病历描述:气短、咳嗽、咳痰20余年的中年患者何故多次住院治疗无效?气管、左右支气管及各分支弥漫性胶冻样增厚又是因为何种原因?一例反复发作治疗无效的疑难病例带给我们怎样的思考?
患者汤忠秀,性别: 女,年龄:45,职业:农民
主诉:气短、咳嗽、咳痰20余年,加重伴发热4天。
现病史 :患者20年前无明显诱因出现活动气短,偶有咳嗽伴少量咯血,“感冒”后加重,咳嗽、咳黄脓痰,多次于当地医院予抗感染、化痰、平喘处理后症状缓解。1997年于当地医院行支气管镜检查,自诉有声带结节,术中取活检时明显出血遂未做活检。2015-09-04入苏州永鼎医院就诊,行胸部CT平扫(2015-09-04)考虑两肺多发支气管扩张;两肺少许陈旧性病灶。临床诊断为:支气管扩张,后于我院住院治疗。4天前,患者受凉后出现发热,体温最高38℃,咳嗽、咳黄痰,于当地吴江市第一人民医院查血常规16.13*10^9/L,N 11.2%。胸片:符合支气管炎伴两肺感染X线征象,静滴“左克”等药物治疗(药物及剂量不详)4天,体温降至正常,但仍有咳嗽、气短不适。
既往史:无其他内科慢性疾病,有无结核等传染病史
个人史:无吸烟史,无特殊接触史(如粉尘、活禽、疫区、传染病患者等)
查体 :声音嘶哑,口唇无发绀,胸廓无畸形,双肺叩诊清音,听诊双呼吸音清,双肺及气管吸气相可闻及干鸣音。心界不大,心率84次/分,节律规整,各瓣膜区听诊未闻及杂音。
辅助检查 :
血沉(2015-10-08):24mm/H;。
血沉(2015-10-12):红细胞沉降率: 9mm/H;。
血常规(2015-10-12):白细胞计数: 5.36X10^9/L;中性粒细胞百分比: 65.5%;淋巴细胞百分比: 26.7%;。
高敏感C反应蛋白 (2015-10-08): 34.4mg/L;
高敏感C反应蛋白 (2015-10-12) :3.5mg/L
心脏标志物(2015-10-14):心肌肌钙蛋白T: <0.003ng/ml;肌酸激酶MB质量: 0.5ng/ml;。
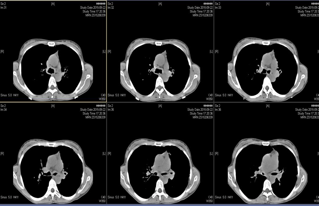
( 2015-9-22 ) 我院气管三维重建CT示 :气管、主支气管及其分支形态欠规则,管壁见明显增厚,管腔内壁凹凸欠光整,肺门处支气管管壁明显增厚,可见少许钙化,肺门处支气管管腔局部狭窄,远端分支管腔扩张呈囊柱状。见图1—图4。
图1

