古丁喜欢粘附在家具、墙壁、地毯和异物上,和空气中的亚硝酸化学反应后形成致癌化合物;另外一些化合物则附着在空间表面,宠物在无意识的舔咬中接触到;或重新气化回到空气中,通过呼吸潜伏在人和宠物身体里……

不幸的是,香烟释放的有害物质大量“沉着”在地板附近空间里(灰尘、地毯、家具),孩子、猫和狗则是这个空间里最主要的生命体。
另外,即使宠主在外面抽完烟洗漱过回家,身上依然会残留“顽固”的三手烟,通过触摸舔咬来伤害宠物们。
吸烟,带给宠物什么?
科学家们正在调查吸烟对宠物的影响,但现有的信息量和对人们影响相比还是比较少的,然而却非常重要,这些信息像我们揭示了暴露在二手烟、三手烟中的宠物会发生什么。

抽烟对狗有什么影响?
对于已有呼吸问题和肺部不适的狗狗来说,吸入*草烟**烟雾会加重它们的症状,并开始慢性咳嗽。
研究表明,暴露在二手烟三手烟中的狗狗,呼吸道和肺部变化与吸烟者相似。
超细烟雾颗粒能激活狗狗免疫系统,唤醒肺泡巨噬细胞,这种细胞识别入侵肺部的细菌、真菌或病毒,并向免疫系统中的其他细胞发出求助信号,告诉它们加入肺部保卫战。它们也充当着肺部小管家,寻找、识别并除掉进入肺部的*草烟**烟雾、颗粒粉尘等。因此,暴露在*草烟**烟雾中的狗狗肺泡巨噬细胞数量狂增,其中一部分也因此含有黑烟颗粒。
对不同品种的狗狗,*草烟**烟雾影响有区别吗?
这取决于狗鼻子的长度。因为鼻子是狗狗最大的空气过滤器。
想象你打扫脏屋子时擦出来的脏鼻涕,鼻窦里的粘液就像胶水一样捕获灰尘、花粉和*草烟**烟雾颗粒,将它们阻挡在肺部之外。显然,长鼻子能捕获更多有害物。
可是很不幸,*草烟**烟雾中含有大量致癌粒子,所以擅长把致癌物截留在鼻腔内的长鼻犬种患鼻癌的风险直线上升,短鼻犬种更容易患肺癌。
抽烟对猫有什么影响?
热衷梳理毛发的猫咪若生活在烟雾缭绕的家庭里,简直就是个灾难!
它们不仅直接“吸”二手烟,还勤劳的“吃”掉三手烟。

研究表明,生活在吸烟家庭的猫患口腔鳞状细胞癌的几率是其他猫的两到四倍。
这些癌细胞往往发现于舌根下,在罹患口腔鳞状细胞癌的猫科动物中,即使它们接受化疗、手术或放射治疗,也只有10%的能在确诊后存活1年。

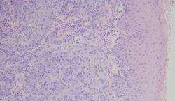
Figure 1:图2所示的猫口腔鳞状细胞癌显微观察

Figure 2: 图1所示肿瘤,猫舌与鳞状细胞癌
与一天吸烟量超过一包者一起生活的猫咪,患淋巴瘤的风险是普通猫的3倍。
这种和非霍奇金淋巴瘤相似的免疫系统癌症,治疗后生存时间只有6个月。
抽烟对鸟有什么影响?
鸟类对空气污染特别敏感,尤其是*草烟**烟雾。
它们呼吸系统的变化,类似于那些暴露在*草烟**烟雾中的儿童。
由于和猫一样爱“打扮”自己,鸟儿很容易把附着在羽毛上的三手烟颗粒吃了,而日常和主人的互动中,鸟儿也容易从主人的衣服、手和头发中摄入三手烟。

烟酒不离手,快活毁所有
与吸烟者生活在一起的鸟类可能发生:
· 鼻窦炎
· 肺炎
· 过敏
· 肺癌
· 拔毛
· 眼睛问题
· 皮肤异常
· 心脏问题
· 生育问题
这些疾病中一些如肺炎、肺癌和心脏病,可能导致死亡。其他的问题如过敏和拔毛,如果主人不戒烟基本无法治疗。
抽烟对豚鼠有什么影响?
袖珍宠物对*草烟**烟雾没有免疫力。
在一项研究中,暴露于二手烟6个月以上的豚鼠肺组织发生了和吸烟者相似的细微变化,它们同时还发生了肺气肿、肺动脉高压等问题。
在另一项研究中,长期暴露于*草烟**烟雾中的豚鼠由于代谢被毒性影响而减少,进而体重下降。这项研究的研究员称5周后豚鼠的体重开始下降,之后镜下观察发现豚鼠的肺部也开始变化。
抽烟对鱼有什么影响?
信不信由你,吸烟有害宠物鱼!
尼古丁对鱼有毒。无论是二手烟还是三手烟,都含有大量尼古丁,而尼古丁很容易溶解于水,然后把鱼毒死。
暴露在尼古丁中的鱼儿会发生肌肉痉挛、鱼鳍僵硬和掉色,直到死亡。

所以,这就是烟熏鱼的来历吗?
*草烟**中的尼古丁和其他化学物质对鱼类到底有多大的毒性?
这里有一个简单的实验来说明,科学家把一个烟头扔进装有两周大黑头呆鱼的水中,96小时内就死掉一半的鱼,而这仅仅是一支烟头。
尼古丁中毒与宠物
对宠物来说,尼古丁中毒是一个严重问题,而且没解药。
不仅在吸入尼古丁的情况下,还包括吃掉的情况:宠物误食了烟头、误喝了补充液、咀嚼电子尼古丁释放装置等。
即使小剂量的尼古丁也可能有毒。据报道,猫和狗的致命剂量为20-100毫克,一支普通的香烟含有9-30毫克尼古丁,而一根雪茄包含15-40毫克尼古丁,而看似无害的烟头,含有5-7毫克尼古丁。
所以误吃了烟灰缸中烟头的猫狗,以及在室内漫游的鸟儿,都可能发生尼古丁中毒。
宠物尼古丁中毒迹象包括:
△ 呕吐
△ 重心不稳,身体摇摆
△ 流口水
△ 疲劳
△ 心跳速度快
△ 颤抖
△ 虚弱
△ 癫痫发作
△ 死亡
如果你的爱宠吃了一支香烟/雪茄、若干个烟头、一个尼古丁补充胶囊……这都是必须谨慎对待的紧急情况!尽快送它去宠物医院进行静脉输液和抗癫痫药物的支持性治疗,帮助宠物从尼古丁的魔掌中存活。

最后,珍爱宠命远离香烟!
备注:图片源自网络仅供参考