牙齿矫正绝对是改变生活的事件,虽然是有了念头,但又觉得太麻烦了,担心年纪大了来不及,又怕牙齿松动,想带孩子去做个牙套,但也怕他的同学会嘲笑他。

做了牙齿矫正,到底会不会变美?#雅悦齿科#
牙齿矫正在医学上称为牙齿正畸,是通过现代科学技术手段治疗和预防牙齿和面骨的错位和畸形,从而获得平衡,稳定和美丽的牙齿和面部。
与无数个无法自信大笑的时刻相比,比起正畸治疗后外观和健康状况改善的积极影响相比,正畸过程的确不算什么。
关于牙齿矫正,我们收集了每个人都关心的一些问题,现在就让我们雅悦齿科的专科医生来为我们逐一解答一下。
正畸的作用是什么?

做了牙齿矫正,到底会不会变美?#雅悦齿科#
地包天、龅牙、牙齿歪斜、牙列稀疏等情况,建议都可以去做做正畸
俗话说"齿白三分俏,貌美牙为先",一口洁白整齐的牙齿对颜值和个人自信心的提升是不可估量的。
但是从正畸医生的角度来看,这不仅是外貌和心理方面,而且对口腔健康的巨大影响。
例如,排列整齐的牙齿更有利于清洁,可以预防龋齿和牙周疾病;矫正后获得的理想咬合关系可以改善咀嚼功能并保护面部颞颌关节,完美的矫正是健康,功能,美丽和长期稳定性的和谐。
牙齿正畸的效果堪比整容?
对于成年人,正畸治疗主要是移动牙齿,当前牙的位置改变时,嘴唇的前后位置以及嘴唇和牙齿之间的关系也将相应地改变,这将导致鼻子以下或脸部1/3的容貌变化。

做了牙齿矫正,到底会不会变美?#雅悦齿科#
例如,突出的嘴唇变平,脸部更协调,更美丽,这就是人们说整形牙齿堪比整容的主要原因。
成人的面部骨骼已经成形,牙齿移动对面部外观的影响非常有限。
但是对于正处于生长期的孩子,早期正畸治疗通过引导面部骨骼的生长,可以最大程度的改善不协调的面型,起到堪比整容的效果。
比如下面的“地包天”和短下巴两个孩子的治疗前后对比——

做了牙齿矫正,到底会不会变美?#雅悦齿科#
“地包天”治疗前后对比

做了牙齿矫正,到底会不会变美?#雅悦齿科#
短下巴治疗前后对比

做了牙齿矫正,到底会不会变美?#雅悦齿科#
孩子牙齿没换完就不能做正畸?
不但很多家长这样想,有些非正畸专业的牙科医生也这样认为。
实际上,孩子在乳牙期以及替牙期有很多不良习惯,例如牙齿畸形或异常的面部骨骼发育。 如果父母不能及时纠正或矫正它们,将极大地影响口腔和面部骨骼的正常发育并造成严重后果,即使以后进行纠正,这不仅会浪费时间和精力,而且效果会大大降低。
因此,我们(包括美国正畸协会)建议孩子不要晚于7岁以后做第一次正畸检查,专业的正畸医生判断每个孩子进行矫正的时间,它可能是在乳牙期,替牙期的早期矫正,或者是牙齿置换后的全面矫正。
比如下面这个孩子我们在乳牙期将她的地包天纠正过来,引导面部骨骼正常生长:

做了牙齿矫正,到底会不会变美?#雅悦齿科#
上学的时候不想做牙套妹,现在上班好多年了想正畸还有机会么?

做了牙齿矫正,到底会不会变美?#雅悦齿科#
年龄不是问题,态度才是!
年龄没有限制!美丽没有界限!
请记住——
牙齿矫正术并不只限于儿童,成年人也可以做牙齿矫正。
成人的正畸周期比儿童长,由于错过了小时候的最佳时时机,所以现在就行动起来,越早越好,戴着牙套确实需要勇气,但是越早做,也就越早就能体验到那种日趋美丽的神奇的感觉!

