门诊,一位妈妈焦急的问我:“大夫,你快帮我们看看吧。我们都烧6天了,3天前就查血、拍片子了,告诉我说孩子得的是支原体肺炎。可是输了3天进口的阿奇霉素,一点儿事儿不管啊,还是高烧,一天得吃4~5次退烧药,最高39.7℃,咳嗽也厉害,尤其是晚上。你看是诊断错了,还是用药不对症啊?”。不容我多问,这位患儿的母亲像编排好的台词一样不间断的说了出来。
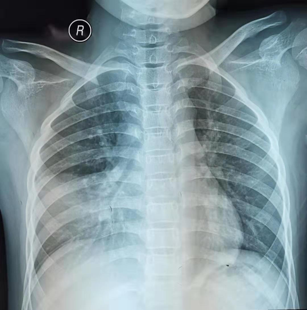
我一看检查结果,血象不高,中性粒细胞为主,C反应蛋白稍高,胸片右下肺一大片实变影,再一查体,右下肺呼吸音低,典型的支原体肺炎。我耐心的安慰家长。孩子的诊断没错,就是支原体肺炎,同时家长说明了为什么短期用药不见效的原因。

类似的情形,每天都得发生几次。往年这个时候流感肆虐,门诊大厅挤满了发热的孩子,但今年流感尚未流行,支原体肺炎却先登场了。面对如此棘手的病症,患儿家长往往束手无策。这位妈妈的困惑,大家肯定也想知道答案,且听我慢慢道来。
什么是支原体肺炎?
我们所说的支原体是肺炎支原体(MP),它既不是细菌,也不是病毒,是一种大小介于细菌与病毒之间的一种病原体,它只有细胞膜,没有细胞壁。肺炎支原体感染导致的肺炎,就叫做肺炎支原体肺炎,简称支原体肺炎。肺炎支原体是儿童社区获得性肺炎(CAP)中最常见的病原体之一,发生率占小儿肺炎的15%~40%,近年发病率有增多趋势。多见于学龄前(3~6岁)和学龄期(6~12岁)儿童。

支原体肺炎有传染性吗?
支原体肺炎和感冒、气管炎、支气管炎等呼吸道疾病一样,都有传染性,主要通过呼吸道飞沫传播。冬春季节高发,每3~5年流行一次,流行季发病率增高3~5倍。今年是支原体肺炎流行年,我们病房住的80%患儿都是这种支原体肺炎。本病潜伏期1~3周,潜伏期内至症状缓解数周均有传染性,但不属于国家法定的传染病。
支原体肺炎有什么临床表现?
本病主要表现为发热、咳嗽。发热多为中高度发热,急性期可表现为持续高热不退。咳嗽初期一般为刺激性干咳,呈阵发性剧烈咳嗽,夜间为著,影响患儿的睡眠与活动。后期咳嗽有痰,部分患儿伴有喘息。早期肺部听诊无湿罗音,随着病情的进展逐渐出现湿罗音。重症患儿可有呼吸困难,婴幼儿症状相对较重。可合并一些肺外表现,如食欲不振、腹痛、呕吐、肝功能损害、皮疹、心肌损害、贫血、血小板减少等。
怎么诊断支原体肺炎?
学龄期或学龄前期儿童有发热、咳嗽,肺部听诊无湿罗音,血常规白细胞不高或轻度升高或降低,中性粒细胞为主,CRP正常或增高,胸片可见大片实变影,临床需高度怀疑支原体肺炎。血清支原体抗体IgM滴度持续≥1:160或双份血清(间隔两周)抗体滴度上升4倍或下降为原来的1/4,一般认为是支原体感染。分子生物学检测支原体RNA阳性可诊断支原体感染。确诊的金标准是支原体培养阳性,但其培养时间长,故临床意义不大。

什么是难治性肺炎支原体肺炎(RMPP)?
经大环内酯类抗菌药物正规治疗7天及以上,临床征象加重、仍持续发热、肺部影像学加重者,可考虑为难治性肺炎支原体肺炎。
如何治疗儿童支原体肺炎?
大环内酯类抗生素是治疗儿童支原体肺炎的首选药物,8岁以上儿童可选四环素类抗生素。喹诺酮类药物由于对儿童软骨发育有影响,故一般不用于儿童(此观点目前尚有争议)。大环内酯类抗生素包括阿奇霉素、红霉素、罗红霉素、克拉霉素、交沙霉素、麦迪霉素等,静脉用的只有阿奇霉素和红霉素,红霉素由于胃肠道反应较大,目前较少用。难治性肺炎支原体肺炎(RMPP)在常规治疗的基础上可能需要加用激素、纤支镜等治疗。
支原体肺炎为什么难治?
由于支原体耐药、感染支原体后机体产生过强的炎症反应、合并其它感染等因素,导致支原体肺炎较难治疗。
儿童支原体肺炎为何较成人难治?
由于治疗儿童支原体肺炎的抗生素太少,造成现在的支原体大多是耐阿奇霉素菌株。而可用于成人的喹诺酮类药物对支原体是敏感的,而且成人的免疫力较强,故成人的支原体肺炎较儿童容易治疗,成人的重症支原体肺炎亦较儿童少见。