01 论文信息
2020年12月,华北理工大学附属医院和唐山市人民医院在Journal of Cellular and Molecular Medicine(IF 5.31/Q2)期刊在线发表题为 “Disruption of microRNA‐214 during general anaesthesia prevents brain injury and maintains mitochondrial fusion by promoting Mfn2 interaction with Pkm2” 的论文。
论文作者:第一作者:Tiejun Liu;通讯作者:Tiejun Liu



02 论文质疑
质疑一
本文图 1D。“通过 TUNEL 测定大鼠神经元凋亡”。

与Han et al (2018) 的图 4A 意外重叠,“TUNEL 染色结果”。
2018年6月,江苏省药用植物生物技术重点实验室和江苏师范大学在Journal of Cellular and Molecular Medicine(IF 5.31/Q2)期刊在线发表题为 “Micro RNA ‐140‐5p elevates cerebral protection of dexmedetomidine against hypoxic–ischaemic brain damage via the Wnt/β‐catenin signalling pathway” 的论文。
论文作者:第一作者:Xin‐Rui Han;通讯作者:Dong‐Mei Wu;Jun Lu;Yuan‐Lin Zheng

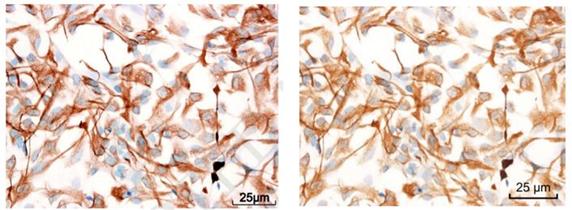
质疑二
[右]本文图4A,“大鼠海马神经元的鉴定结果”。
[左]图5来自Liu, Dong & Han (2018),“显微镜下IS小鼠大脑皮层海马神经元的鉴定(×400)。NSE阳性细胞被鉴定为海马神经元”。这两篇论文的作者能否评论这些图片的相似性?

Liu, Dong & Han (2018)
2018年10月,沧州市中心医院在Brain Research Bulletin (IF 4.077/Q2)期刊在线发表题为 “MicroRNA-410 inhibition of the TIMP2-dependent MAPK pathway confers neuroprotection against oxidative stress-induced apoptosis after ischemic stroke in mice” 的论文。
论文作者:第一作者:Ning-Ning Liu;通讯作者:Ning-Ning Liu
03 作者回复
截至目前,作者还未对上述问题做出回应。
参考信息
https://pubpeer.com/publications/73B39C3678E0FE001614E540B77458