做了牙齿矫正,到底会不会变美?#雅悦齿科#
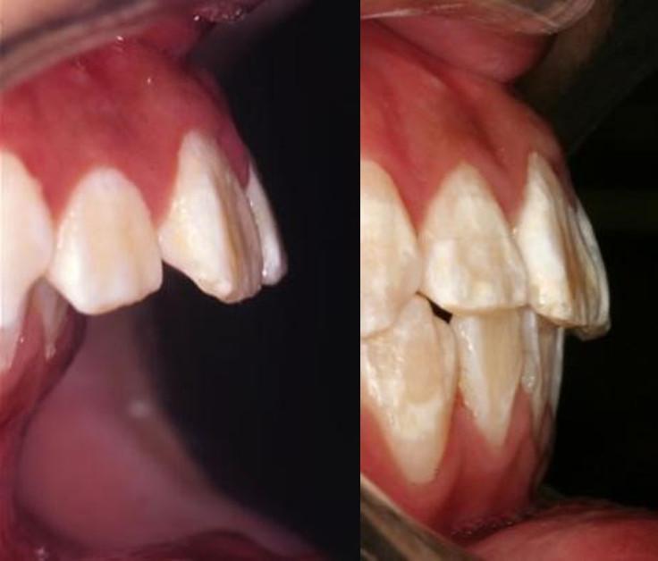
看看我们的成年患者在治疗前后的笑容比较:

做了牙齿矫正,到底会不会变美?#雅悦齿科#
从专业的角度来看,决定是否接受矫正治疗的关键因素不是年龄,而是牙周健康。如果成人患有牙周炎,需要及时进行治疗,治好之后才可以开始做牙齿正畸。
怕疼人士的担忧:正畸会疼么?
怕疼的人很多都不敢做矫正。

做了牙齿矫正,到底会不会变美?#雅悦齿科#
其实做牙齿矫正并不可怕,我们现在使用的轻力矫正技术可以提供安全舒适的矫正,使患者不会感到疼痛或仅有轻微不适。
在治疗过程中,受压后的牙齿感觉酸痛和咬合弱也是暂时现象,通常在可忍受的范围内,不会影响进食和睡眠,并且在两,三天或一周后自然会消失。
正畸只能戴钢牙套么?

做了牙齿矫正,到底会不会变美?#雅悦齿科#
那个整牙被旁人嘲笑的年代,早已一去不复返啦!
现在,正畸医生制定好治疗计划以后,有多种牙套可以选择。
除传统的金属钢牙套外,还有与牙齿颜色接近的陶瓷牙套和透明的隐形牙套,透明牙套可以自由拆卸和佩戴,不会影响美观,您可以根据自己的需要进行选择。

做了牙齿矫正,到底会不会变美?#雅悦齿科#
至于如何选择,一定要向专业牙科医生咨询哦~
那正畸后会导致牙齿松动吗?
不会!
在正畸治疗期间,牙齿将在生理上松弛,这是正常反应。由于牙齿周围的牙周组织在生物力的作用下经历了骨骼重塑,因此牙齿可以移动到新的位置。但是,标准的正畸加力在正畸治疗后不会导致牙齿松动。
牙齿正畸后会不会反弹?
遵医嘱佩戴保持器就不会。
牙齿的正畸运动完成后,牙齿周围的牙槽骨的改建还尚未达到稳定,因此牙齿在新位置不稳定,如果在拆下支架后不穿固定器,则会发生回弹。
因此,在完成正畸治疗之后,患者通常需要佩戴保持器,并且在通过保持器将牙齿保持在新位置中一段时间之后,牙齿才会逐渐稳定下来。
除上述问题外,在正畸治疗期间,有必要与牙医定期进行常规的口腔检查,和洁牙师进行常规的洁牙,以确保在正畸治疗期间牙齿和牙龈在正畸治疗过程中的健康状态。

做了牙齿矫正,到底会不会变美?#雅悦齿科#
如果觉得这篇文章不错,就请收藏或分享给好友吧。添加雅悦齿科为好友,学习更多爱牙护齿科学方法。公众号:yyck2001