今天遇到一位有福气的男性病人,多吃了半碗肉,结果胃潴留折腾到住院治疗,最后因祸得福。
多吃半碗五花肉,胃出血,幽门梗阻,
58岁的男同志,平时吃饭比较粗糙,喜欢狼吞虎咽,这天晚上几个弟兄聚餐喝了不少,最后上的那盘五花肉剩了半碗,不舍得浪费,三两口扒进肚子。
夜里2点,家里人送医院来了,肚子疼,翻来覆去打滚,多次恶性呕吐,伴有吐血,害怕了。

急诊CT显示胃里满满的酒液和食物渣,同时胃小弯背侧的胃壁增厚,超过1厘米,内侧面可见一个火山口状(红线)改变,说明这里的胃壁破溃、脱落,烂了一个很深的溃疡。
这是典型的溃疡型胃癌表现。
赶紧住院,胃肠减压,做胃镜,病理中低分化胃腺癌。
有些男人粗枝大叶,吃饭不规律,常年慢性胃病,也不晓得检查检查,非等搞出事儿来才后悔!
还好,他这个不算晚,手术切除3/4个胃,清扫了胃周围14个淋巴结,显示有8个发现癌细胞转移。
术后打了3个疗程化疗,很幸运,到今天满3年了,没有复发!

不是所有的人都有这种好运气!以后要注意养胃了!
很多人说十人九胃,那胃癌的发病数据有多高?
2019年全国癌症报告中统计到,我国恶性肿瘤的发病率前5位,依次是肺癌>胃癌>结直肠癌>肝癌>乳腺癌。其中胃癌占所有恶性肿瘤的10.26%,排名第二位。
就是说,我国每10个恶性肿瘤中,大约就有一个是胃癌(每年大约有40万人查出胃癌)。
要想做好全面防癌控癌工作,胃癌是重点之一。
哪些事情伤胃?哪些事情养胃?
1.胃癌的高危因素:
相信大家都能念叨出一些,比如幽门螺旋杆菌感染、摄盐超标、抽烟酗酒、有胃癌家族史、肥胖等。
其中,幽门螺旋杆菌感染被认为是I类致癌因子,但对于根治幽门螺杆菌能否降低胃癌死亡率,能否通过内镜下切除早期胃癌后预防异时癌的发生,尚待研究,还需要更确凿、更具体的证据。
对于胃癌的高危人群,应当重视胃癌筛查:

人类是高智商生物,懂得趋利避害!上面说的是伤胃的行为,那怎么做对胃有益呢?
2.胃的保护性因素:
水果和蔬菜、维生素C、类胡萝卜素、微量元素硒等,简单一句话:胃有点小娇气,喜欢新鲜、温软的食物。
胃癌发生前,有哪些报警症状?
常见的有消化道出血(呕血和黑便)、贫血、消瘦、腹胀腹痛等消化不良症状。
这里有2个细节:如果以前有慢性胃病症状,本次发作加重;或者出现既往没有的新症状,要重视预警,及时挂消化科就诊!
需要注意的是:大量研究表明,报警症状作用有限!
胃癌有哪些病理类型?
按照WHO分型,胃癌从病理角度包括:
乳头状腺癌、管状腺癌、粘液腺癌、印戒细胞癌、腺鳞癌、鳞癌、神经内分泌癌、未分化癌等。
所有这些癌症种类,如果在早期发现,都可以治愈!
早期胃癌的定义是,癌组织仅局限在黏膜层或黏膜下层,不论有无淋巴结转移。其中病灶最大径<5mm的称为微小胃癌,介于5-10mm之间的称为小胃癌。
怎样发现早期胃癌呢?
首选内镜检查!这个是金标准!
我国是胃癌发病大国,有消化道症状的人群,尤其是上述高危人群,要重视胃镜检查。
胃镜检查前注意事项:
除了常规化验乙肝、丙肝之外,还要做好下面4点:

本图片来自网络,侵删
假如比较幸运,及时发现了早期胃癌,可以选择内镜下微创切除,具有创伤少、并发症少、费用低的优点,而且疗效相当!
如果已经有淋巴结转移,则需要外科手术。
像本文开头那位病人因为幽门梗阻发现胃癌,有多发淋巴结转移,最终选择的腹腔镜手术治疗,总住院费用接近6万,新农合能报销一半多(当然具体费用,不同地区存在差异)。
最后,为什么要重视胃癌的筛查工作?
为了争口气啊!
中日韩三国的胃癌发病率,在全球范围内排名靠前。日韩两国的胃癌筛查工作开展得比较普及(得益于国家癌症筛查项目),日韩两国的早期胃癌检出率能达到55-70%,而我国仅仅为15%,差距很悬殊!

当然了,这只是2005年数据,经过十多年的发展和改进,我国的内镜普及工作正在快速提升,检查费用也算不上昂贵,对于胃癌高发国,重视内镜普查是有益的。

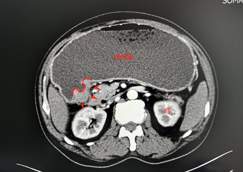
上图是今天的另外一位病人,才60岁,腹痛半个月,做了CT和胃镜,胃癌,已经广泛转移了,肝脏几乎被转移的癌细胞占满了。
他有多年胃病,如果2年前做一次胃镜检查,有很大可能躲过这一劫……
爱生活,爱家人,也要爱自己!
这里是影像科豪大夫,分享医院小故事,力争传递正能量!
#滚蛋吧肿瘤君# #清风计划#
本文参考文章:
1.2019年全国癌症报告,国家癌症中心;
2.中国早期胃癌筛查及内镜诊治共识意见,施瑞华,2017.6.1