一位来自山西高校的中年教师,2021年12月起反复出现腹痛症状,辗转反复就诊后,最后在山西医科大学第一医院确诊为:胰腺癌 肝转移。对于一个家庭来讲,无疑是晴天霹雳。大家对癌中之王的认知一直心存恐惧,如何延长患者的生存期,是患者及家属的期望。
胰腺癌是最最致命的实体瘤之一,其具有生物学侵袭性,大多数患者诊断时已是局部晚期或者转移性疾病。大约50%的胰腺癌患者诊断时合并有远处转移,主要转移部位在肝脏。化疗仍然是转移性胰腺癌的主要治疗策略,中位生存时间约4-6个月,5年生存期为1%,因此,团队协作以及精准诊疗是突破困境的有力举措。

越来越多证据表明,恶性肿瘤多学科诊疗模式可以为患者提供最佳的诊疗思路。山医大一院在*党**委书记徐钧教授的带领下,由肝胆胰外科魏志刚主任医师、余杰副主任医师、张安红主治医师,消化内科黄慧芳主任医师,放疗科陈路锋副主任医师,介入科冯对平主任医师,肿瘤科郭亚荣副主任医师,CT室乔英主任医师,感染病科邓春青主任医师,核磁影像科谭艳主任医师,PET-CT郝新忠副主任医师,病理科李宁副主任医师等成员,开展肝胆胰肿瘤多学科诊疗以来,已完成74期、近300例患者的诊疗工作。为患者寻求最佳治疗方案,延长患者生存期、提高其生活治疗,是肿瘤多学科诊疗模式工作的宗旨。

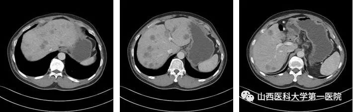
2022-01-08基线肝脏CT(静脉期)

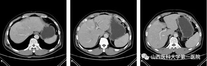
2022-08-26近期复查肝脏CT(静脉期)
该患者在团队成员仔细阅片、认真讨论下,因患者为PD-L1 CPS高表达人群,TMB-H基因状态,尽管目前国内外胰腺癌诊疗指南并没有对该类型患者指明个体化治疗策略,但我们通过查阅近年来已经报道的小样本临床研究以及个案报道资料,最终为患者制定了免疫联合化疗治疗策略(PD-1单抗+AG治疗6周期后,PD-1单抗+卡培他滨维持治疗),2022年8月26日,患者再次完善胸腹部CT评价疗效后,达到了大PR(部分缓解)的效果。多达20余处肝转移病灶几乎消失不见,患者可以正常工作生活。
目前,越来越多的专家关注精准诊疗、个体化治疗,但并不意味着整个抗肿瘤诊疗方案可以随意搭配组合,始终需要循证医学的证据支持。未来,山医大一院肝胆胰多学科诊疗团队将会勇攀高峰、紧跟国内外新进展,继续为每一位患者提供最佳的诊疗方案,做到精准化、个体化诊疗。来源:山西医科大学第一医院