今天我们就来聊一下,一种越来越常见的皮肤问题: 脂溢皮炎。

顾名思义,是由于皮脂分泌亢进引起的皮炎问题。其实并不是所有发病的人都是油性皮肤。干性皮肤的人也有可能在皮肤腺丰富的部位发病。
症状上怎么和痘痘区别
痘痘的症状大家都知道,有毛囊的堵塞/炎症/囊肿/结节各个阶段,但是总的来说还是分散的病灶。而脂溢性皮炎,容易发病的皮肤区域大多皮脂腺丰富:嘴周,鼻翼,耳廓,眉毛处,还有头皮,腋下,腹股沟,胸背等等位置。

症状以脱屑和发红(常常是皮肤褶皱处的潮红斑)为主,黄白色的皮屑脱落,有时还会有结痂,瘙痒的症状。有一大部分人的脂溢性皮炎是 从头皮开始的 ,头皮屑也可以算是轻微的脂溢性皮炎。
复杂的成因
油脂分泌旺盛是脂溢性皮炎的一个重要诱导原因,但并没有因果关系。有研究发现,其实脂溢性皮炎患者的皮脂组分和正常皮肤不同:甘油三酯和胆固醇的含量更高,而游离脂肪酸和角鲨烯的含量偏低。
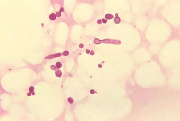
此外,联系更加紧密的因素是由于一种嗜脂真菌: 马拉色菌。是的,就是引起我们头屑那种微生物。它到底有多任性?大家可以咨询一下身边有脚气(不是脚气病,单纯的脚气也是由真菌引起)的朋友,有的时候不治而愈,有的时候反复发作,刚刚按住,春风一吹又生。脂溢性皮炎的朋友们,要先做好长期作战的心理建设。

简单来说,皮肤腺分泌的脂质是马拉色菌的食物,能让皮肤上偶然获得/或是遗传获得的马拉色菌大量繁殖,它们在吃脂的过程中产生大量的活氧等刺激物质,入侵我们脆弱的皮肤屏障,引起炎症/潮红/脱屑/瘙痒,屏障从而进一步受损,周而复始。
不推荐用去屑洗发水
按理说, 去屑洗发水中含有抑制马拉色菌的成分, 在功效上可以辅助控制脂溢皮炎;,但是在实际操作中,也有脂溢性皮炎患者反馈:用了某去屑洗发水(含吡硫鎓锌-ZPT)洗脸爆痘的情况,这是为什么呢?
首先,发丝和头皮沾染油污的能力比脸部皮肤要强的多,洗完会非常干,屏障更加得不到保护。同时,洗发水为了使发丝洗完不那么干涩,通常都会加入顺滑发丝的硅油,发用硅油有很强的封闭影响(简称闷痘)。
那么无硅油的洗发水可不可以呢?
答案还是不行。因为无硅油的洗发水必定会添加其他顺滑发丝的调理剂,比如说阳离子调理剂是最常见的硅油替代剂,阳离子调理剂对皮肤有一定刺激,容易加重皮肤炎症。