图2

图3

图4
入院后诊治经过
入院后患者于2015-10-1于全麻下行 (气管(或支气管)镜中)支气管镜活检术
手术经过:患者全麻后经口喉罩机械通气支持下,经三通通气管插入纤支镜观察,见气管、左右支气管及各分支弥漫性胶冻样增厚,触之易脱落。于左主及右中间支气管增厚处行活检送病理检查。活检后观察未见活动性出血。
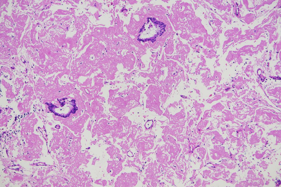
病理诊断
1.(支气管)见较多嗜伊红物质,散在粘膜上皮细胞,待特染助诊。
2.补充报告(2015-10-16):(支气管)破碎粘膜上皮伴弥漫性淀粉样物质沉着。见图5
3.免疫组化(2015-N16002):15S32397-001:CK7(上皮+),CD68(组织细胞+),TTF-1(上皮+),P63(部分上皮细胞+)
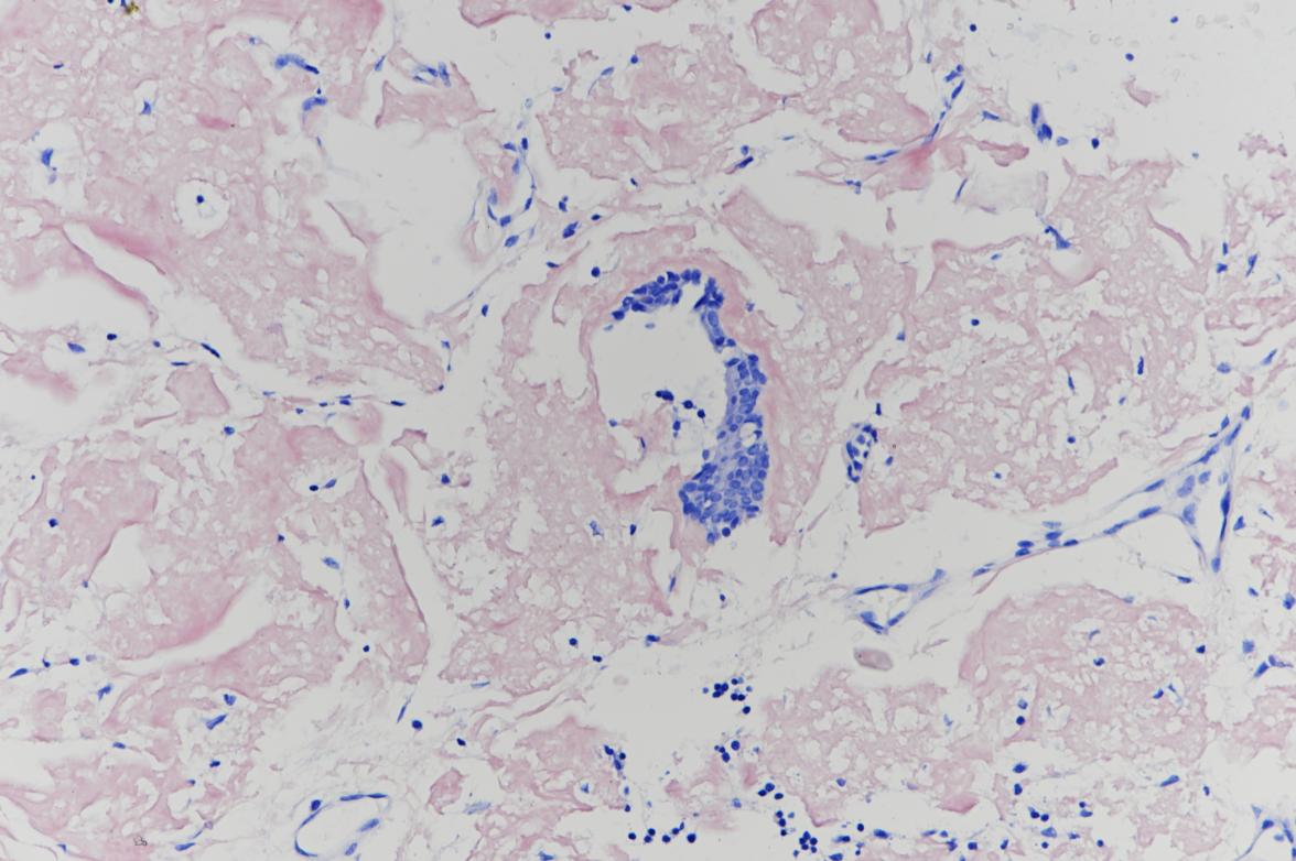
4. 特染:刚果红(+),见图6,网染(示网状纤维较少),AB(-),PAS(-)

图5

图6
诊断:支气管肺淀粉样变
治疗:
目前仍有无有效治疗方法
1.局部治疗:(局限性病变)
Nd:YAG 激光
Cryotherapy 冷冻疗法
Rigid bronchoscope 硬质支气管镜
External beam radiation therpy 外放射治疗
2.免疫抑制治疗(系统性病变)
系统性病变:多数学者认为气管支气管淀粉样变为自身免疫过程所致,因此治疗以免疫抑制治疗为主。最常见的类型为AL型,多与骨髓瘤和B细胞肿瘤有关,但潜在的分泌细胞很难发现。
秋水仙碱:反应率很低
马法兰+强的松:疗效较秋水仙碱稍好
硼替佐米(万珂):降低单克隆免疫球蛋白轻链过度沉积
3.自体干细胞移植术
更多病历可到医生汇(医学V直播)观看。