#我的2022##生命摆渡人##2022重庆头条#
医院就像一面镜子,照出了世间的人情冷暖,缩影了众生疾苦。前几天才说到的独自照顾两个进行性肌营养不良孩子的伟大母亲,之前提到的带着母亲四处奔波求医,无数次崩溃大哭的女儿,无数平凡而伟大的故事一次次震撼着我,也感动着我,所以我总是希望尽我所能让每一位肺结节患者都能被温柔以待,给他们被病痛折磨的身心带去一点温暖,义诊之路绝不间断。
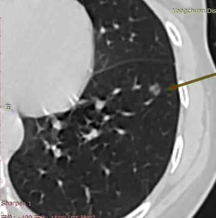
今天分享的又是一位坚强的母亲,丈夫做了肾癌手术,正需要人照顾的时候,家里还有年幼的孩子,她在体检查出8mm混合磨玻璃结节,虽然看出她自己也很焦虑,但在她向我求助的帖子中,可以看出她字里行间更多的是对家庭对孩子的担心,却没有对手术的恐惧,反而希望尽快手术让自己好起来可以回去照顾家人,可叹可敬。虽然患者是高危结节,但我看了以后肯定并不严重,只需要楔形切除小手术就可以搞定了,最后虽然大病理是浸润与我术前判断的微有一点小小的出入,但其实浸润灶非常小,只是因为腺泡为主让大病理升级了,但其实非常接近微,已经治愈了。
以下转自患者咨询:
2022-04-08
我是2021年10月体检发现肺部有个8MM的混杂密度结节,吃了半个月消炎药和夏枯草口服液,于2022年4月7日复查,复查结果的CT报告单没有报告这个结节,但复查医生查了他的电脑告诉我结节还在,大小感觉没变化,还说是混杂又挨到血管一定要注意,叫过半年再复查。我很担心也很紧张,我老公2017年甲状腺癌手术,2021年1月肾癌手术(右肾和右边输尿管全切),我家孩子还小,万一我又倒下了怎么办哟,孩子和老公都需要我。我不能倒下,我很焦虑。不知道我这结节如何?如果能手术我希望能快些手术。恳请戴主任百忙之中帮我看看。万分感谢!感谢可可西里和冷月教我发贴帮我截图,也希望吧友顶我上去,让戴主任看到我的帖子。谢谢大家。

我的回复:
很像微浸润腺癌,楔形切除小手术还可以根治,不需要任何后续治疗。
2022-06-18
去年10月,在我们县城医院体检,报了一个8mm的混磨,可能不懂,可能没时间关心自己(我老公2017年做了甲状腺癌手术,2021年1月又做了肾癌手术),医生叫吃消炎药下次去复查,我也没太在意,偶然的一次百度看到了戴主任的科普说首次发现肺结节吃半个月的拜复乐和一个月的夏枯草口服液,然后我也买来吃了,等下次复查,这事就慢慢忘了……
今年4月7号,我老公去县城医院复查,待他拿到所有检查结果已是下午5点过了,庆幸的是他的指标都还好,然后我才告诉医生我想复查我的肺结节,可能检验科医生太累了,当天的CT报告竟然漏了我8mm的混合密度肺结节,拿到CT结果我去告诉医生我的8mm肺结节没有了,医生问是没有了还是缩小了?我说CT报告纸质单上面没写了,他质疑地说我帮你再看看电脑………然后告诉我这个结节还在,他又对比了上次的CT说感觉大小没变化。不过提醒我他感觉这个结节不太好,叫我一定留意。我很感谢这位医生仔细帮我看了电脑发现这个8mm结节还在,要不然又会拖到猴年马月……
每次老公要复查了,都会很紧张,复查过了又松了一口气。想着医生对我说的话,我开始疯狂在网上各种百度,越了解越紧张,然后试着百度贴吧发帖求助,非常感谢可可西里,桃之夭夭,冷月,小蒙以及其他吧友对我的帮助,我抢到了4月11号的面诊号,戴主任也在贴吧给我留言说“很像微浸润腺肺癌,楔形切除小手术还可以根治,不需要任何后续治疗”。尽管很紧张,但看到戴主任给我的留言能根治也很欣慰。
4月11号下午5点过怀着忐忑的心情终于见到了广大肺结节病友心中的戴主任,戴主任高大威猛,和蔼可亲,是广大迷茫的肺结节病友们心中希望的光。面诊的时候戴主任也告诉我很像是微浸润,给我开了住院证,可能是见我的确太紧张,戴主任看了电脑里的CT站起来的时候轻轻的捏了一下我的手臂,安慰我说别紧张,这个“小小的举动”是对我的鼓励和安慰,但真的让我感觉好温暖好温暖。傍晚7点左右我离开医院的时候,还有20~30个病人及家属围着戴主任。
6月5日我办理的住院,7日做的手术,术后不痛也不咳,手术当天下午手脚可以在床上自由活动,如果不是插了尿管感觉我手术当天就能下床活动,手术第二天我可以独立上下床(我隔壁床的病友下午2点过出手术室,晚上就在手机上打麻将赢钱钱)。我发了视频给家人朋友,她们都认为我们做了一个假手术。但是,我的大病理结果升级了,少了微,浸润了,新桥CT报告结节7mm*5mm,平均CT值—400多,实占比约50%。大病理60%腺泡+40%贴壁,浸润了。尽管是1A1,但不再如微浸润根治了,我好紧张。我家孩子还小,我老公又生病,我不怕死,只是担心万一我和我老公都不在了孩子怎么办?我做了基因检查,还没拿到结果,也是一直担心。昨天我老公告诉我他肚子有点不舒服,我问他是不是要复查了(他三月复查一次)紧张的原因。然后我们谈起,我和他现在都生病了很不幸,但如果先死的那人可能还是相对幸运的,至少有另一半照顾终老………


我的回复:
非常接近微,其实浸润灶比微还小,只是以腺泡为主,所以浸润。也一样根治了。